Фото до и после по услуге Протезирование зубов в клиниках Казани

Фотографии до и после: Протезирование зубов

На странице представлено портфолио стоматологий Казани с фото работ до и после протезирования зубов. Мы собрали результаты разных вариантов протезирования: одиночные коронки (керамические, циркониевые), мостовидные протезы, протезы на имплантах и полные съемные протезы. Вы можете видеть, как восстанавливаются полностью утраченные или сильно разрушенные зубы, возвращается жевательная функция и естественный вид улыбки. Изучите результаты до и после протезирования и выберите подходящую клинику в Казани, чтобы вернуть здоровье и красоту вашей улыбке.

Медицинский центр и стоматология ИНТЕГРАМЕД (INTEGRAMED)

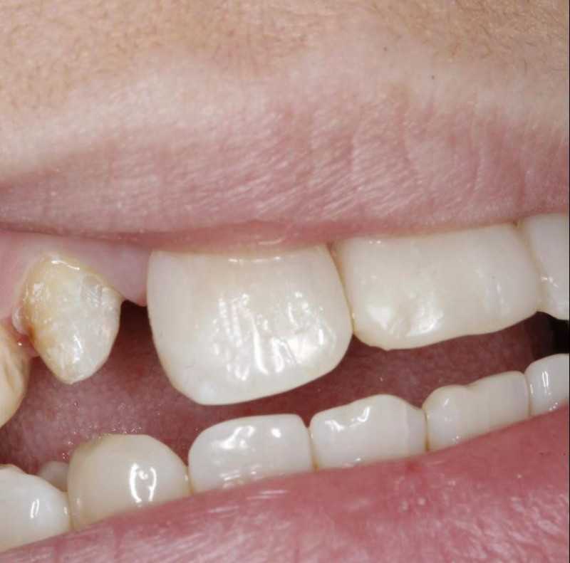
Установка коронки из диоксида циркония

Реставрация, установка циркониевых коронок

Доктор: Ишкова Мария Игоревна

Установка коронки из диоксида циркония

Доктор: Ирсаев Вильдан Чулпанович

Установка несъемного протеза

Тотальное протезирование all-in-6 верхней и нижней челюстей

Доктор: Шакиров Булат Фаритович

Установка акрилового протеза

Замена старого протеза

Доктор: Ирсаев Вильдан Чулпанович

Установка бюгельного протеза

Бюгельное протезирование, реставрация, профгигиена

Доктор: Ишкова Мария Игоревна

Все работы клиники
СОЦИАЛЬНАЯ СТОМАТОЛОГИЯ

Установка металлокерамической коронки

Доктор: Гасанов Джейхун Халидинович

Протезирование зубов

Установка бюгельного протеза

Работа Бухминова Ю.Ю.

Все работы клиники
Стоматология ДОФА СМАЙЛ (DOFA SMILE)

Установка керамической коронки

Пациентка пришла к нам, чтобы избавиться от щели между передними зубами — мечта, которую она носила в себе с детства. Мы провели диагностику, согласовали форму и цвет будущей улыбки и установили виниры E max на 11 и 21 зуб без обточивания. Результат — естественная, гармоничная и уверенная улыбка.

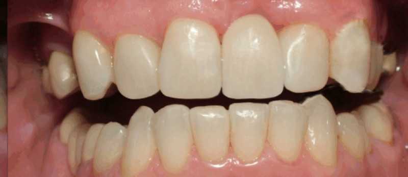
Установка коронки из диоксида циркония

Пациентка обратилась по рекомендации с эстетической проблемой — старые пломбировочные реставрации во фронтальном отделе верхней челюсти больше не устраивали её внешне. Мы провели перелечивание: аккуратно сняли старые пломбы и восстановили поражённые зубы, подготовив их к дальнейшей работе. Следующим этапом предложили протезирование одиночными циркониевыми коронками — прочным и эстетичным решением для передней группы зубов. Перед установкой постоянных конструкций были изготовлены временные коронки, чтобы согласовать форму и цвет будущей улыбки. После окончательного утверждения всех параметров мы изготовили постоянные конструкции и зафиксировали их в полости рта. Итоговый результат пациентка получила всего за 12 дней — с обновлённой, аккуратной и гармоничной улыбкой.

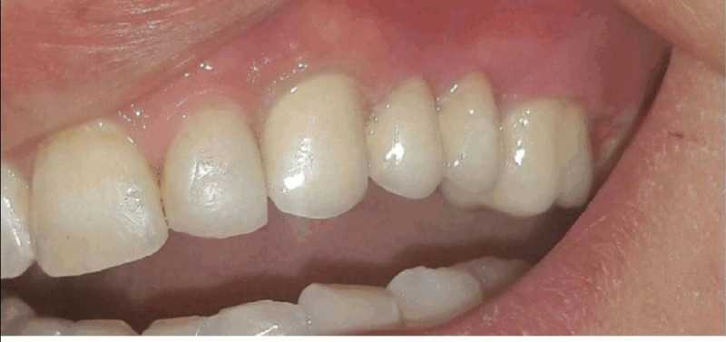
Установка коронки из диоксида циркония

Пациентка обратилась по рекомендации с эстетической неудовлетворённостью: старые пломбировочные реставрации на фронтальных зубах верхней челюсти уже не соответствовали её ожиданиям. Мы провели перелечивание — сняли старые пломбы и восстановили поражённые зубы. После подготовки предложили оптимальное решение: протезирование одиночными циркониевыми коронками. Перед установкой постоянных конструкций были изготовлены временные коронки для согласования формы и цвета. После утверждения всех параметров мы изготовили и зафиксировали постоянные циркониевые коронки. Пациентка получила готовый, полностью завершённый результат всего за 12 дней.

Все работы клиники
Стоматологическая клиника СИТИ СТОМ

Установка металлокерамической коронки

Установка коронки из диоксида циркония

Протезирование зубов

Все работы клиники
Стоматологическая клиника ПРИЗМАТИКА

Протезирование зубов

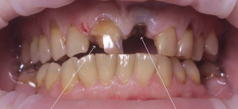
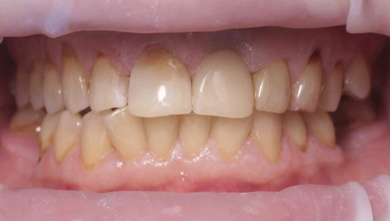
Что было сделано: Удалили остатки зуба Установили имплантат Поставили коронку на зуб и восстановили соседний зуб пломбой

Доктор: Халилзаде Эльдар Эльмарович

Все работы клиники
Семейная стоматология КАМЕЛИЯ-МЕД

Протезирование зубов

Установка коронки из диоксида циркония

Все работы клиники
Сеть стоматологических клиник СМАРТ КЛИНИКА

Установка керамической коронки

Керамические коронки

Доктор: Саломов Хушнуд Азамджонович

Все работы клиники
ЦЕНТР СТОМАТОЛОГИИ

Установка керамической коронки

Доктор: Ибрагимова Лиана Ренатовна

Установка съемного протеза

Доктор: Шарафуллин Ренат Мустафаевич

Установка керамической коронки

Доктор: Ибрагимова Лиана Ренатовна

Установка металлокерамической коронки

Доктор: Ибрагимова Лиана Ренатовна

Установка металлокерамической коронки

Доктор: Ибрагимова Лиана Ренатовна

Установка керамической коронки

Доктор: Ибрагимова Лиана Ренатовна

Установка керамической коронки

Все работы клиники
Частная стоматологическая клиника ФОРМУЛА УЛЫБКИ

Протезирование зубов

Доктор: Латыпов Рустем Айдарович

Протезирование зубов

Доктор: Латыпов Рустем Айдарович

Протезирование зубов

Доктор: Латыпов Рустем Айдарович

Протезирование зубов

Доктор: Латыпов Рустем Айдарович

Протезирование зубов

Доктор: Латыпов Рустем Айдарович

Все работы клиники
Стоматология ДИНА-СТОМ

Установка металлокерамической коронки

Установка съемного протеза

Доктор: Магсумов Альберт Альтафович

Установка бюгельного протеза

Доктор: Магсумов Альберт Альтафович

Установка металлокерамической коронки

Все работы клиники