Фото до и после по услуге Установка брекетов в клиниках Казани

Фотографии до и после: Установка брекетов

На странице представлено портфолио стоматологий Казани с фото работ до и после исправления прикуса брекетами. Мы публикуем результаты разных клинических случаев: от скученности зубов и диастем до сложных ортодонтических аномалий. В каждом случае показан реальный прогресс — от начального состояния зубов до финального результата после снятия брекетов и исправления прикуса. Поэтому вы можете наглядно увидеть, как меняется положение зубов и общая эстетика улыбки. Изучите результаты работ до после и выберите подходящую клинику в Казани.

УНИВЕРСИТЕТСКАЯ СТОМАТОЛОГИЯ

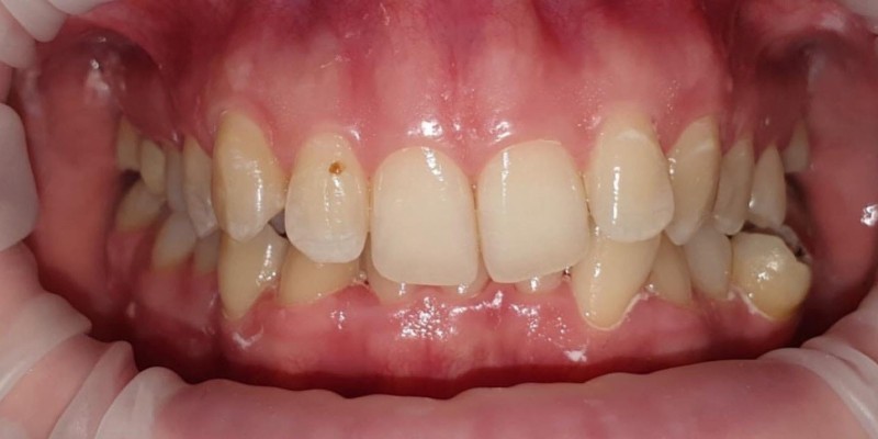
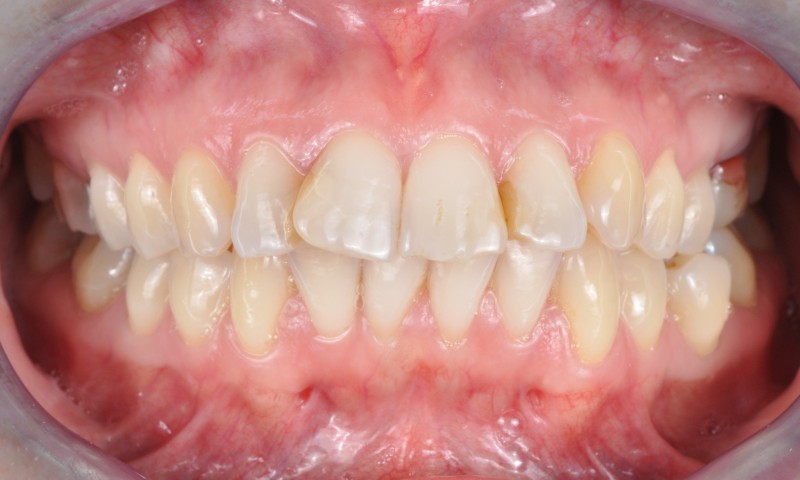
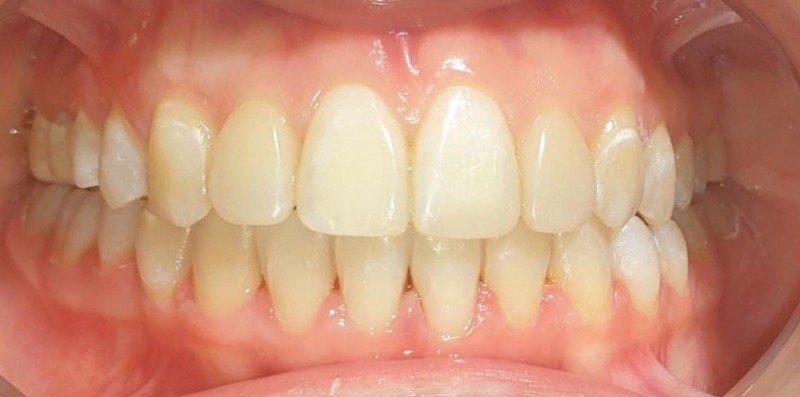
Установка брекетов

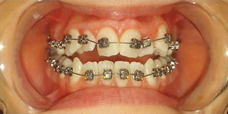
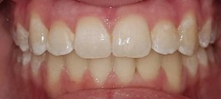
Было проведено ортодонтическое лечение с использованием брекет системы верх., нижн. челюсти.

Доктор: Халиуллина Гульназ Равилевна

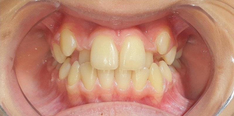
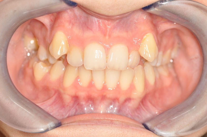
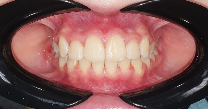
Установка брекетов

Было проведено ортодонтическое лечение с использованием брекет системы верх., нижн. челюсти.

Доктор: Халиуллина Гульназ Равилевна

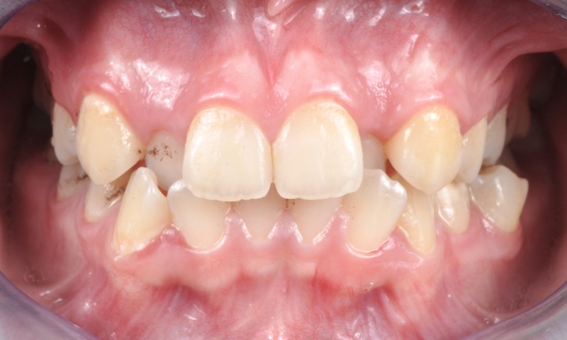
Установка брекетов

Было проведено ортодонтическое лечение с использованием брекет системы верх., нижн. челюсти.

Доктор: Халиуллина Гульназ Равилевна

Установка брекетов

Было проведено ортодонтическое лечение с использованием брекет системы верх., нижн. челюсти.

Доктор: Халиуллина Гульназ Равилевна

Все работы клиники
СОЦИАЛЬНАЯ СТОМАТОЛОГИЯ

Установка брекетов

Доктор: Сагадеева Альбина Наилевна

Установка брекетов

Доктор: Сагадеева Альбина Наилевна

Установка брекетов

Доктор: Сагадеева Альбина Наилевна

Все работы клиники
Стоматологическая клиника СИТИ СТОМ

Установка брекетов Damon

Доктор: Шайдуллин Ильнар Масгутович

Установка металлических брекетов

Все работы клиники
Стоматологическая клиника ПРИЗМАТИКА

Установка металлических брекетов

Установили металлические брекеты Нормализовали прикус Расширили зубные дуги Добились симметрии и баланса лица Провели финальную эстетическую коррекцию

Доктор: Латыпова Ирина Александровна

Все работы клиники
Клиника АРХИТЕКТОР УЛЫБОК

Установка брекетов

Доктор: Камальдинова Аделя Рустемовна

Установка самолигирующих брекетов

Доктор: Салишева Даяна Искандеровна

Установка брекетов Damon

Доктор: Камальдинова Аделя Рустемовна

Установка керамических брекетов

Доктор: Камальдинова Аделя Рустемовна

Установка брекетов Damon

Доктор: Салишева Даяна Искандеровна

Установка брекетов

Доктор: Салишева Даяна Искандеровна

Установка брекетов Damon

Доктор: Федорова Валерия Николаевна

Установка брекетов Damon

Доктор: Салишева Даяна Искандеровна

Установка брекетов

Доктор: Камальдинова Аделя Рустемовна

Установка самолигирующих брекетов

Доктор: Федорова Валерия Николаевна

Установка брекетов

Доктор: Камальдинова Аделя Рустемовна

Установка брекетов Damon

Доктор: Федорова Валерия Николаевна

Установка брекетов Damon

Исправление прикуса на самолигирующей брекет-системе

Доктор: Камальдинова Аделя Рустемовна

Установка брекетов Damon

Доктор: Салишева Даяна Искандеровна

Установка брекетов

Доктор: Салишева Даяна Искандеровна

Установка брекетов

Доктор: Федорова Валерия Николаевна

Установка брекетов

Доктор: Федорова Валерия Николаевна

Установка самолигирующих брекетов

Доктор: Салишева Даяна Искандеровна

Установка металлических брекетов

Исправление прикуса на самолигирующей брекет-системе

Доктор: Камальдинова Аделя Рустемовна

Установка брекетов Damon

Доктор: Федорова Валерия Николаевна

Все работы клиники
Стоматологическая клиника ВИТАР

Установка брекетов Damon

Доктор: Филина Нина Константиновна

Установка брекетов Damon

Доктор: Филина Нина Константиновна

Установка брекетов

Установка брекетов Damon

Доктор: Филина Нина Константиновна

Установка брекетов Damon

Доктор: Филина Нина Константиновна

Все работы клиники
БЕЛАЯ СТОМАТОЛОГИЯ

Установка брекетов

Доктор: Шаймина Наталия Александровна

Установка брекетов

Доктор: Шаймина Наталия Александровна

Установка брекетов

Доктор: Шаймина Наталия Александровна

Установка брекетов

Доктор: Шаймина Наталия Александровна

Установка брекетов

Доктор: Шаймина Наталия Александровна

Все работы клиники
Частная стоматологическая клиника ФОРМУЛА УЛЫБКИ

Установка брекетов

Установка брекетов

Установка брекетов

Установка металлических брекетов

Установка брекетов

Все работы клиники
Стоматологическая клиника ОРТОВЬЮ

Установка брекетов

Доктор: Ахметгареева (Назмиева) Айгуль Мунировна

Установка брекетов

Доктор: Ахметгареева (Назмиева) Айгуль Мунировна

Установка брекетов

Доктор: Ахметгареева (Назмиева) Айгуль Мунировна

Установка брекетов

Доктор: Ахметгареева (Назмиева) Айгуль Мунировна

Установка брекетов

Доктор: Ахметгареева (Назмиева) Айгуль Мунировна

Все работы клиники
Стоматология КАМИЛ-ДЕНТ

Установка брекетов

Этап ортодонтического лечения с раскрытием пространства в области удаленного в детстве центрального резца с использованием минивинтов

Установка брекетов

Этап ортодонтического лечения - нормализация высоты прикуса с использованием лабораторных накладок, изготовленных по данным большого функционального анализа в рамках диагностики и лечения дисфункции ВНЧС

Установка брекетов

Этап ортодонтического лечения - нивелирование нижней зубной дуги, с последовательным подключением брекетов по мере создания места для неправильно расположенных зубов

Установка брекетов

На этапе лечения

Все работы клиники