Фото до и после по услуге Отбеливание зубов в клиниках Казани

Фотографии до и после: Отбеливание зубов

На странице представлено портфолио стоматологий Казани с фото работ до и после профессионального отбеливания зубов. Мы собрали разные клинические случаи, демонстрируя осветление на один или несколько тонов. Здесь вы можете видеть, как меняется цвет эмали и уменьшается интенсивность пигментации после процедуры. Изучите, каким может быть ваш собственный результат после отбеливания, и выберите подходящую клинику в Казани, чтобы безопасно и эффективно осветлить улыбку.

Центр имплантации и протезирования ЗУБЫ БЕЗ БОЛИ

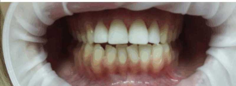
Отбеливание Zoom 4

В данном клиническом случае представлен выраженный дисколорит зубов за счёт пигментации и проведённого около 5 лет назад эндодонтического лечения зуба 1.1.

Доктор: Гатиятуллин Тимур Фанисович

Отбеливание зубов

Все работы клиники
Стоматологическая клиника АЛДЕНТ

Отбеливание зубов

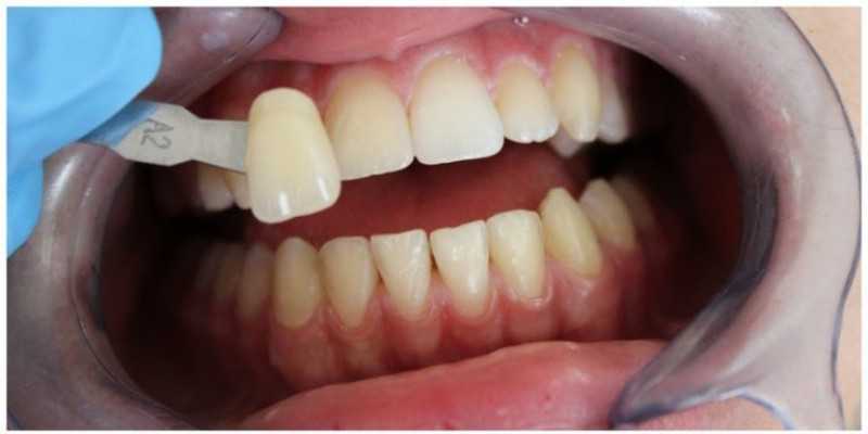
Безопасное световое отбеливание немецкой системой FLASH. Результат после первой процедуры отбеливания

Доктор: Гиниятуллина Алина Ильнуровна

Все работы клиники
Стоматология ДОКТОР М

Отбеливание зубов

Доктор: Вагапов Альберт Маратович

Отбеливание зубов

Доктор: Вагапов Альберт Маратович

Отбеливание зубов

Доктор: Вагапов Альберт Маратович

Отбеливание зубов

Доктор: Вагапов Альберт Маратович

Все работы клиники
Стоматология ДИНА-СТОМ

Отбеливание Amazing White

Отбеливание Amazing White

Доктор: Михалева Надежда Георгиевна

Отбеливание зубов

Все работы клиники
Клиника НЭЖЛА

Отбеливание Amazing White

Отбеливание Amazing White

Все работы клиники
Центр планирования имплантации зубов АНАТОМИЯ УЛЫБКИ

Отбеливание Zoom 4

Отбеливание ZOOM 4.

Доктор: Магомедов Расул Юсупович

Отбеливание Zoom 4

Отбеливание системой Zoom4

Доктор: Красильникова Елена Дмитриевна

Все работы клиники
Частная стоматологическая клиника ФОРМУЛА УЛЫБКИ

Отбеливание зубов

Доктор: Васильева Мария Валерьевна

Все работы клиники
Стоматология АЛТОС

Отбеливание зубов

Безопасное световое отбеливание немецкой системой FLASH. Результат после первой процедуры отбеливания

Доктор: Гиниятуллина Алина Ильнуровна

Все работы клиники