Фото до и после по услуге Установка виниров в клиниках Казани

Фотографии до и после: Установка виниров

На странице представлено портфолио стоматологий Казани с фото работ до и после установки виниров. Здесь вы можете видеть как процедура меняет цвет и форму зубов, скрывает сколы, щели между зубами и корректирует незначительные неровности. Изучите работы до и после установки виниров в стоматологиях Казани, чтобы оценить профессионализм специалистов и выбрать клинику, которой можно доверить свои зубы.

Семейная стоматология КАМЕЛИЯ-МЕД

Установка виниров E-max

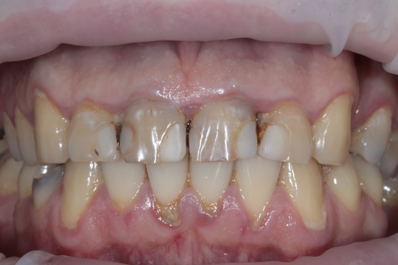
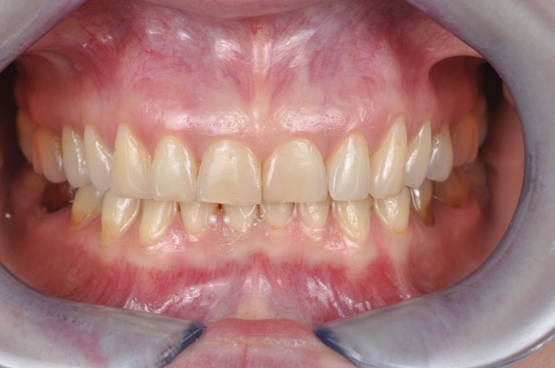
Установка керамических виниров

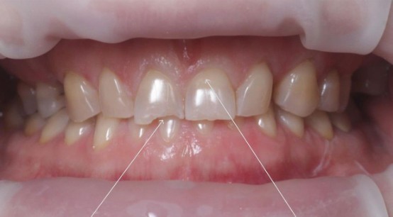
Установка виниров

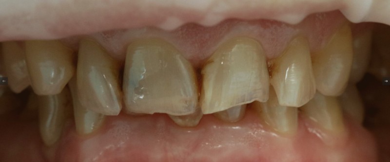
Установка композитных виниров

Установка керамических виниров

Установка виниров E-max

Установка виниров

Установка керамических виниров

Установка виниров

Все работы клиники
СОЦИАЛЬНАЯ СТОМАТОЛОГИЯ

Установка виниров

Доктор: Гасанов Джейхун Халидинович

Установка виниров

Доктор: Гасанов Джейхун Халидинович

Все работы клиники
Медицинский центр и стоматология ИНТЕГРАМЕД (INTEGRAMED)

Установка виниров

Доктор: Ишкова Мария Игоревна

Установка композитных виниров

Эстетическая композитная реставрация, восстановление полной анатомии

Доктор: Ишкова Мария Игоревна

Все работы клиники
Центр стоматологии СИТИ СТОМ

Установка виниров

Установка виниров

Установка виниров

Установка керамических виниров

Тотальное восстановление зубного ряда с помощью имплантации, протезирования, установка виниров

Установка керамических виниров

Установка виниров E-max

Замена композитных виниров на керамические

Установка виниров E-max

Установка виниров

Установка виниров

Установка виниров

Установка виниров

Установка керамических виниров

Тотальное восстановление зубного ряда: имплантация, протезирование, установка виниров.

Установка виниров

Установка виниров

Установка виниров

Установка виниров

Установка виниров

Установка виниров

Установка виниров

Установка керамических виниров

Тотальное восстановление зубного ряда: имплантация, протезирование, установка виниров.

Установка виниров

Установка виниров

Установка виниров

Установка виниров

Установка виниров

Установка виниров

Установка виниров E-max

Установка виниров

Все работы клиники
Стоматология КАМИЛ-ДЕНТ

Установка циркониевых виниров

Протезирование верхней челюсти 14 единицами коронок на основе диоксида циркония с индивидуализацией керамическими массами E-max

Доктор: Абдрахманов Камиль Миндрахманович

Установка керамических виниров

28 керамических реставраций (виниров) EmaxPress, лечение дисфункции ВНЧС

Доктор: Абдрахманов Айрат Камилевич

Установка керамических виниров

Полная эстетическая и функциональная реабилитация пациента. Ортодонтическое лечение, санация полости рта, лечение дисфункции ВНЧС, установка 28 керамических виниров

Доктор: Абдрахманов Айрат Камилевич

Установка керамических виниров

Установка 6 керамических виниров EmaxPress

Доктор: Абдрахманов Айрат Камилевич

Установка виниров E-max

6 виниров E-max

Доктор: Абдрахманов Айдар Камилевич

Установка виниров E-max

4 винира E-max

Доктор: Абдрахманов Айдар Камилевич

Установка виниров E-max

6 виниров E-max

Доктор: Абдрахманов Айдар Камилевич

Установка композитных виниров

18 единиц композитных виниров без обточки. Форма и цвет выполнены по желанию пациента

Установка виниров

4 винира E-max

Доктор: Абдрахманов Айдар Камилевич

Все работы клиники
Стоматологическая клиника ФУТУРА ДЕНТАЛ (FUTURA DENTAL)

Установка виниров

Установка виниров на верхнюю челюсть

Доктор: Тютюгин Руслан Валерьевич

Установка виниров

Доктор: Зиятдинов Марат Ильгизович

Установка виниров E-max

Доктор: Зиятдинов Марат Ильгизович

Установка виниров E-max

Доктор: Зиятдинов Марат Ильгизович

Установка виниров

Доктор: Тютюгин Руслан Валерьевич

Установка виниров E-max

Доктор: Зиятдинов Марат Ильгизович

Все работы клиники
Стоматология ДОКТОР М

Установка виниров

Доктор: Вагапов Альберт Маратович

Установка керамических виниров

Доктор: Вагапов Альберт Маратович

Установка виниров

Доктор: Вагапов Альберт Маратович

Установка керамических виниров

Доктор: Вагапов Альберт Маратович

Установка виниров

Доктор: Вагапов Альберт Маратович

Все работы клиники
Частная стоматологическая клиника ФОРМУЛА УЛЫБКИ

Установка виниров

Установка виниров

Доктор: Чеков Григорий Сергеевич

Установка виниров

Доктор: Чеков Григорий Сергеевич

Все работы клиники