Фото до и после по услуге Имплантация в клиниках Новосибирска

Фотографии до и после: Имплантация

На странице представлено портфолио стоматологий Новосибирска с фото работ до и после имплантации зубов. Мы собрали разные клинические случаи: одиночные импланты, восстановление нескольких зубов и полная реконструкция зубного ряда. Здесь вы можете видеть, как выглядят восстановленные зубы, меняется форма улыбки после процедуры. Изучите результаты до и после имплантации зубов, чтобы оценить качество работы врачей и выбрать стоматологию в Новосибирске, которая поможет вернуть функциональность и эстетику вашей улыбке.

Стоматология РЕАЛДЕНТ (REALDENT)

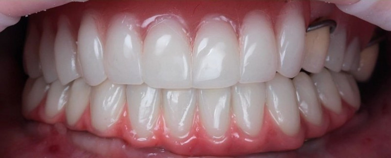
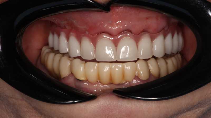
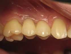
Имплантация

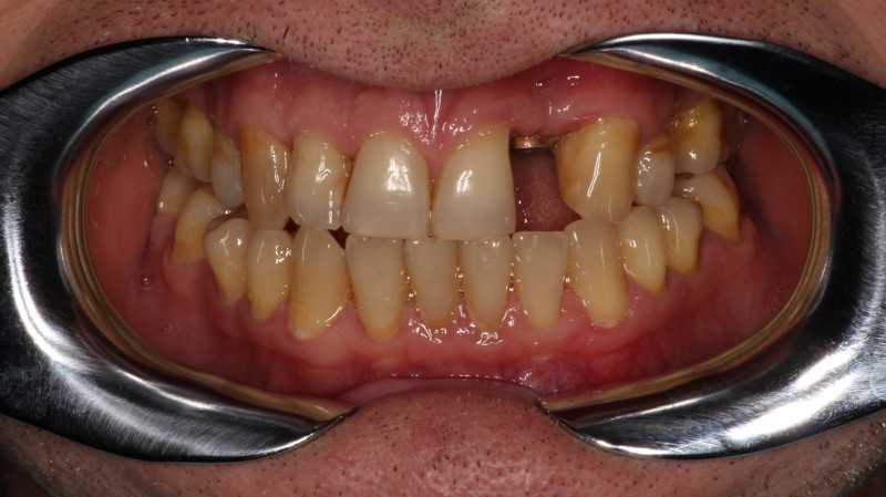
Имплантация

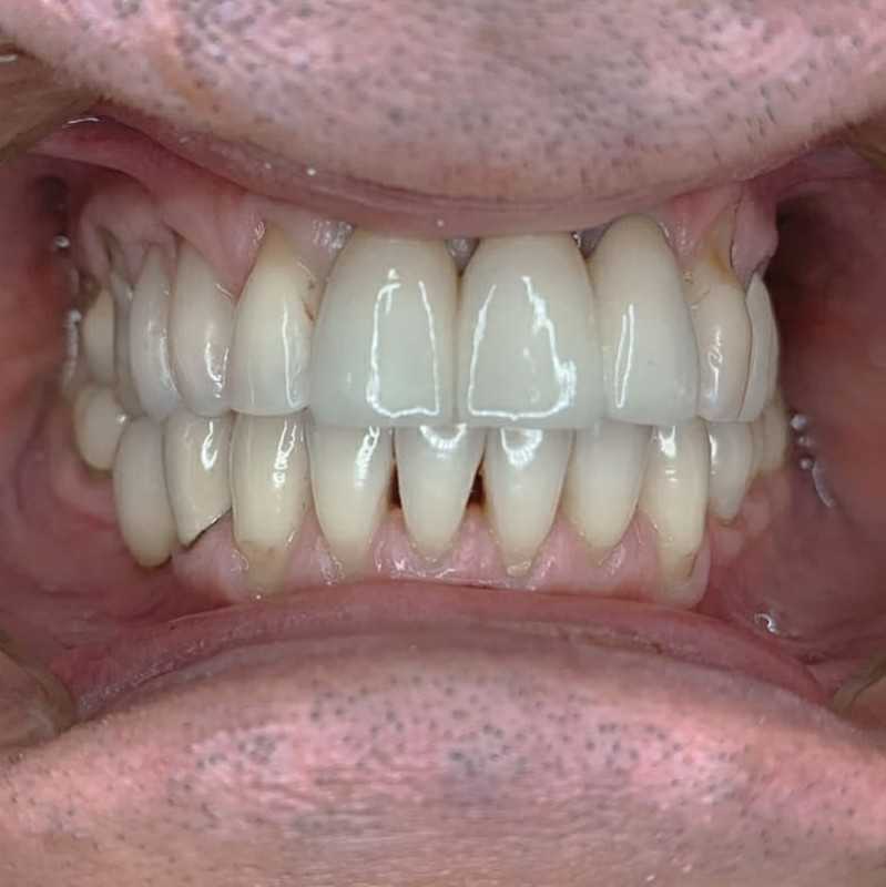
Имплантация

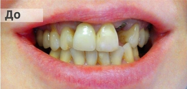
Имплантация

Имплантация

Все работы клиники
КЛИНИКА НА ГОРСКОМ

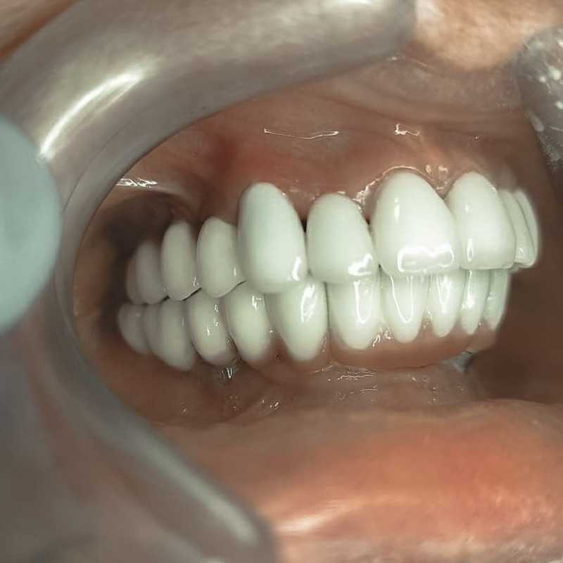
Одномоментная имплантация

Имплантация All-on-4

Все работы клиники
Стоматология ДЕНТ КОМПЛИМЕНТ (DENT KOMPLIMENT)

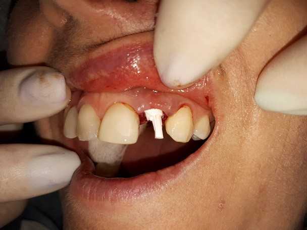
Установка импланта Astra Tech

Тотальное протезирование верхней челюсти металлокерамическими коронками с опорой на имплантаты Astra-Tech (Швеция) с левой стороны, и на свои зубы с правой стороны

Установка импланта Astra Tech

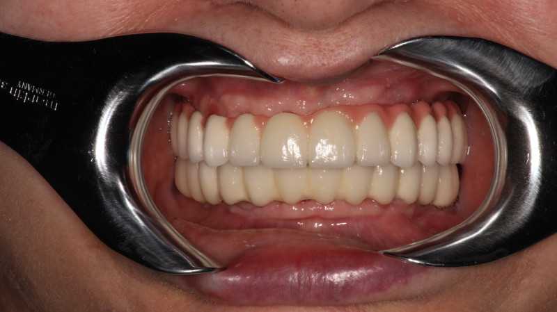
Тотальное протезирование верхней челюсти на 6 имплантатах Astra-Tech (Швеция)

Все работы клиники
СТОМАТОЛОГИЯ 32

Имплантация Все-на-6 (All-on-6)

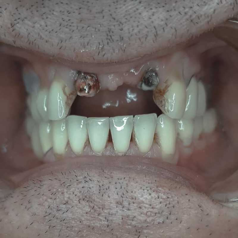
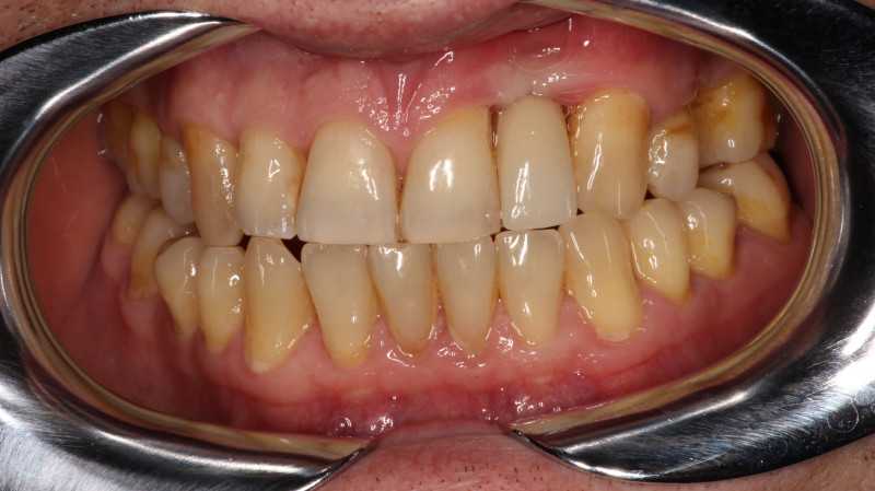
Жалобы: на отсутствие зубов, неудовлетворительную эстетику зубных рядов, невозможность жевать, подвижность зубов. Что сделано: удаление зубов на в/ч и н/ч, установка имплантатов Bredent Sky (верхняя челюсть 6 импл, нижняя 4 импл) и одномоментное протезирование акриловыми протезами с опорой на имплантаты по протоколу Fast & Fixed (зубы за один день). Через 10 месяцев проведена работа по замене протезов на постоянные металлокерамические. Что получил пациент: красивую улыбку, возможность нормально питаться с первого дня после операции.

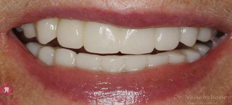
Установка импланта Osstem

Имплантация All-on-4

Жалобы: на отсутствие зубов, неудовлетворительную эстетику зубных рядов, невозможность жевать, снижение высоты прикуса. Что сделано: удаление зубов на в/ч и н/ч, установка имплантатов Bredent Sky и одномоментное протезирование акриловыми протезами с опорой на имплантаты по протоколу Fast & Fixed (зубы за один день). Через 8 месяцев проведена работа по замене протезов на постоянные металлокерамические. Что получил пациент: красивые и ровные зубные ряды, возможность нормально питаться с первого дня после операции, поднята высота прикуса, теперь не стесняется улыбаться.

Все работы клиники
Немецкая стоматология РЕКОМЕНДЕНТ (RECOMENDENT)

Установка импланта Osstem

Установка импланта Osstem на жевательные зубы

Доктор: Дровосеков Михаил Николаевич

Одномоментная имплантация

Имплантация верхнего зубного ряда по протоколу немедленной нагрузки

Доктор: Дровосеков Михаил Николаевич

Имплантация

Дентальная имплантация

Доктор: Дровосеков Михаил Николаевич

Все работы клиники
БЕЛАЯ СТОМАТОЛОГИЯ

Имплантация

Имплантация

Имплантация

Все работы клиники
Стоматологическая клиника ГРАНАТ

Одномоментная имплантация

Одномоментная имплантация

Все работы клиники
Стоматологический центр ДЕЛЮКС ДЕНТ

Имплантация

Имплантация Все-на-6 (All-on-6)

Все работы клиники