Фото до и после по услуге Профгигиена в клиниках Новосибирска

Фотографии до и после: Профгигиена

На странице представлено портфолио стоматологий Новосибирска с работами до и после профессиональной чистки зубов. В нашем портфолио собраны разные клинические случаи: от удаления незначительного налета до снятия массивного поддесневого камня. Здесь вы можете увидеть, как возвращается естественный цвет и внешний вид зубов после процедуры. Изучите результаты до и после чистки зубов, чтобы увидеть реальный эффект и выбрать клинику в Новосибирске, где профессиональная гигиена поможет вернуть зубам здоровый вид.

Стоматологическая клиника ГРАНАТ

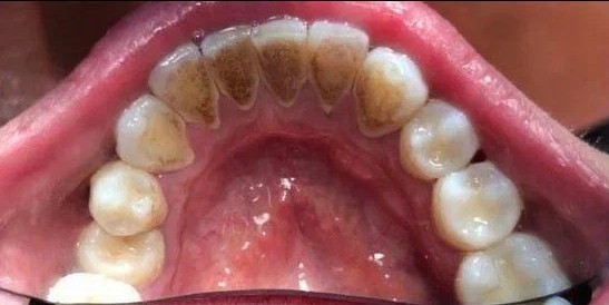
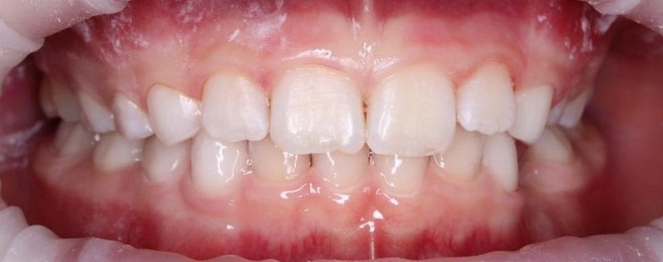
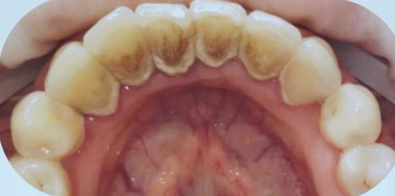
Чистка зубов Air-flow

Чистка зубов Air-flow

Чистка зубов Air-flow

Все работы клиники
Стоматологическая клиника СКАЙДЕНТ (SKYDENT)

Профгигиена

Доктор: Попова (Михеева) Юлия Васильевна

Профгигиена

Доктор: Новлянцева (Новосад) Екатерина Игоревна

Все работы клиники
Центр стоматологии НЕБОЛЬСИН

Профгигиена

Жемчужная чистка зубов

Доктор: Евченко Надежда Владимировна

Все работы клиники
Стоматологическая клиника ЧАСТНАЯ ПРАКТИКА

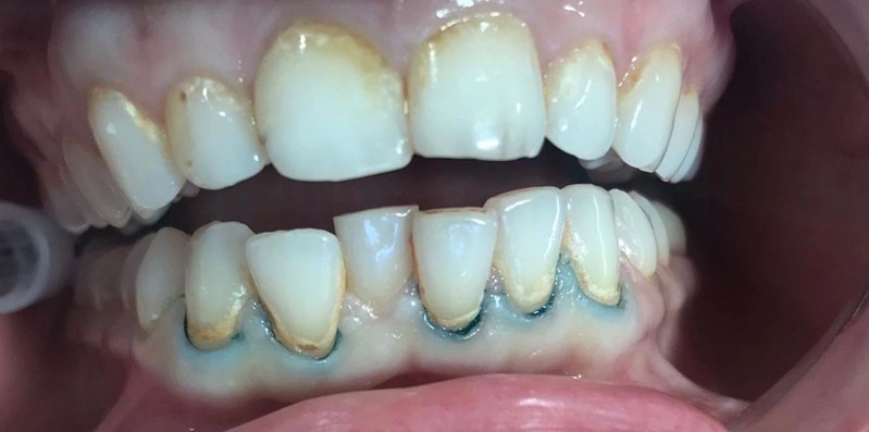
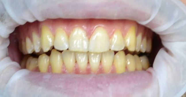
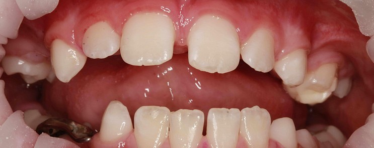
Чистка зубов Air-flow

Чистка зубов ультразвуком с полировкой. Доктор очень бережно отнесся к сгустку крови образовавшемуся на травмированном камнем участке десны. Это даст возможность максимально быстро восстановиться сосочку десны. Наложенная в дальнейшем лекарственная повязка ускорит процесс.

Доктор: Фалилеев Алексей Константинович

Все работы клиники
Стоматологическая клиника СМАЙЛ ГАЛЛЕРИ (SMILE GALLERY)

Чистка зубов Air-flow

Доктор: Песегова Вера Александровна

Все работы клиники