Фото до и после по услуге Отбеливание зубов в клиниках Новосибирска

Фотографии до и после: Отбеливание зубов

На странице представлено портфолио стоматологий Новосибирска с фото работ до и после профессионального отбеливания зубов. Мы собрали разные клинические случаи, демонстрируя осветление на один или несколько тонов. Здесь вы можете видеть, как меняется цвет эмали и уменьшается интенсивность пигментации после процедуры. Изучите, каким может быть ваш собственный результат после отбеливания, и выберите подходящую клинику в Новосибирске, чтобы безопасно и эффективно осветлить улыбку.

Стоматология ДЕНТ КОМПЛИМЕНТ (DENT KOMPLIMENT)

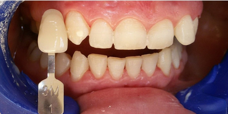
Отбеливание Zoom 4

Отбеливание Zoom 4

Отбеливание Zoom 4

Все работы клиники
Центр стоматологии НЕБОЛЬСИН

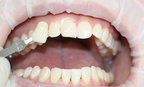
Лазерное отбеливание

Доктор: Санькова Татьяна Вячеславовна

Отбеливание Zoom 4

Доктор: Кальяк Мария Анатольевна

Лазерное отбеливание

Доктор: Санькова Татьяна Вячеславовна

Лазерное отбеливание

Доктор: Санькова Татьяна Вячеславовна

Лазерное отбеливание

Доктор: Санькова Татьяна Вячеславовна

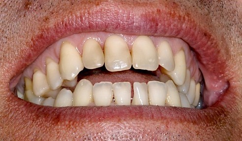
Отбеливание Zoom 4

Доктор: Кальяк Мария Анатольевна

Отбеливание Zoom 4

Доктор: Санькова Татьяна Вячеславовна

Отбеливание Zoom 4

Доктор: Берсенева Лариса Николаевна

Отбеливание Zoom 4

Доктор: Берсенева Лариса Николаевна

Отбеливание Zoom 4

Доктор: Кальяк Мария Анатольевна

Отбеливание Zoom 4

Доктор: Кальяк Мария Анатольевна

Отбеливание Zoom 4

Доктор: Кальяк Мария Анатольевна

Все работы клиники
Самая добрая стоматология ДЕНТИФОРМ

Отбеливание Zoom 4

Доктор: Мезенцев Алексей Николаевич

Все работы клиники
Немецкая стоматология РЕКОМЕНДЕНТ (RECOMENDENT)

Отбеливание Zoom 4

Профессиональная гигиеническая чистка зубов и отбеливание Zoom-4

Доктор: Пушкина Юлия Сергеевна

Все работы клиники
Стоматологическая клиника СМАЙЛ ГАЛЛЕРИ (SMILE GALLERY)

Отбеливание зубов

Доктор: Куликова Анастасия Александровна

Все работы клиники