Фото до и после по услуге Установка коронки на зуб в клиниках Новосибирска

Фотографии до и после: Установка коронки на зуб

На странице представлено портфолио стоматологий Новосибирска с фото работ до и после установки зубных коронок. Показываем, как можно полностью восстановить форму разрушенного зуба и эстетичный вид улыбки. На странице собраны разные клинические случаи восстановления одиночными коронками из металлокерамики, циркония или керамики. Изучите результаты до и после процедуры и выберите подходящую клинику для восстановления зуба в Новосибирске.

Стоматология РЕАЛДЕНТ (REALDENT)

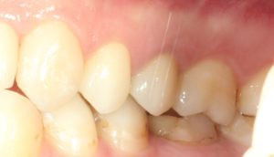
Установка металлокерамической коронки

Установка коронки на зуб

Все работы клиники
КЛИНИКА НА ГОРСКОМ

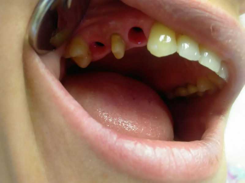
Установка металлокерамической коронки

Установка коронки из диоксида циркония

Все работы клиники
Стоматология ДЕНТ КОМПЛИМЕНТ (DENT KOMPLIMENT)

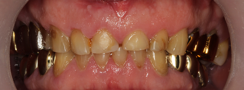
Установка коронки из диоксида циркония

Все работы клиники
Стоматологическая клиника ВИДЕ ДЕНТ (VIDE DENT)

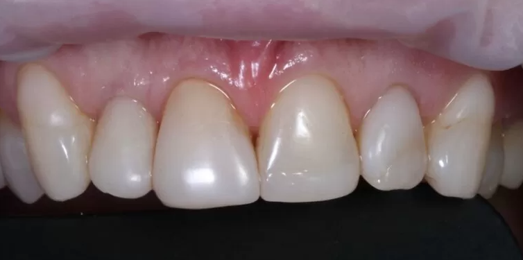
Установка керамической коронки

Протезирование и коррекция передних зубов

Установка коронки на зуб

Установка керамической коронки

Установка коронки на зуб

Все работы клиники
Центр стоматологии НЕБОЛЬСИН

Установка керамической коронки

Эстетическая реставрация. Установка коронок E-max на свои зубы

Доктор: Крылов Сергей Вячеславович

Установка коронки из диоксида циркония

Для восстановления эстетики была проведена обработка зубов и установка коронок из диоксида циркония. Цвет был подобран под естественный оттенок своих зубов.

Доктор: Крылов Сергей Вячеславович

Установка коронки из диоксида циркония

Доктор: Крылов Сергей Вячеславович

Все работы клиники
Стоматология СТОМАЛЭНД (STOMALAND)

Установка коронки из диоксида циркония

К нам обратился Пациент, который получил травму передней группы зубов верхней челюсти. Было выполнено: предварительная цифровая моделировка, согласование с пациентом визуала будущей улыбки, протезирование коронками из диоксида циркония

Доктор: Белик Владимир Викторович

Установка коронки из диоксида циркония

Тотальная реконструкция верхней челюсти с применением коронок из диоксида циркония.

Доктор: Белик Владимир Викторович

Установка коронки из диоксида циркония

Пациент обратился в клинику в связи с неудовлетворительной эстетикой зоны улыбки. Было выполнено: протезирование коронками из диоксида циркония

Доктор: Белик Владимир Викторович

Все работы клиники
Стоматологическая клиника ДЕНТАЛ ПРИВАТ (DENTAL PRIVATE)

Установка коронки из диоксида циркония

Установка коронки из диоксида циркония

Все работы клиники
Стоматологическая клиника ПРОФИДЕНТ

Установка коронки из диоксида циркония

Доктор: Омельченко Ольга Николаевна

Установка коронки из диоксида циркония

Доктор: Омельченко Ольга Николаевна

Все работы клиники