Фото до и после по услуге Имплантация в клиниках Саратова

Фотографии до и после: Имплантация

На странице представлено портфолио стоматологий Саратова с фото работ до и после имплантации зубов. Мы собрали разные клинические случаи: одиночные импланты, восстановление нескольких зубов и полная реконструкция зубного ряда. Здесь вы можете видеть, как выглядят восстановленные зубы, меняется форма улыбки после процедуры. Изучите результаты до и после имплантации зубов, чтобы оценить качество работы врачей и выбрать стоматологию в Саратове, которая поможет вернуть функциональность и эстетику вашей улыбке.

Стоматологическая клиника ДОКТОР БЕЛОЗУБОВ

Имплантация

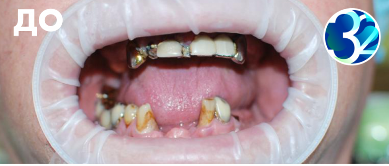
Имплантация

Имплантация

Имплантация

Имплантация

Все работы клиники
Стоматология ТЕРРИТОРИЯ УЛЫБКИ

Имплантация All-on-4

Доктор: Федоров Сергей Алексеевич

Одномоментная имплантация

Я принял решение, все-таки, удалить 4.4 зуб и одномоментно установить дентальный имплантат

Доктор: Федоров Сергей Алексеевич

Одномоментная имплантация

Доктор: Лобецкий Олег Александрович

Все работы клиники
Стоматологическая клиника ВИНИР

Имплантация

Перелом центрального зуба

Доктор: Бекшанов Дмитрий Сергеевич

Все работы клиники
Медицинский центр АГИДЕЛЬ

Имплантация All-on-4

Доктор: Федоров Сергей Алексеевич

Одномоментная имплантация

Я принял решение, все-таки, удалить 4.4 зуб и одномоментно установить дентальный имплантат

Доктор: Федоров Сергей Алексеевич

Все работы клиники
Стоматологическая клиника ПРАКТИК

Имплантация

Доктор: Отхман Омар Османович

Все работы клиники
Стоматологическая клиника БЕНФА

Имплантация

Доктор: Баюнова Евгения Федоровна

Все работы клиники