Фото до и после по услуге Отбеливание зубов в клиниках Саратова

Фотографии до и после: Отбеливание зубов

На странице представлено портфолио стоматологий Саратова с фото работ до и после профессионального отбеливания зубов. Мы собрали разные клинические случаи, демонстрируя осветление на один или несколько тонов. Здесь вы можете видеть, как меняется цвет эмали и уменьшается интенсивность пигментации после процедуры. Изучите, каким может быть ваш собственный результат после отбеливания, и выберите подходящую клинику в Саратове, чтобы безопасно и эффективно осветлить улыбку.

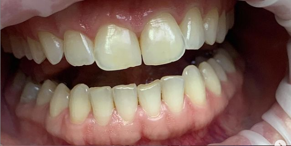
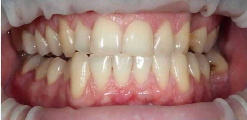
Стоматология ТЕРРИТОРИЯ УЛЫБКИ

Отбеливание Zoom

Доктор: Мельник Богдан Павлович

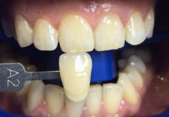
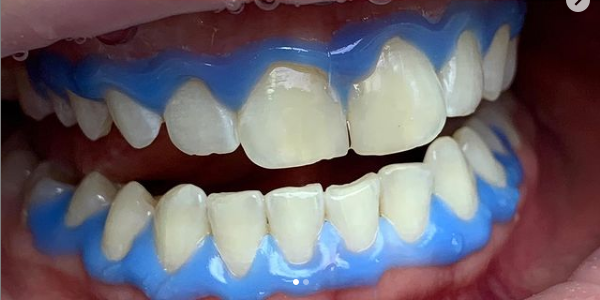
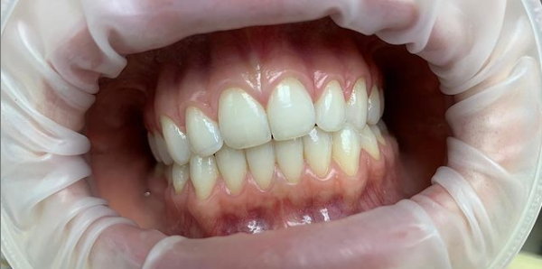
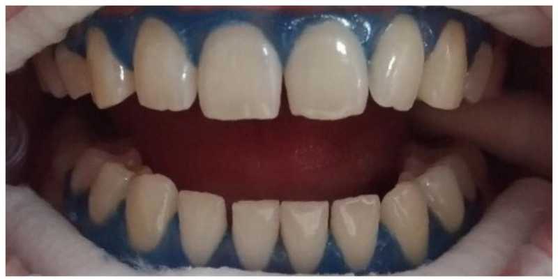
Отбеливание Zoom 4

Доктор: Мельник Богдан Павлович

Все работы клиники
Стоматологическая клиника ВИНИР

Отбеливание Zoom 4

Доктор: Бекшанова Марина Сергеевна

Все работы клиники
Стоматология СТОМАДЕНТ

Отбеливание Amazing White

Доктор: Меньшова Мария Сергеевна

Отбеливание Amazing White

Доктор: Меньшова Мария Сергеевна

Отбеливание Amazing White

Доктор: Меньшова Мария Сергеевна

Все работы клиники
Стоматологический центр ПРЕЗИДИУММЕД

Отбеливание зубов

Отбеливание зубов

Отбеливание зубов

Все работы клиники
Стоматология ДЕНТА

Отбеливание зубов

Отбеливание Opalescence

Все работы клиники
Стоматологическая клиника БЕНФА

Отбеливание зубов

Доктор: Баюнова Надежда Федоровна

Отбеливание зубов

Доктор: Баюнова Евгения Федоровна

Все работы клиники
Стоматология ДЕНТАЛ ЦЕНТР

Отбеливание зубов

Доктор: Абушаева Дания Наильевна

Все работы клиники