Фото до и после по услуге Установка брекетов в клиниках Саратова

Фотографии до и после: Установка брекетов

На странице представлено портфолио стоматологий Саратова с фото работ до и после исправления прикуса брекетами. Мы публикуем результаты разных клинических случаев: от скученности зубов и диастем до сложных ортодонтических аномалий. В каждом случае показан реальный прогресс — от начального состояния зубов до финального результата после снятия брекетов и исправления прикуса. Поэтому вы можете наглядно увидеть, как меняется положение зубов и общая эстетика улыбки. Изучите результаты работ до после и выберите подходящую клинику в Саратове.

Стоматологическая клиника ВИНИР

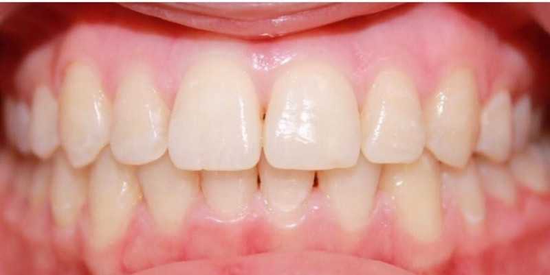
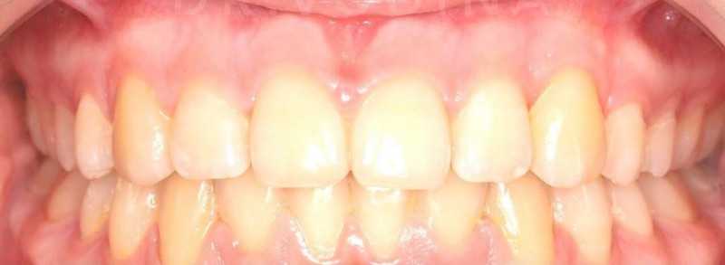
Установка брекетов

Доктор: Денисов Константин Михайлович

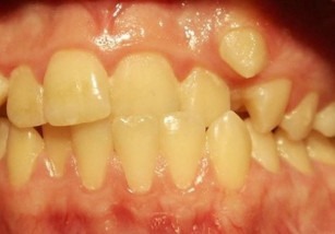
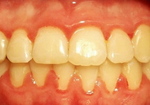
Установка брекетов

Доктор: Денисов Константин Михайлович

Все работы клиники
Стоматология ТЕРРИТОРИЯ УЛЫБКИ

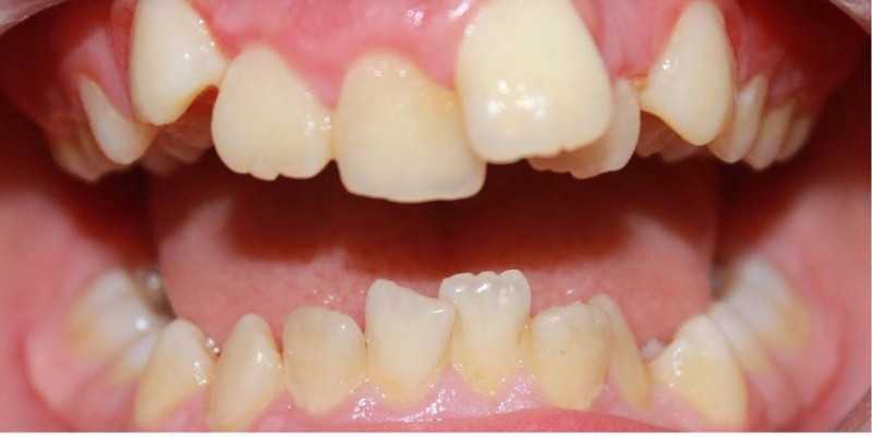
Установка брекетов

Доктор: Резванцева Аксинья Владимировна

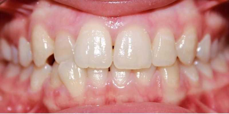
Установка брекетов

Доктор: Жиренко Екатерина Валерьевна

Все работы клиники
Стоматологический центр ПРЕЗИДИУММЕД

Установка брекетов

Установка брекетов

Установка керамических брекетов

Установка брекетов

Все работы клиники
Стоматология ДЕНТА

Установка брекетов

Установка брекетов

Все работы клиники
Стоматологическая клиника ФЛАРТ

Установка металлических брекетов

Доктор: Венатовская Нина Викторовна

Установка сапфировых брекетов

Доктор: Венатовская Нина Викторовна

Все работы клиники
Стоматологическая клиника ПРАКТИК

Установка брекетов

Доктор: Денисов Константин Михайлович

Установка брекетов

Доктор: Денисов Константин Михайлович

Все работы клиники