Фото до и после по услуге Протезирование зубов в клиниках Саратова

Фотографии до и после: Протезирование зубов

На странице представлено портфолио стоматологий Саратова с фото работ до и после протезирования зубов. Мы собрали результаты разных вариантов протезирования: одиночные коронки (керамические, циркониевые), мостовидные протезы, протезы на имплантах и полные съемные протезы. Вы можете видеть, как восстанавливаются полностью утраченные или сильно разрушенные зубы, возвращается жевательная функция и естественный вид улыбки. Изучите результаты до и после протезирования и выберите подходящую клинику в Саратове, чтобы вернуть здоровье и красоту вашей улыбке.

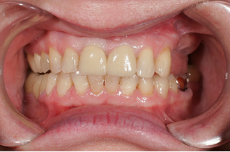
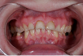
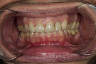
Стоматология ТЕРРИТОРИЯ УЛЫБКИ

Установка съемного протеза

Доктор: Моисеева Валентина Валерьевна

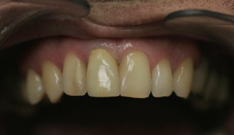
Установка коронки из диоксида циркония

Во избежании костной пластики на участке с тонкой костью, установил имплантаты узкого диаметра Straumann. Для двух других зубов установлены Impro, так как толщина кости позволяла установить стандартные импланты. В итоге на прижившиеся имплантаты были установлены коронки из диоксида циркония.

Доктор: Федоров Сергей Алексеевич

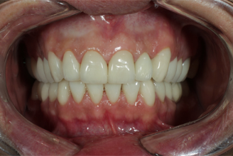
Установка металлокерамической коронки

Было принято решение установить импланты на место 24 и 37 зубов с индивидуальными абатментами и металлокерамическими коронками

Доктор: Федоров Сергей Алексеевич

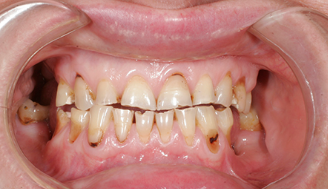
Установка мостовидного протеза

Установка дентальных имплантатов в позиции 12 и 22 зубов, 15 и 16 совместно с закрытым синус-лифтингом, а также 35 и 37. На заживление ушло 3 месяца. Также, на зубы 13 и 14 изготовлены металлокерамические коронки, а на 2.3 и 2.6 зубы металлокерамический мостовидный протез.

Доктор: Федоров Сергей Алексеевич

Установка коронки из диоксида циркония

Было принято решение о покрытии этих 3 зубов циркониевыми коронками, при этом на 2.4 и 2.5, в связи с большими дефектами, потребовалось изготовление литых штифтовых культевых вкладок.

Доктор: Федоров Сергей Алексеевич

Установка коронки из диоксида циркония

Доктор: Данилов Алексей Сергеевич

Установка мостовидного протеза

Были изготовлены: мостовидный протез с опорами на 1.4 и 1.2 зубы из диоксида циркония; 2 одиночные коронки 1.1, 2.2 зубов так же из диоксида циркония.

Доктор: Федоров Сергей Алексеевич

Установка коронки из диоксида циркония

Убрали остатки старых пломб, изготовлены штифтовые вкладки для восстановления коронковых частей зубов. Изготовлены диоксидциркониевые коронки 1.4 и 1.5 зубов.

Доктор: Федоров Сергей Алексеевич

Установка коронки из диоксида циркония

Во время лечения было произведено расщепление альвеолярного отростка, после чего установлен имплантат AnyRidge. Слева, в области бокового резца, простая установка имплантата той же марки. Были установлены 2 коронки из диоксида циркония.

Доктор: Федоров Сергей Алексеевич

Установка коронки из диоксида циркония

Для одного зуба был поставлен имплант стандартным методом, перед имплантацией двух других провели костную пластику. За 2 дня были изготовлены коронки из диоксида циркония.

Доктор: Федоров Сергей Алексеевич

Установка коронки из диоксида циркония

Доктор: Данилов Алексей Сергеевич

Все работы клиники
Стоматологическая клиника ВИНИР

Установка керамической коронки

Исходная ситуация: выраженная стираемость нижний зубов и снижение высоты прикуса, наличие пломб большого размера. Было проведено: коррекция старых пломб и изготовление керамических коронок из диоксида циркония .

Доктор: Сафонкина Елена Владимировна

Установка керамической коронки

Исходная ситуация: объёмные изменённые в цвете пломбы и фиолетовый зуб. Что сделали : полечили зубки и подготовили их под керамические коронки . Установили 6 керамических коронок E max цвета А2

Доктор: Бекшанова Марина Сергеевна

Все работы клиники
Стоматологическая клиника ПРАКТИК

Протезирование зубов

Доктор: Казанцев Андрей Вячеславович

Протезирование зубов

Доктор: Феоктистов Артём Юрьевич

Протезирование зубов

Доктор: Хайкин Игорь Львович

Протезирование зубов

Доктор: Феоктистов Артём Юрьевич

Протезирование зубов

Доктор: Мартынов Владимир Андреевич

Протезирование зубов

Доктор: Казанцев Андрей Вячеславович

Протезирование зубов

Доктор: Хайкин Игорь Львович

Протезирование зубов

Доктор: Казанцев Андрей Вячеславович

Протезирование зубов

Доктор: Феоктистов Артём Юрьевич

Протезирование зубов

Доктор: Варагушин Ильдар Владимирович

Протезирование зубов

Доктор: Казанцев Андрей Вячеславович

Протезирование зубов

Доктор: Феоктистов Артём Юрьевич

Протезирование зубов

Доктор: Хайкин Игорь Львович

Протезирование зубов

Доктор: Хайкин Игорь Львович

Протезирование зубов

Доктор: Феоктистов Артём Юрьевич

Протезирование зубов

Доктор: Феоктистов Артём Юрьевич

Протезирование зубов

Доктор: Хайкин Игорь Львович

Протезирование зубов

Доктор: Феоктистов Артём Юрьевич

Протезирование зубов

Доктор: Варагушин Ильдар Владимирович

Протезирование зубов

Доктор: Варагушин Ильдар Владимирович

Протезирование зубов

Доктор: Феоктистов Артём Юрьевич

Протезирование зубов

Доктор: Феоктистов Артём Юрьевич

Протезирование зубов

Доктор: Павленко Игорь Владимирович

Протезирование зубов

Доктор: Хайкин Игорь Львович

Протезирование зубов

Доктор: Хайкин Игорь Львович

Протезирование зубов

Доктор: Мартынов Владимир Андреевич

Протезирование зубов

Доктор: Феоктистов Артём Юрьевич

Протезирование зубов

Доктор: Казанцев Андрей Вячеславович

Протезирование зубов

Доктор: Варагушин Ильдар Владимирович

Протезирование зубов

Доктор: Варагушин Ильдар Владимирович

Протезирование зубов

Доктор: Варагушин Ильдар Владимирович

Протезирование зубов

Доктор: Хайкин Игорь Львович

Протезирование зубов

Доктор: Казанцев Андрей Вячеславович

Протезирование зубов

Доктор: Казанцев Андрей Вячеславович

Протезирование зубов

Доктор: Феоктистов Артём Юрьевич

Протезирование зубов

Доктор: Мартынов Владимир Андреевич

Протезирование зубов

Доктор: Казанцев Андрей Вячеславович

Протезирование зубов

Доктор: Феоктистов Артём Юрьевич

Протезирование зубов

Доктор: Казанцев Андрей Вячеславович

Все работы клиники
Медицинский центр АГИДЕЛЬ

Установка коронки из диоксида циркония

Убрали остатки старых пломб, изготовлены штифтовые вкладки для восстановления коронковых частей зубов. Изготовлены диоксидциркониевые коронки 1.4 и 1.5 зубов.

Доктор: Федоров Сергей Алексеевич

Установка мостовидного протеза

Были изготовлены: мостовидный протез с опорами на 1.4 и 1.2 зубы из диоксида циркония; 2 одиночные коронки 1.1, 2.2 зубов так же из диоксида циркония.

Доктор: Федоров Сергей Алексеевич

Установка коронки из диоксида циркония

Доктор: Данилов Алексей Сергеевич

Установка коронки из диоксида циркония

Во время лечения было произведено расщепление альвеолярного отростка, после чего установлен имплантат AnyRidge. Слева, в области бокового резца, простая установка имплантата той же марки. Были установлены 2 коронки из диоксида циркония.

Доктор: Федоров Сергей Алексеевич

Установка коронки из диоксида циркония

Для одного зуба был поставлен имплант стандартным методом, перед имплантацией двух других провели костную пластику. За 2 дня были изготовлены коронки из диоксида циркония.

Доктор: Федоров Сергей Алексеевич

Установка коронки из диоксида циркония

Доктор: Данилов Алексей Сергеевич

Установка коронки из диоксида циркония

Было принято решение о покрытии этих 3 зубов циркониевыми коронками, при этом на 2.4 и 2.5, в связи с большими дефектами, потребовалось изготовление литых штифтовых культевых вкладок.

Доктор: Федоров Сергей Алексеевич

Установка мостовидного протеза

Установка дентальных имплантатов в позиции 12 и 22 зубов, 15 и 16 совместно с закрытым синус-лифтингом, а также 35 и 37. На заживление ушло 3 месяца. Также, на зубы 13 и 14 изготовлены металлокерамические коронки, а на 2.3 и 2.6 зубы металлокерамический мостовидный протез.

Доктор: Федоров Сергей Алексеевич

Установка металлокерамической коронки

Было принято решение установить импланты на место 24 и 37 зубов с индивидуальными абатментами и металлокерамическими коронками

Доктор: Федоров Сергей Алексеевич

Установка коронки из диоксида циркония

Во избежании костной пластики на участке с тонкой костью, установил имплантаты узкого диаметра Straumann. Для двух других зубов установлены Impro, так как толщина кости позволяла установить стандартные импланты. В итоге на прижившиеся имплантаты были установлены коронки из диоксида циркония.

Доктор: Федоров Сергей Алексеевич

Все работы клиники
Лечебно-диагностический центр МЕДГАРД

Протезирование зубов

Замена старых металлокерамических мостовидных протезов и коронок на циркониевые с дентальной имплантацией в области отсутствующих зубов.

Доктор: Клечан Михаил Анатольевич

Установка керамической коронки

Протезирование керамическими коронками на живых зубах при генерализованной патологической стираемости зубов

Доктор: Клечан Михаил Анатольевич

Протезирование зубов

Комплексное функционально-эстетическое протезирование керамическими коронками цвета «Блич» на живых зубах с восстановлением сильно разрушенного зуба.

Доктор: Клечан Михаил Анатольевич

Протезирование зубов

Протезирование креамическими и циркониевыми коронками после исправления прикуса брекетами.

Доктор: Клечан Михаил Анатольевич

Протезирование зубов

Протезирование керамическими коронками на живых зубах при генерализованной патологической стираемости зубов

Доктор: Клечан Михаил Анатольевич

Установка керамической коронки

Комплексное функционально-эстетическое протезирование керамическими коронками цвета «Блич» на живых зубах с восстановлением сильно разрушенного зуба.

Доктор: Клечан Михаил Анатольевич

Все работы клиники
Стоматологическая клиника ДЕНТАЛ ЛЮКС (DENTAL ЛЮКС)

Протезирование зубов

Протезирование зубов

Протезирование зубов

Протезирование зубов

Все работы клиники
Стоматология ДЕНТА

Протезирование зубов

Протезирование зубов

Протезирование зубов

Все работы клиники
Стоматологическая клиника ДЕНТАЛ ПРАКТИС

Установка коронки из диоксида циркония

Протезирование с помощью коронок из диоксида циркония с применением дентальных имплантатов

Доктор: Панкратова Юлия Алексеевна

Установка коронки из диоксида циркония

Протезирование с помощью коронок из диоксида циркония с применением дентальных имплантатов

Доктор: Панкратова Юлия Алексеевна

Установка коронки из диоксида циркония

Протезирование с помощью коронок из диоксида циркония с применением дентальных имплантатов

Доктор: Панкратова Юлия Алексеевна

Все работы клиники
Стоматологический центр ПРЕЗИДИУММЕД

Установка металлокерамической коронки

Установка керамической коронки

Протезирование зубов

Все работы клиники
Стоматологическая клиника ЕВРО-ДЕНТ

Установка керамической коронки

Эстетико-функциональная реабилитация. 28 виниров и коронок. Коронки на имплантатах

Установка керамической вкладки

Провели эстетическое преображение для пациентки из Москвы. Трансформация улыбки с помощью 10 керамических реставраций. Цвет В 1 Это самый легкий и эффектный вид протезирования 3 посещения: 1. Консультация. Диагностика 2. Через 3-7 дней. Подготовка зубов. установка временных конструкций 3. Через 7-10 дней. Фиксация керамических виниров.

Все работы клиники