Стоматолог Саркисян Вазген Владиславович — цены, отзывы, стаж — Принимает в Симферополе
Найти

Саркисян Вазген Владиславович

Саркисян Вазген Владиславович - фотография

5.0
Рейтинг: 5.0
Отзывов: 2
Положительных: 2
Отрицательных: 0
Последний : 1182 дн. назад
2 отзыва
стоматолог-ортодонт
стоматолог-хирург
стоматолог-имплантолог
Стаж 6 лет
Саркисян Вазген Владиславович принимает в «Клиника эстетической стоматологии и имплантации D'CLINIC» в Симферополе. Стаж 6 лет. Специализируется на ортодонтии, хирургии и имплантологии, по которым клиника оказывает 27 услуг. Имеет 5 работ до/после в портфолио. Квалификация специалиста подтверждена 3 лицензиями, сертификатами и наградами. Занимает 20 место в рейтинге стоматологов вашего города.
Это мой профиль

Где принимает:

Как проехать

К стоматологии «Д'Клиник» удобнее всего будет проехать общественным транспортом: автобусами № 3, 6, 7, 8, 22, 30, 49, 55, 63, 70, 78, 96, троллейбусами № 4, 7, 10, 15 или маршрутными такси № 1, 2, 10, 15, 41, 48, 51, 60, 69, 81, 83, 85, 86. Двигаться необходимо до остановочной площадки «Площадь Советская». Выйдя из транспортного средства, нужно повернуть на проспект Кирова и проследовать по нему в сторону здания № 29/1. Расстояние до клиники составляет 250 метров.
Топ 20 в рейтинге
Опыт 6 лет
5 работ в портфолио
3 сертификата

Отзывы о враче Саркисян Вазген Владиславович

Рейтинг: 5
Отзывов: 2
Положительных: 2
Отрицательных: 0
Последний: 1182 дн. назад
5.0
Почему нашим отзывам можно доверять?
Подтвержден по номеру телефона
19 августа 2022 г.
1 2 3 4 5
Отличная Клиника, с 2013 года обслуживаюсь, кто был по моей рекомендации крайне довольны. Отдельный респект Владиславу Вазгеновичу и врачу-ортопеду Антону Сергеевичу, профессионалы с большой буквы.
После приема Пациент записывался в клинику через 32top. После приёма мы позвонили ему и получили отзыв.
14 апреля 2021 г.
1 2 3 4 5
Обратилась в стоматологию ДЕНТА ПЛЮС по рекомендации коллег, к доктору Саркисяну Вазгену. Очень понравился врачь, теперь буду лечиться только у него. Полностью, во время осмотра, все мне рассказал, сделали снимки и нашли вариант лечения который мне подходит. Очень аккуратно врач выполняет все манипуляции, внимательно следит за состоянием пациента и тем, комфортно ли мне. Я осталась довольна качеством лечения, на данный момент полностью сделано два зуба и то, как они сделаны и насколько красиво смотрятся мне очень нравится. Рекомендую клинику и особенно доктора. Кстати, цены достаточно не высокие.
    Помогите другим сделать правильный выбор — оставьте свой отзыв о докторе
    Написать отзыв

    Образование Документы проверены

    • 2021 г. — Крымский федеральный университет имени В. И. Вернадского (ортодонтия) Ординатура
    • 2019 г. — Крымский федеральный университет имени В. И. Вернадского (стоматология) Базовое образование

    Повышение квалификации

    • 2023 г. — OrthoTalks
    • 2021 г. — Ортодонтичекие винты. Применение в практике. Автор Скандер Эллуз
    • 2021 г. — OrthoSceptics

    Лицензии, сертификаты, награды (3)

    certificate
    certificate
    certificate

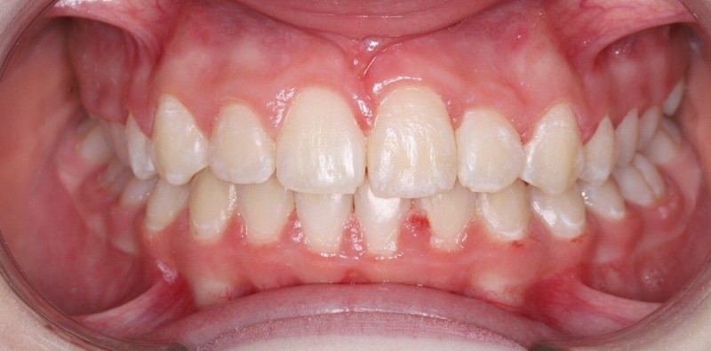
    Саркисян Вазген Владиславович: портфолио (5)

    Протезирование на имплантатах

    Популярные врачи в Симферополе

    Услуги стоматолога в других клиниках

    Хирургическая стоматология
    Удаление зубов от 1 500 ₽ до 22 000 ₽
    Сложное удаление зуба от 3 500 ₽ до 22 000 ₽
    Ортодонтия
    Виды брекетов по материалу
    Установка металлических брекетов
    от 25 950 ₽ до 85 000 ₽
    Еще услуги
    Имплантация
    Методы имплантации
    Одномоментная имплантация
    от 35 000 ₽ до 55 000 ₽
    Еще услуги