Стоматолог Рунова Галина Сергеевна — цены, отзывы, стаж — Принимает в Москве

Рунова Галина Сергеевна

Рунова Галина Сергеевна - фотография
стоматолог-терапевт
пародонтолог
Стаж 26 лет
Рунова Галина Сергеевна принимает в «Стоматологическая поликлиника РЖД-МЕДИЦИНА» в Москве. К.м.н., стаж 26 лет. Специализируется на терапии и пародонтологии, по которым клиника оказывает 25 услуг. Имеет 2 работы до/после в портфолио. Для уточнения дополнительной информации о специалисте или записи на прием можно позвонить по телефону
+7 (499)Показать телефон
.

Где принимает:

Кандидат мед.наук
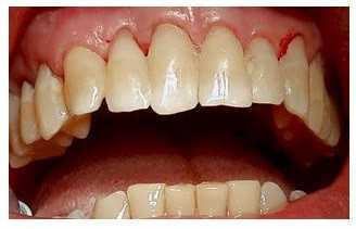
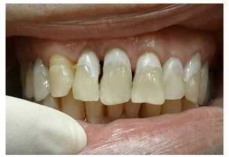
2 работы в портфолио
Опыт 26 лет

Награды

  • Награждена грамотой Минздрава РФ в 2015г. 

Рунова Галина Сергеевна: портфолио (2)

    Помогите другим сделать правильный выбор — оставьте свой отзыв о докторе
    Написать отзыв

    Услуги стоматолога в других клиниках

    Пародонтология
    Лечение пародонтита от 170 ₽ до 33 600 ₽
    Лечение пародонтоза от 170 ₽ до 24 800 ₽
    Еще услуги