Стоматолог Читанава Тея Гиевна — цены, отзывы, стаж — Принимает в Москве

Читанава Тея Гиевна

Читанава Тея Гиевна - фотография
стоматолог-терапевт
детский стоматолог
Стаж 14 лет
Читанава Тея Гиевна принимает в «Клиника АКВАРЕЛЬ» в Москве. Стаж 14 лет. Специализируется на терапии и детской стоматологии, по которым клиника оказывает 3 услуги. Имеет 5 работ до/после в портфолио. Квалификация специалиста подтверждена 5 лицензиями, сертификатами и наградами. Для уточнения дополнительной информации о специалисте или записи на прием можно позвонить по телефону
+7 (495)Показать телефон
. Также 32top представляет форму онлайн расписания, через которую можно записаться к специалисту на свободную дату и время.

Где принимает:

5 сертификатов
Опыт 14 лет
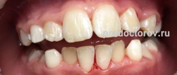
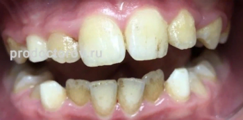
5 работ в портфолио

Читанава Тея Гиевна: портфолио (5)

Отзывы о враче Читанава Тея Гиевна

Почему нашим отзывам можно доверять?
После приема Пациент записывался в клинику через 32top. После приёма мы позвонили ему и получили отзыв.
1 июня 2025 г.
1 2 3 4 5
Отличная клиника с удобным расположением! Особенная благодарность доктору Читанава Т.Г. это врач с золотыми руками и удивительным подходом к детям. Не понимаю, как она это делает, но мой ребёнок соглашается лечить зубы только у неё! Настоящий профессионализм в сочетании с душевной теплотой.
    Помогите другим сделать правильный выбор — оставьте свой отзыв о докторе
    Написать отзыв

    Услуги стоматолога в других клиниках

    Терапевтическая стоматология
    Лечение кариеса от 3 500 ₽ до 14 500 ₽
    Лечение пульпита от 5 000 ₽ до 35 000 ₽
    Еще услуги
    Детская стоматология
    Лечение молочных зубов от 500 ₽ до 10 000 ₽
    Удаление зубов у детей от 500 ₽ до 8 000 ₽
    Еще услуги