Стоматолог Круглик Андрей Юрьевич — цены, отзывы, стаж — Принимает в Москве

Круглик Андрей Юрьевич

Круглик Андрей Юрьевич - фотография
стоматолог-ортопед
Стаж 30 лет
Круглик Андрей Юрьевич принимает в «Стоматологическая клиника ЮНИДЕНТ» в Москве. Стаж 30 лет. Специализируется на ортопедии, по которой клиника оказывает 12 услуг. Для уточнения дополнительной информации о специалисте или записи на прием можно позвонить по телефону
+7 (495)Показать телефон
. Также 32top представляет форму онлайн расписания, через которую можно записаться к специалисту на свободную дату и время.

Где принимает:

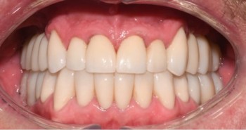
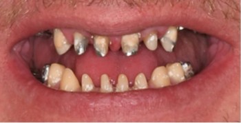
1 работа в портфолио
Опыт 30 лет

Круглик Андрей Юрьевич: портфолио (1)

    Помогите другим сделать правильный выбор — оставьте свой отзыв о докторе
    Написать отзыв

    Услуги стоматолога в других клиниках

    Эстетическая стоматология
    Установка виниров от 29 000 ₽ до 82 600 ₽
    Установка скайсов от 1 500 ₽ до 12 000 ₽
    Еще услуги
    Протезирование зубов
    Установка коронки на зуб от 4 500 ₽ до 120 000 ₽
    Виды протезов
    Еще услуги