Стоматолог Теребова Карина Сергеевна — цены, отзывы, стаж — Принимает в Москве

Теребова Карина Сергеевна

Теребова Карина Сергеевна - фотография
стоматолог-эндодонтист
Стаж 13 лет
Теребова Карина Сергеевна принимает в «СТОМАТОЛОГИЯ СУПЕРГЕРОЕВ» в Щербинке. Стаж 13 лет. Специализируется на эндодонтическом лечении, по которой клиника оказывает 2 услуги. Имеет 2 работы до/после в портфолио. Квалификация специалиста подтверждена 9 лицензиями, сертификатами и наградами. Для уточнения дополнительной информации о специалисте или записи на прием можно позвонить по телефону
+7 (495)Показать телефон
.

Где принимает:

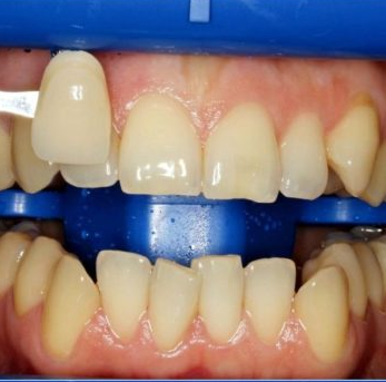
2 работы в портфолио
Опыт 13 лет
9 сертификатов

Теребова Карина Сергеевна: портфолио (2)

    Помогите другим сделать правильный выбор — оставьте свой отзыв о докторе
    Написать отзыв