Стоматолог Ковалёва (Шуралева) Ангелина Эдуардовна — цены, отзывы, стаж — Принимает в Москве

Ковалёва (Шуралева) Ангелина Эдуардовна

Ковалёва (Шуралева) Ангелина Эдуардовна - фотография

5.0
Рейтинг: 5.0
Отзывов: 10
Положительных: 10
Отрицательных: 0
Последний : 41 дн. назад
10 отзывов
стоматолог-хирург
Стаж 9 лет
Ковалёва (Шуралева) Ангелина Эдуардовна принимает в «Стоматологическая клиника НАУДЕНТ» в Москве. Стаж 9 лет. Специализируется на хирургии, по которой клиника оказывает 10 услуг. Имеет 3 работы до/после в портфолио. Квалификация специалиста подтверждена 5 лицензиями, сертификатами и наградами, а опыт 10 отзывами пациентов, из которых 10 положительные. Для уточнения дополнительной информации о специалисте или записи на прием можно позвонить по телефону
+7 (495)Показать телефон
. Занимает 20 место в рейтинге стоматологов-хирургов 32top в вашем городе.

Где принимает:

Опыт 9 лет
3 работы в портфолио
5 сертификатов

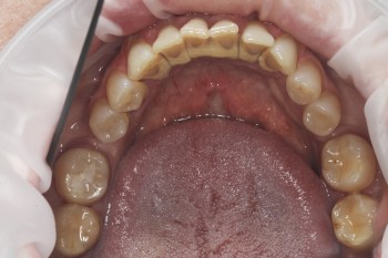
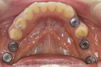
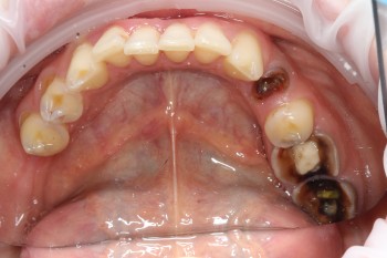
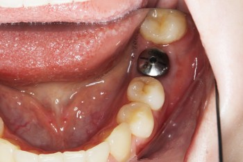
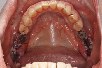
Ковалёва (Шуралева) Ангелина Эдуардовна: портфолио (3)

Отзывы о враче Ковалёва (Шуралева) Ангелина Эдуардовна

Рейтинг: 5
Отзывов: 10
Положительных: 10
Отрицательных: 0
Последний: 41 дн. назад
5.0
Почему нашим отзывам можно доверять?
2 апреля 2026 г.
1 2 3 4 5
Я была на удалении зуба мудрости 26.03.2026 года. Врач Ковалева Ангелина Эдуардовна замечательный специалист сделала все очень аккуратно. Во время работы все время разговаривала со мной,рассказывала каждое свое действие. Рекомендую клинику и особенно этого специалиста. Тут относятся к пациента очень уважительно, все рассказывают, объясняют.
Благодарим Вас за положительный отзыв о работе нашей клиники. Желаем Вам здоровья и будем рады видеть Вас в нашей стоматологии. С уважением, Екатерина старший администратор научной стоматологии "Наудент"
6 августа 2025 г.
1 2 3 4 5
Хочу поблагодарить докторов клиники Наудент, Рукавичникову О. А., Кекееву З.А. и Темирову А. Р. за бережное отношение и профессиональный подход. Отличные специолисты, прекасная стоматология! Однозначно рекомендую к посещению! Отдельное спасибо хирургу -Ковалевой А. Э
Благодарим Вас за положительный отзыв о работе нашей клиники и нашей команде врачей. Желаем Вам здоровья и будем рады видеть Вас в нашей стоматологии. С уважением, Екатерина старший администратор научной стоматологии "Наудент"
25 июня 2025 г.
1 2 3 4 5
Хочу выразить благодарность всему персоналу стоматологической клиники Наудент! Они создали очень комфортную атмосферу и оказали мне квалифицированную помощь!!! Отдельную благодарность хочу выразить основателю клиники, моему прекрасному хирургу, имплантологу, высококлассному профессионалу своего дела и просто замечательному человеку, Полякову Кириллу Артуровичу!!! Это гиперответственный человек во всех отношениях!!! Кирилл Артурович, спасибо Вам за вашу клинику и весь ваш коллектив!!! Я знаю как вы подходите к подбору каждого сотрудника!! И непосредственно, к самой работе! Спасибо Вам за вашу доброту и творческий подход!!! Вы умеете делать сложное просто!!! Хочу поблагодарить доктора ортодонта Токареву Анну Владимировну за красоту моей улыбки!! Хочу подчеркнуть также доброту и чуткость абсолютно всех докторов!!! Также хочу выразить отдельную благодарность доктору-ортопеду Сарычевой Наталье Владимировне ! Хирургу- имплантологу Ковалевой Ангелине Эдуардовне!!! Спасибо клинике Наудент!!! Вы беретесь за такие сложные случаи, за которые никто больше не берётся!! Я в ваших надёжных руках!!! ОГРОМНОЕ ВАМ СПАСИБО!
Благодарим Вас за положительный отзыв о работе нашей клиники и нашем основателе, стоматологе-имплантологе Полякове Кирилле Артуровиче. Будем рады видеть Вас в нашей стоматологии. С уважением, Екатерина, старший администратор научной стоматологии "Наудент"
24 февраля 2025 г.
1 2 3 4 5
Ковалева Ангелина Эдуардовна - Врач с большой буквы, профессионал! Доверяешь ей полностью и не сколько не переживаем за результат! Спасибо!
Благодарим Вас за положительный отзыв о работе нашей клиники и нашем стоматологе-хирурге Ковалевой Ангелине Эдуардовне. Желаем Вам здоровья и будем рады видеть Вас в нашей стоматологии. С уважением, Екатерина, старший администратор научной стоматологии "Наудент" (ДентаСпа)
15 ноября 2024 г.
1 2 3 4 5
Хочу выразить огромную благодарность Ангелине Эдуардовне и ассистенту Снежане за удаление моих сложных зубов мудрости! Несколько лет оттягивала этот момент, но оказалось, что зря - в ловких руках профессионалов все прошло быстро и максимально комфортно. Очень ценно, что мне всё объясняли, отвечали на интересующие вопросы и поддерживали, поэтому почти не заметила, как все три зуба оказались удалены. Огромное спасибо Ангелине Эдуардовне и всему персоналу Наудент за то, что вы есть!
Благодарим Вас за положительный отзыв о работе нашей клиники и нашем стоматологе-хирурге Ковалевой АНгелине Эдуардовне. Желаем Вам здоровья и будем рады видеть Вас в нашей стоматологии. С уважением, Екатерина, старший администратор научной стоматологии "Наудент"
31 июля 2024 г.
1 2 3 4 5
Очень нравится ваша клиника! Отзывчивый и добрый персонал. Прием всегда во время, не заставляют ждать, это очень важно для меня! Передаю большой привет вашему врачу Ангелине Эдуардовне.
6 июля 2024 г.
1 2 3 4 5
Нашла клинику по отзывам недалеко от дома. Очень приветливые врачи и администрация. Уютная, небольшая зона ожидания. У Ковалевой А.Э. золотые руки. Удалили мне зуб мудрости за 15 минут, без проблем. Вообще ничего не почувствовала. Прошла неделя. Уже ничего не болит. Очень рекомендую эту клинику.
Благодарим Вас за положительный отзыв о работе нашей клиники и нашем стоматологе-хирурге Ковалевой Ангелине Эдуардовне. Желаем Вам здоровья и будем рады видеть Вас в нашей стоматологии. С уважением, Ольга, старший администратор научной стоматологии "Наудент" (ДентаСпа)
5 июня 2024 г.
1 2 3 4 5
Отличная клиника возле дома. Хирург Ангелина Эдуардовна профессионал своего дела. Внимательная, отзывчивая, всё расскажет покажет, даже не нужно просить. Всегда на связи. Удаление 2х восьмерок прошло как по маслу, на очереди 2я пара. У Александра Анатольевича Барсукова делала чистку и лечила кариес. Врач очень внимательный и трепетный к своему делу. Никаких лишних услуг. Клинику однозначно рекомендую. Буду ходить только сюда
Благодарим Вас за положительный отзыв о работе нашей клиники и нашей команде врачей. Желаем Вам здоровья и будем рады видеть Вас в нашей стоматологии. С уважением, Ольга, старший администратор научной стоматологии "Наудент"
18 мая 2024 г.
1 2 3 4 5
Хотелось бы выразить благодарность клинике ДентаСпа и врачам Ковалевой Ангелине Эдуардовне и Лучникову Роману Владимировичу. Устанавливали в клинике 2 импланта, перед этим удаляла 2 зуба. Все прошло отлично, безболезненно и быстро зажило. Имплантами тоже пока довольна. Буду обращаться в данную клинику при необходимости и могу смело рекомендовать тем, кто ищет хороших специалистов.
Благодарим Вас за положительный отзыв о работе нашей клиники и нашей команде врачей. Желаем Вам здоровья и будем рады видеть Вас в нашей стоматологии. С уважением, Ольга, старший администратор научной стоматологии "Наудент"
25 апреля 2024 г.
1 2 3 4 5
Хирург Ковалева внимательно ознакомилась со всеми снимками. Понравился ее обстоятельный подход, и отсутствие рекомендаций лишних манипуляций. Удаление расколотого зуба и одновременная имплантация прошли комфортно. Доктор с ассистентом Заремой работали слаженно. Зарема отзывчивый и ласковый человек, что создает особый уют и поддержку для таких тревожных и требовательных клиентов, как я.
Благодарим Вас за положительный отзыв о работе нашей клиники и нашем стоматологе-имплантологе Ковалевой Ангелине Эдуардовне. Желаем Вам здоровья и будем рады видеть Вас в нашей стоматологии. С уважением, Ольга, старший администратор научной стоматологии "Наудент"
    Помогите другим сделать правильный выбор — оставьте свой отзыв о докторе
    Написать отзыв

    Услуги стоматолога в других клиниках

    Хирургическая стоматология
    Удаление зубов от 1 150 ₽ до 25 000 ₽
    Удаление кисты и гранулемы зуба от 600 ₽ до 48 500 ₽
    Еще услуги