Стоматолог Галина Таисия Александровна — цены, отзывы, стаж — Принимает в Москве

Галина Таисия Александровна

Галина Таисия Александровна - фотография
стоматолог-терапевт
стоматолог-гигиенист
Стаж 34 года
Галина Таисия Александровна принимает в «Стоматологическая клиника АФИДЕНТ» в Москве. Стаж 34 года. Специализируется на терапии и гигиене полости рта, по которым клиника оказывает 19 услуг. Для уточнения дополнительной информации о специалисте или записи на прием можно позвонить по телефону
+7 (495)Показать телефон
.

Где принимает:

Опыт 34 года
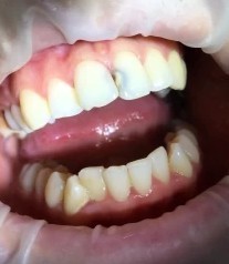
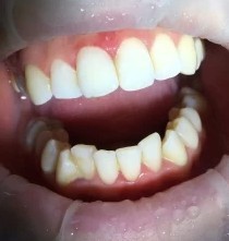
1 работа в портфолио

Галина Таисия Александровна: портфолио (1)

    Помогите другим сделать правильный выбор — оставьте свой отзыв о докторе
    Написать отзыв

    Услуги стоматолога в других клиниках

    Терапевтическая стоматология
    Лечение кариеса от 3 500 ₽ до 14 500 ₽
    Лечение пульпита от 5 000 ₽ до 35 000 ₽
    Еще услуги
    Профгигиена
    Чистка зубов Air-flow от 1 000 ₽ до 12 800 ₽
    Фторирование зубов от 50 ₽ до 7 500 ₽
    Еще услуги