Стоматолог Ковальчук Инна Ивановна — цены, отзывы, стаж — Принимает в Москве

Ковальчук Инна Ивановна

Ковальчук Инна Ивановна - фотография
стоматолог-гигиенист
Стаж 8 лет
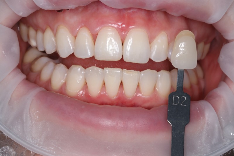
Ковальчук Инна Ивановна принимает в «Семейная стоматология УАНДЕНТ» в Москве. Стаж 8 лет. Специализируется на гигиене полости рта, по которой клиника оказывает 4 услуги. Имеет 6 работ до/после в портфолио. Квалификация специалиста подтверждена 6 лицензиями, сертификатами и наградами. Для уточнения дополнительной информации о специалисте или записи на прием можно позвонить по телефону
+7 (495)Показать телефон
. Также 32top представляет форму онлайн расписания, через которую можно записаться к специалисту на свободную дату и время.

Где принимает:

6 сертификатов
Опыт 8 лет
6 работ в портфолио

Ковальчук Инна Ивановна: портфолио (6)

    Помогите другим сделать правильный выбор — оставьте свой отзыв о докторе
    Написать отзыв

    Услуги стоматолога в других клиниках

    Профгигиена
    Чистка зубов Air-flow от 1 000 ₽ до 12 800 ₽
    Фторирование зубов от 50 ₽ до 7 500 ₽
    Еще услуги