Стоматолог Грибкова Марина Вячеславовна — цены, отзывы, стаж — Принимает в Москве

Грибкова Марина Вячеславовна

Грибкова Марина Вячеславовна - фотография
стоматолог-гигиенист
Стаж 7 лет
Грибкова Марина Вячеславовна принимает в «Семейная стоматология УАНДЕНТ» в Москве. Стаж 7 лет. Специализируется на гигиене полости рта, по которой клиника оказывает 2 услуги. Имеет 2 работы до/после в портфолио. Квалификация специалиста подтверждена 5 лицензиями, сертификатами и наградами. Для уточнения дополнительной информации о специалисте или записи на прием можно позвонить по телефону
+7 (495)Показать телефон
. Также 32top представляет форму онлайн расписания, через которую можно записаться к специалисту на свободную дату и время.

Где принимает:

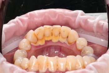
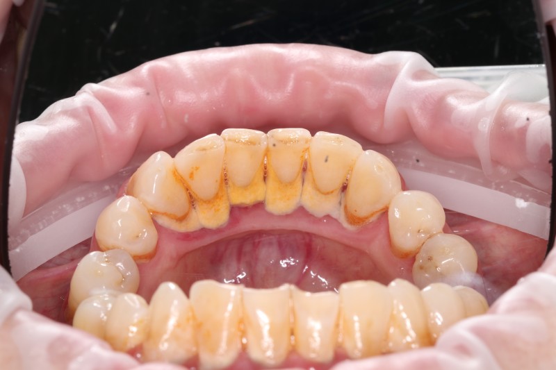
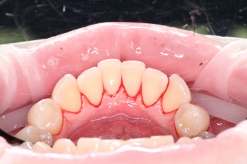
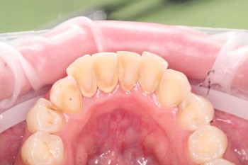
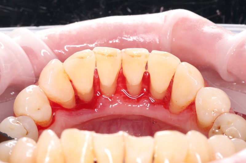
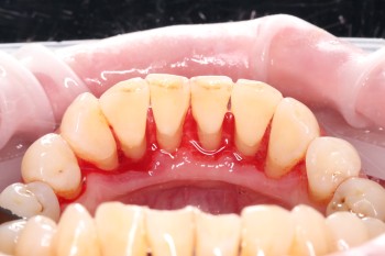
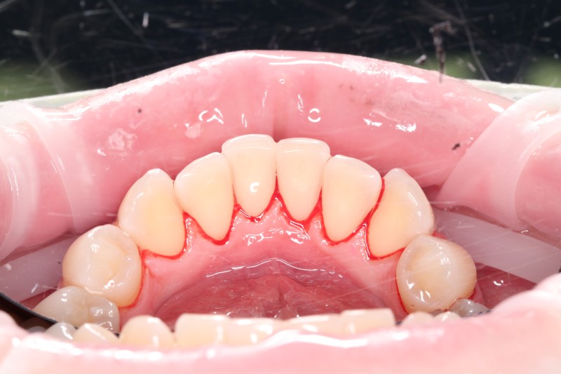
2 работы в портфолио
Опыт 7 лет
5 сертификатов

Грибкова Марина Вячеславовна: портфолио (2)

    Помогите другим сделать правильный выбор — оставьте свой отзыв о докторе
    Написать отзыв

    Услуги стоматолога в других клиниках

    Профгигиена
    Чистка зубов Air-flow от 1 000 ₽ до 12 800 ₽
    Фторирование зубов от 50 ₽ до 7 500 ₽
    Еще услуги