Стоматолог Гарибян Эдгар Артурович — цены, отзывы, стаж — Принимает в Москве

Гарибян Эдгар Артурович

Гарибян Эдгар Артурович - фотография
стоматолог-хирург
пародонтолог
Стаж 14 лет
Гарибян Эдгар Артурович принимает в «Клиника доктора Севака ЭСТЕТУС» в Москве. К.м.н., стаж 14 лет. Специализируется на хирургии и пародонтологии, по которым клиника оказывает 19 услуг. Имеет 5 работ до/после в портфолио. Квалификация специалиста подтверждена 7 лицензиями, сертификатами и наградами. Для уточнения дополнительной информации о специалисте или записи на прием можно позвонить по телефону
+7 (495)Показать телефон
. Также 32top представляет форму онлайн расписания, через которую можно записаться к специалисту на свободную дату и время.

Где принимает:

7 сертификатов
Опыт 14 лет
5 работ в портфолио
Кандидат мед.наук
    Помогите другим сделать правильный выбор — оставьте свой отзыв о докторе
    Написать отзыв

    Услуги врача (28)

    Хирургическая стоматология
    Удаление зубов
    от 7 300 ₽ до 36 200 ₽ за 1 зуб
    Удаление зуба мудрости
    от 22 600 ₽ до 36 200 ₽ за 1 зуб
    Сложное удаление зуба
    от 11 400 ₽ до 36 200 ₽ за 1 зуб
    Еще услуги
    Пародонтология
    Лечение пародонтита
    от 33 600 ₽
    Лечение пародонтоза
    Лечение аппаратом Вектор
    от 33 600 ₽ в области 1 зуба
    Еще услуги
    Все цены носят ознакомительный характер. Точную цену вы сможете получить только после консультации специалиста.
    Звоните по телефону:
    +7 (495)Показать телефон

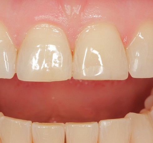
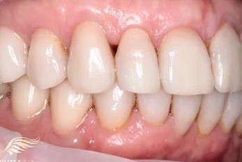
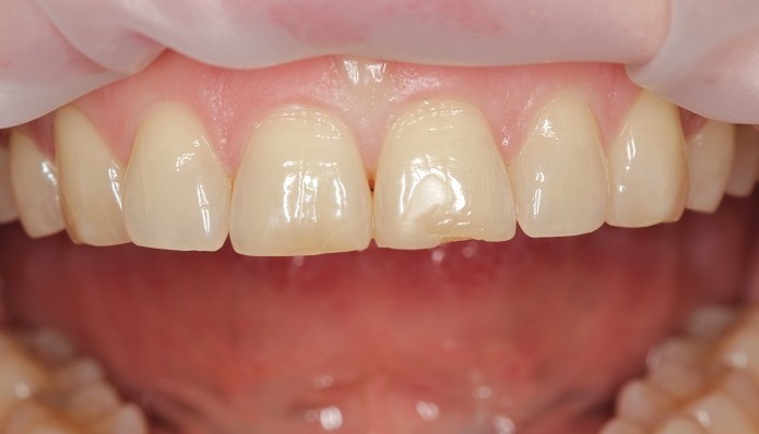
    Гарибян Эдгар Артурович: портфолио (5)