Стоматолог Труханова Ольга Евгеньевна — цены, отзывы, стаж — Принимает в Москве

Труханова Ольга Евгеньевна

Труханова Ольга Евгеньевна - фотография
стоматолог-терапевт
стоматолог-ортопед
стоматолог-хирург
стоматолог-имплантолог
Стаж 14 лет
Труханова Ольга Евгеньевна принимает в «Сеть клиник ДЕНТАЛ ВЕЙ» в Мытищах. Стаж 14 лет. Специализируется на терапии, ортопедии, хирургии и имплантологии, по которым клиника оказывает 51 услугу. Имеет 4 работы до/после в портфолио. Квалификация специалиста подтверждена 7 лицензиями, сертификатами и наградами. Для уточнения дополнительной информации о специалисте или записи на прием можно позвонить по телефону
+7 (495)Показать телефон
. Также 32top представляет форму онлайн расписания, через которую можно записаться к специалисту на свободную дату и время.

Где принимает:

Опыт 14 лет
7 сертификатов
4 работы в портфолио

О стоматологе

Доктор профессионал своего дела. Работает в клинике с ее основания. Специализируется в области хирургии и имплантации. Проводит костные и мягко-тканные пластики. Участник международных конференций. У нее тысячи благодарных пациентов, которые рекомендуют ее своим близким. Поэтому записываться к доктору лучше заранее, так как у нее очень плотная запись. Доктор постоянно совершенствуется в Европе и других странах.

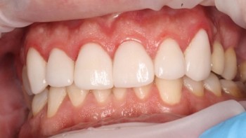
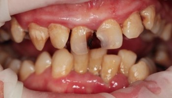
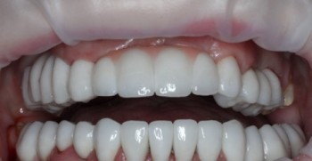
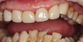
Труханова Ольга Евгеньевна: портфолио (4)

    Помогите другим сделать правильный выбор — оставьте свой отзыв о докторе
    Написать отзыв

    Услуги стоматолога в других клиниках

    Диагностика
    Консультация стоматолога-ортопеда от 1 ₽ до 5 000 ₽
    Консультация челюстно-лицевого хирурга от 1 ₽ до 3 500 ₽
    Еще услуги
    Терапевтическая стоматология
    Лечение кариеса от 3 500 ₽ до 14 500 ₽
    Лечение пульпита от 5 000 ₽ до 35 000 ₽
    Еще услуги
    Хирургическая стоматология
    Удаление зубов от 1 150 ₽ до 25 000 ₽
    Удаление кисты и гранулемы зуба от 600 ₽ до 48 500 ₽
    Еще услуги
    Протезирование зубов
    Установка коронки на зуб от 4 500 ₽ до 120 000 ₽
    Виды протезов
    Еще услуги