Стоматолог Холохон Анастасия Игоревна — цены, отзывы, стаж — Принимает в Москве

Холохон Анастасия Игоревна

Холохон Анастасия Игоревна - фотография
детский стоматолог
Стаж 3 года
Холохон Анастасия Игоревна принимает в «Клиника эстетической стоматологии ТОПСМАЙЛ» в Москве. Стаж 3 года. Специализируется на детской стоматологии, по которой клиника оказывает 12 услуг. Имеет 6 работ до/после в портфолио. Квалификация специалиста подтверждена 5 лицензиями, сертификатами и наградами. Для уточнения дополнительной информации о специалисте или записи на прием можно позвонить по телефону
+7 (495)Показать телефон
.

Где принимает:

Опыт 3 года
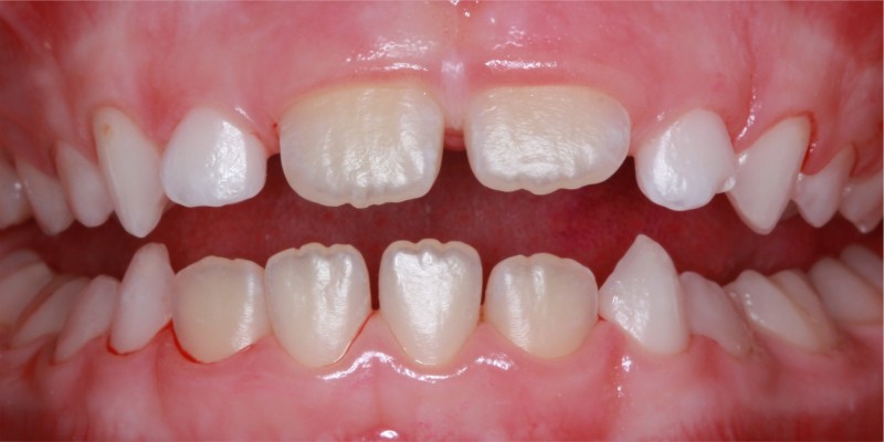
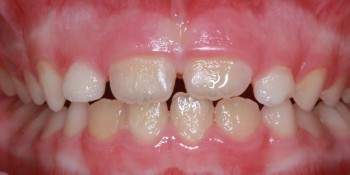
6 работ в портфолио
5 сертификатов

Холохон Анастасия Игоревна: портфолио (6)

Отзывы о враче Холохон Анастасия Игоревна

Почему нашим отзывам можно доверять?
14 января 2026 г.
1 2 3 4 5
Мы ходим к детскому доктору Холохон Анастасии Игоревне. Очень чуткий и профессиональный подход к детям. Нам все нравится
Спасибо за доверие!
    Помогите другим сделать правильный выбор — оставьте свой отзыв о докторе
    Написать отзыв

    Услуги стоматолога в других клиниках

    Детская стоматология
    Лечение молочных зубов от 500 ₽ до 10 000 ₽
    Удаление зубов у детей от 500 ₽ до 8 000 ₽
    Еще услуги