Стоматолог Беспалов Роман Дмитриевич — цены, отзывы, стаж — Принимает в Москве

Беспалов Роман Дмитриевич

Беспалов Роман Дмитриевич - фотография

3.0
Рейтинг: 3.0
Отзывов: 4
Положительных: 3
Отрицательных: 1
Последний : 287 дн. назад
4 отзыва
стоматолог-хирург
стоматолог-имплантолог
челюстно-лицевой хирург
Стаж 33 года
Беспалов Роман Дмитриевич принимает в «СТОМАТОЛОГИЯ ГЛОТОВА» в Москве. К.м.н., стаж 33 года. Специализируется на хирургии, имплантологии и челюстно-лицевой хирургии, по которым клиника оказывает 15 услуг. Имеет 51 работу до/после в портфолио. Квалификация специалиста подтверждена 18 лицензиями, сертификатами и наградами. Для уточнения дополнительной информации о специалисте или записи на прием можно позвонить по телефону
+7 (495)Показать телефон
. Занимает 8 место в рейтинге челюстно-лицевых хирургов 32top в вашем городе. Также 32top представляет форму онлайн расписания, через которую можно записаться к специалисту на свободную дату и время.

Где принимает:

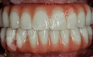
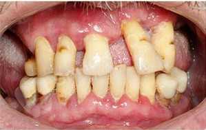
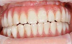
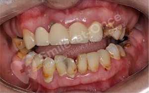
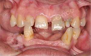
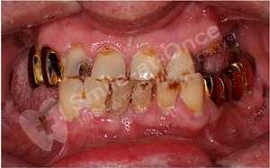
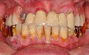
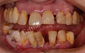
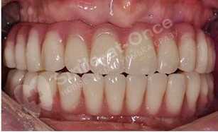
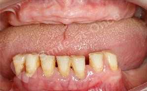
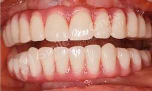
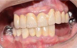
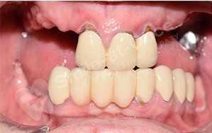
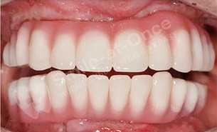
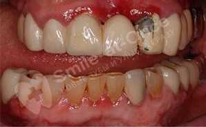
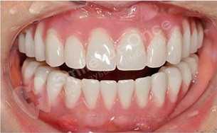
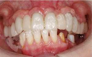
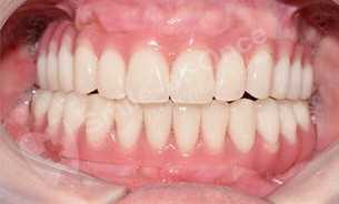
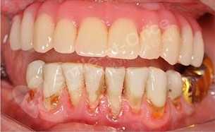
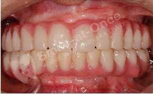
51 работа в портфолио
18 сертификатов
Кандидат мед.наук
Опыт 33 года

Отзывы о враче Беспалов Роман Дмитриевич

Рейтинг: 3
Отзывов: 4
Положительных: 3
Отрицательных: 1
Последний: 287 дн. назад
3.0
Пациенты отмечают:
Профессионализм
Вежливость
Подробные объяснения
Тщательный осмотр
Аккуратность
Лечение помогло
Почему нашим отзывам можно доверять?
21 июля 2025 г.
1 2 3 4 5
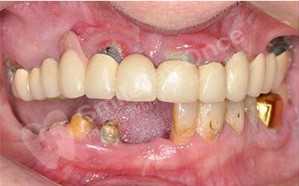
Клиника замечательная, начиная с администраторов и заканчивая главным, врачами. За один раз проведено удаление Зубов нижней челюсти, поставлены импланты 6 шт, и через день адаптационный протез. Огромное спасибо доктрорам: Беспалову Р.Д., Кример Д.А, анестезиологу Силуановой Елене.
13 октября 2022 г.
1 2 3 4 5
Никакой боли я не испытывала, чувствую себя отлично.
Ещё осенью, я была на консультации у имплантолога. Думала, что мне поставят обычные импланты и на них коронки. Но оказалось, что в моём случае, это не подходит. Мне нужно было ставить скуловые импланты всё на 4. Как оказалось, не такая уж и страшная это операция ,бывает намного страшнее. Зря я читала в интернете различные отзывы, о том как это проходит. Никакой боли я не испытывала, с таким хорошим обезболивающим. Была слегка припухшая щека. Прошло уже несколько месяцев, чувствую себя отлично, Роман Дмитриевич большая вам благодарность и мои рекомендации!
12 октября 2022 г.
1 2 3 4 5
Мне нужно было ставить скуловые импланты всё на 4, прошло уже несколько месяцев, чувствую себя отлично.
Ещё осенью, я была на консультации у имплантолога. Думала, что мне поставят обычные импланты и на них коронки. Но оказалось, что в моём случае, это не подходит. Мне нужно было ставить скуловые импланты всё на 4. Как оказалось, не такая уж и страшная это операция ,бывает намного страшнее. Зря я читала в интернете различные отзывы, о том как это проходит. Никакой боли я не испытывала, с таким хорошим обезболивающим. Была слегка припухшая щека. Прошло уже несколько месяцев, чувствую себя отлично, Роман Дмитриевич большая вам благодарность и мои рекомендации!
21 июня 2018 г.
1 2 3 4 5
После второго посещения клиники до сих пор пребываю в шокирующем недоумении. При первом приёме всё понравилось, иначе бы второй раз не пришла. При первом посещении мне сделали КТ, затем Беспалов Р.Д. провёл детальный осмотр моих зубов, пригласил для консультации Чорного С.В., Чорный С.В. осмотрел мои зубы, особо внимательно осмотрел зуб на который предполагалось поставить коронку, дал согласие на установку коронки, после чего мне составили поэтапный план лечения. Но когда я пришла на приём к Чорному С. В., чтобы установить коронку согласно плану лечения, начались странности. Чорный С.В. категорично заявил, что устанавливать коронку нет причин, затем начал весьма грубо "осматривать" все мои зубы, явно пытаясь их расшатать. На моё возмущение, недоумённо ответил: "Не мешайте, я делаю осмотр. Для меня с вашими зубами работы нет, но я хочу вам написать план лечения, указав какие зубы надо удалить, а на их место установить импланты". Затем пригласил Беспалова Р.Д., который зайдя в кабинет, на каждое слово Чорного С.В., стал согласно кивать. И теперь выходило, что мне требуется отнюдь не 1 коронка и 2 импланта, а 12 имплантов: по одному через зуб. Видя моё недоумение, Чорный С.В. сказал: "Вы пока выйдите, мы цены согласуем, после чего вас проинформируем". И как мне подобное понимать? Это, что развод на импланты? Или эти два "врача": Чорный С.В. и Беспалов Р.Д. по жизни неадекватны?
Екатерина
16 августа 2018 г.
Уже год хожу к Чорному Станиславу Владимировичу.Он очень внимательный и вежливый человек
Ольга Леонидовна! Мы очень сожалеем о вашем негативном опыте с нашими врачами. Данные врачи более в клинике не работают. С уважением, команда Smile-at-Once.
    Помогите другим сделать правильный выбор — оставьте свой отзыв о докторе
    Написать отзыв

    Услуги врача (6)

    Хирургическая стоматология
    Удаление зубов
    от 4 000 ₽ за 1 зуб
    Удаление зуба мудрости
    от 17 010 ₽ за 1 зуб
    Удаление кисты и гранулемы зуба
    Еще услуги
    Все цены носят ознакомительный характер. Точную цену вы сможете получить только после консультации специалиста.
    Звоните по телефону:
    +7 (495)Показать телефон

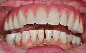
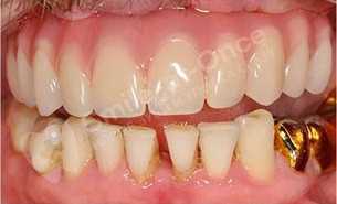
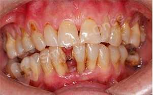
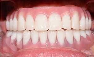
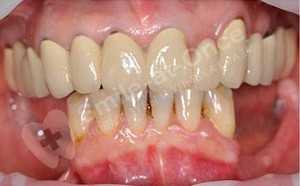
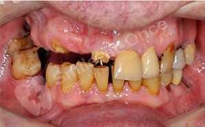
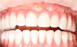
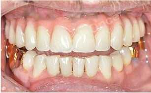
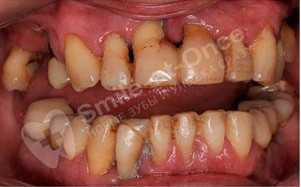
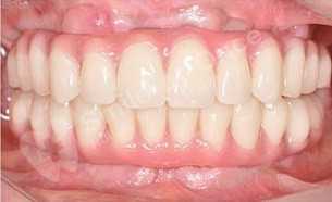
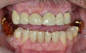
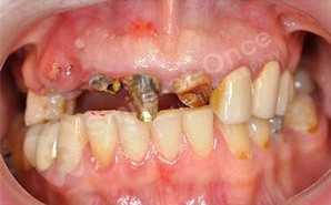
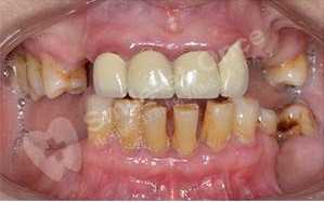
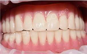
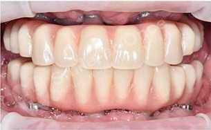
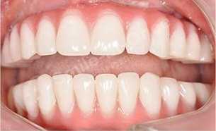
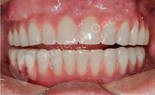
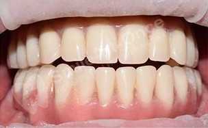
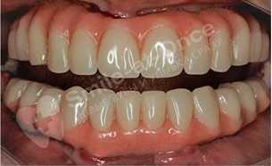
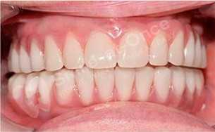
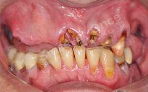
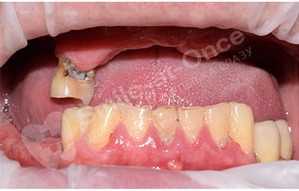
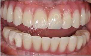
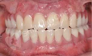
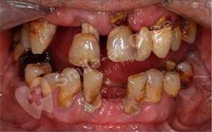
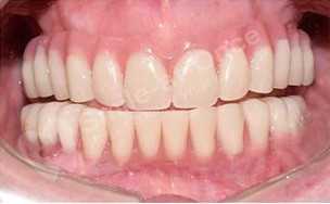
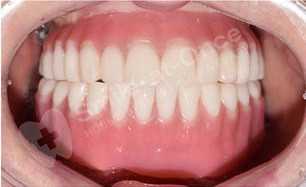
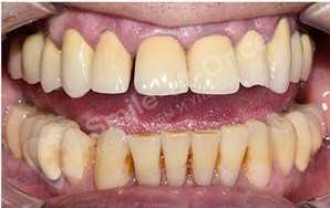
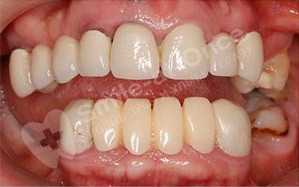
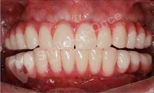
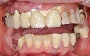
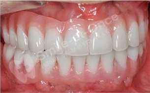
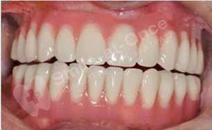
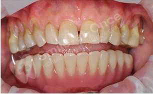
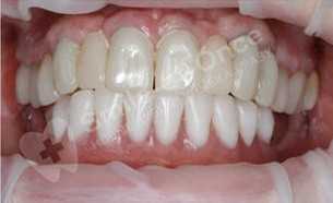
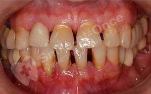
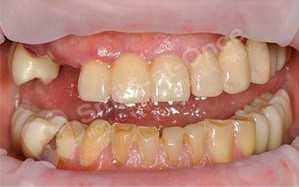
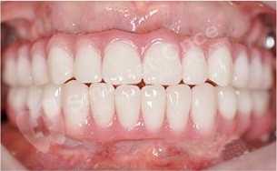
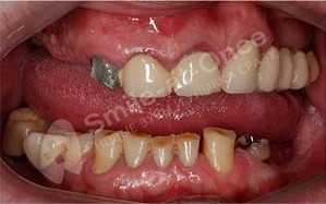
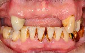
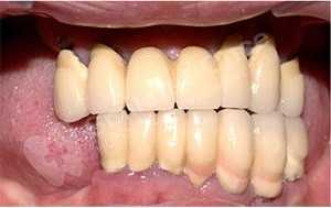
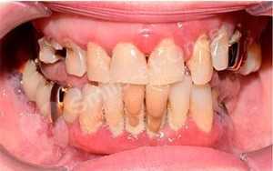
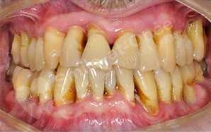
    Беспалов Роман Дмитриевич: портфолио (51)

    Акции и скидки клиники СТОМАТОЛОГИЯ ГЛОТОВА (1)