Стоматолог Черников Сергей Михайлович — цены, отзывы, стаж — Принимает в Москве

Черников Сергей Михайлович

Черников Сергей Михайлович - фотография

5.0
Рейтинг: 5.0
Отзывов: 8
Положительных: 7
Отрицательных: 1
Последний : 148 дн. назад
8 отзывов
стоматолог-ортопед
Стаж 24 года
Черников Сергей Михайлович принимает в «Клиника КРАФТВЭЙ» в Москве. Стаж 24 года. Специализируется на ортопедии, по которой клиника оказывает 19 услуг. Имеет 2 работы до/после в портфолио. Для уточнения дополнительной информации о специалисте или записи на прием можно позвонить по телефону
+7 (495)Показать телефон
. Также 32top представляет форму онлайн расписания, через которую можно записаться к специалисту на свободную дату и время.

Где принимает:

Опыт 24 года
2 работы в портфолио

Отзывы о враче Черников Сергей Михайлович

Рейтинг: 5
Отзывов: 8
Положительных: 7
Отрицательных: 1
Последний: 148 дн. назад
5.0
Пациенты отмечают:
Профессионализм
Вежливость
Подробные объяснения
Тщательный осмотр
Аккуратность
Лечение помогло
Почему нашим отзывам можно доверять?
5 декабря 2025 г.
1 2 3 4 5
С клиникой Крафтвэй знаком давно, врач Черников Сергей Михайлович очень качественно выполняет свою работу, один из немногих врачей у которого моё лечение всегда проходило без побочных эффектов.
Благодарим Вас за теплый отзыв в адрес нашего специалиста и клиники! Высокая оценка работы наших специалистов - это наш стимул к развитию! Мы всегда рады видеть Вас снова в нашей клинике. С уважением, команда клиники Крафтвэй
2 декабря 2025 г.
1 2 3 4 5
Привет! Благодарю, Черникова Сергея Михайловича - ортопеда Клиники Крафтвэй за профессиональную работу. Ранее работой в другой клинике осталось не довольна. Сергей Михайлович установил коронки качественно и комфортно. Всем Рекомендую врачей этой Клинику!!!
Большое спасибо за тёплый отзыв и за то, что поделились своим опытом. Нам очень приятно, что работа нашего ортопеда — Сергей Михайлович Черников — оправдала Ваши ожидания: качественно, комфортно и с заботой о результате. Особая благодарность за рекомендацию нашей клиники — это лучшая оценка нашей работы. С уважением, Команда клиники Крафтвэй
1 декабря 2025 г.
1 2 3 4 5
Этой осенью был на консультации у Сергея Михайловича ,который предложил несколько вариантов лечения , протезирования моего непростого случая. Доходчиво объяснил курс лечения и возможные риски. Я очень доволен и благодарен... Побольше бы таких человечных врачей
Благодарим Вас за такой ценный отзыв! Нам очень приятно, что консультация у Сергея Михайловича Черникова оставила у Вас столь положительные впечатления. Мы гордимся тем, что он смог предложить Вам несколько вариантов решения непростого случая, доходчиво объяснить курс лечения и возможные риски, проявив при этом свой профессионализм и человечность. Для нас очень важно, чтобы каждый пациент чувствовал себя максимально информированным и уверенным в выборе своего пути к здоровью. Рады, что Вы остались довольны и благодарны. Сергей Михайлович — действительно замечательный врач, и Ваши слова — лучшая похвала его работе. Будем рады видеть Вас снова в нашей клинике! С уважением, Команда клиники Крафтвэй
14 ноября 2025 г.
1 2 3 4 5
Являюсь пациентом клиник Крафтвэй еще с 2003 года и очень рада за клинику, она так расширилась и переехала в новое место, очень красиво там стало, много направлений, гинекология, эндокринология, диетология, много нового современного оборудования! Все специалисты высокого уровня! Лечилась у доктора Панфиловой Татьяны Николаевны, у ортодонта Боровкой Эллы Викторовны, у хирурга Мазалова Ильи Витальевича, у ортопеда Черникова Сергея Михайловича! Гинеколог Даниелян Яна Сергеевна, маникюр и педикюр доверяю только Липской Надежде. Могу перечислять много много и рекомендую всех специалистов! Они все профессионалы своего дела и очень преданы своей профессии! Желаю процветания своей любимой клинике и всем врачам!
Ваш отзыв – настоящая гордость и вдохновение для всей клиники KRAFTWAY! Ваша многолетняя лояльность с 2003 года и искренняя радость за наше развитие – бесценны для нас. Благодарим, что вы отметили целую плеяду наших специалистов: Татьяну Николаевну Панфилову, Эллу Викторовну Боровкову, Илью Витальевича Мазалова, Сергея Михайловича Черникова, Яну Сергеевну Даниелян и мастера Надежду Липскую. Мы гордимся их профессионализмом и преданностью делу, которые вы так высоко цените. С уважением, команда клиники Крафтвэй
23 октября 2025 г.
1 2 3 4 5
Попал в клинику по рекомендации друзей. При посещении был приятно удивлен внутренней обстановкой и атмосферой. Встретили, предложили чай, кофе)). Лечение проходил у прекрасного врача Панфиловой Татьяны Николаевны. На первом приеме был проведен осмотр, предложен план оптимального лечения. Все процедуры выполнялись аккуратно и безболезненно, при чем доктор предварительно говорил что она делает и для чего. После я прошел лечение у врача-хирурга Мазалова Ильи Витальевича и врача-ортопеда Черникова Сергея Михайловича. Данные врачи - мастера своего дела. Все лечение у них проходило комфортно, согласовано, так как врачи постоянно взаимодействовали между собой. Прайс клиники полностью оправдывает качество проведенного лечения. Теперь в данной клинике наблюдается вся моя семья. Всем рекомендую данную клинику и врачей.
Мы очень ценим ваш отзыв и искренне рады, что вы остались довольны посещением нашей клиники! Спасибо за высокую оценку работы наших специалистов: Панфиловой Татьяны Николаевны, Мазалова Ильи Витальевича и Черникова Сергея Михайловича. Мы всегда стремимся создать комфортную и доброжелательную атмосферу для наших пациентов и обеспечить максимально качественное лечение. Нам особенно приятно, что вы отметили слаженную работу наших врачей и то, что теперь вся ваша семья наблюдается в нашей клинике. Ваше доверие - лучшая награда для нас! Будем рады видеть вас и ваших близких снова! С уважением, команда клиники Крафтвэй
25 сентября 2025 г.
1 2 3 4 5
Больше 20 лет хожу в клинику Крафтвэй на Краснопресненской, мой лечащий терапевт Берзова Наталья Юрьевна. Не могу похвастаться крепкими зубами, но Наталья Юрьевна спасла не один из них, максимально спасая от удаления. Конечно, хожу регулярно, в том числе на профилактические чистки, которые проходят без дискомфорта. А когда у меня сломался передний зуб, врач отвела меня к хирургу Мазалову Илье Витальевичу и ортодонту Черникову Сергею Михайловичу. Были проведены одномоментное удаление, имплантация и установка коронки. И через 5-6 ч абсолютно комфортного лечения я ушла из клиники с новым зубом! Замечательные врачи, грамотные администраторы и очень атмосферная клиника, куда всегда идешь с хорошим настроением)
Благодарим вас за такой подробный и положительный отзыв! Мы очень рады, что вы оценили профессионализм Натальи Юрьевны Берзовой, а также слаженную работу Ильи Витальевича Мазалова и Сергея Михайловича Черникова! Для нас очень важно, чтобы пациенты чувствовали себя комфортно и уверенно на каждом этапе лечения. Спасибо за ваше многолетнее доверие и теплые слова об атмосфере клиники! Будем рады видеть вас снова! С уважением, команда клиники Крафтвэй
4 марта 2018 г.
1 2 3 4 5
Очень достойная клиника. И обстановка и персонал все идеально. Всегда самые последние новинки. Специалисты - профессионалы: Ортодонт Боровкова Элла Викторовна, Стоматолог Сдобнова Елена Викторовна, Хирург Мазалов Илья Витальевич, Ортопед Черников Сергей Михайлович. Спасибо вам за труд и любовь к своему делу.
13 декабря 2013 г.
1 2 3 4 5
Оказалась в стоматологической клинике Kraftway (Крафтвэй) благодаря страховке, понравилось, затем продолжила лечиться уже за свой счет у терапевта Сдобновой Е.В. Очень отзывчивая женщина, хорошо пломбирует зубы. Но!! Я лечусь в этой клинике уже на протяжении 10 (ДЕСЯТИ) лет! За это время другие стоматологические клиники не посещала, полностью доверяла своему лечащему врачу. Ходила (по сегодняшний день 12.12.2013 г.) на прием к своему лечащему терапевту регулярно (в качестве профилактики, контроля и лечения если нужно) один раз в 3-6 месяца, как положено. В результате - зубы запломбированы до такой степени, что сегодня мне сделали снимок, после чего обнаружили воспаление двух зубов и отказали в лечении и их протезировании!!! Отправили домой, сказав, что пусть стоят сколько продержатся, потом все равно рано или поздно придется удалять!!! При этом ортопед Черников С.М. озвучил, что если зубы - не живые, запломбированы, и есть определенные показания – то нужно протезировать в течение года, чтобы в дальнейшем не было угрозы сколов, трещин и дальнейшего удаления. У меня вопрос, почему об этом я узнаю после 10 лет лечения и регулярного посещения врача-стоматолога?? Почему нельзя было вовремя предотвратить данную ситуацию, предпринять соответствующие меры и сохранить зубы?? Почему терапевт Сдобнова не направила меня на консультацию и лечение к ортопеду вовремя?? Почему зубы залечены до такой степени, что не подлежат протезированию?? В итоге, мне сегодня не только отказали в лечении, но и не назначили дальнейшего лечения!! Помимо этого, если лечащий врач в отпуске, то другого может не оказаться на месте или может найтись веский предлог, чтобы отказать в помощи. Взаимодействия между врачами никакого, каждый делает только свою работу и, в результате никто не за что ответственности не несет! Персонал очень важный, причем весь, включая администраторов на рецепшн. Если возникает какая-то проблема, то хороший и отзывчивый врач (например, Сдобнова) превращается в кардинально противоположное и на помощь можно даже не надеяться. Документы (снимки, выписки из карты, любые), свидетельствующие о ходе лечения в клинике – выдавать на руки отказываются. Это очень вкратце, но могу во всех подробностях и больше, все-таки 10 лет – это приличный срок, чтобы объективно на своей шкуре оценить работу людей, профессия которых – «врач».
    Помогите другим сделать правильный выбор — оставьте свой отзыв о докторе
    Написать отзыв

    Услуги врача (21)

    Эстетическая стоматология
    Отбеливание зубов
    от 29 000 ₽ до 49 900 ₽ за обе челюсти
    Наращивание зубов
    от 30 900 ₽ до 36 900 ₽ за 1 зуб
    Установка виниров
    от 75 000 ₽ за 1 зуб
    Еще услуги
    Протезирование зубов
    Установка коронки на зуб
    от 75 000 ₽ до 140 000 ₽ за 1 зуб
    Установка бюгельного протеза
    от 100 000 ₽ до 170 000 ₽ за 1 челюсть
    Установка мостовидного протеза
    Еще услуги
    Все цены носят ознакомительный характер. Точную цену вы сможете получить только после консультации специалиста.
    Звоните по телефону:
    +7 (495)Показать телефон

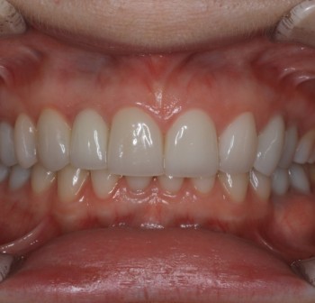
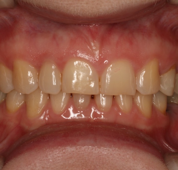
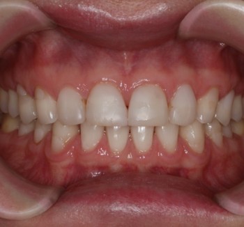
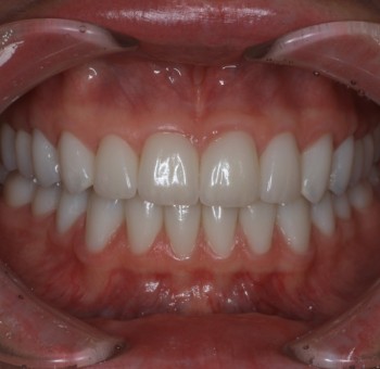
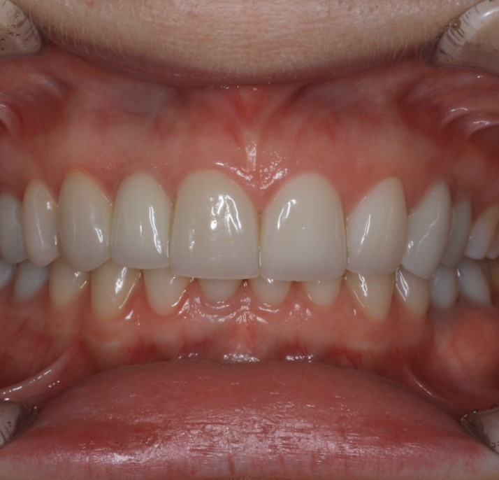
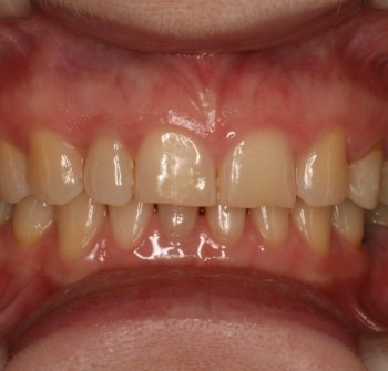
    Черников Сергей Михайлович: портфолио (2)