Оганесян Диана Феликсовна
Стаж
9 лет
Оганесян Диана Феликсовна принимает в «Стоматологическая клиника ЛА ПЕРЕГРИНА» в Москве. Стаж 9 лет. Специализируется на ортодонтии, по которой клиника оказывает 9 услуг. Имеет 2 работы до/после в портфолио. Квалификация специалиста подтверждена 24 лицензиями, сертификатами и наградами. Для уточнения дополнительной информации о специалисте или записи на прием можно позвонить по телефону
+7 (495)Показать телефон
. Также 32top представляет форму онлайн расписания, через которую можно записаться к специалисту на свободную дату и время.
Где принимает:
-
Стоматологическая клиника ЛА ПЕРЕГРИНА м. Ботанический сад Берёзовая аллея, д. 17, корп. 2Цена приема: от 2400 ₽Клиника перезвонит в течение 10 минут
-
Клиника перезвонит в течение 10 минут
-
Сеть ортодонтических клиник АЙОРТО (IORTHO) м. Сретенский бульвар пер. Луков, д. 10Цена приема: от 1000 ₽Клиника перезвонит в течение 10 минут
-
СТОМАТОЛОГИЧЕСКАЯ КЛИНИКА ДОКТОРА РАЗУМЕНКО м. Преображенская Площадь ул. Краснобогатырская, д. 44, стр. 1Цена приема: от 850 ₽
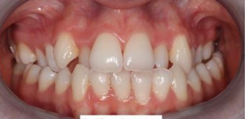
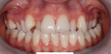
2 работы в портфолио
Опыт 9 лет
24 сертификата
Помогите другим сделать правильный выбор — оставьте свой отзыв о докторе
Услуги врача (2)
Ортодонтия
Ортодонтия в Москве
Установка брекетов
от 39 000 ₽
до 90 000 ₽
за 1 челюсть
Установка элайнеров
от 175 000 ₽
за обе челюсти
Все цены носят ознакомительный характер.
Точную цену вы сможете получить только после консультации специалиста.
Звоните по телефону:
Нашли неточность?
Сообщите нам об ошибке