Куров Игорь Анатольевич
Стаж
22 года
Куров Игорь Анатольевич принимает в «Авторская стоматология ДОКТОР КУРОВ» в Москве. Стаж 22 года. Специализируется на ортопедии, хирургии и имплантологии, по которым клиника оказывает 17 услуг. Квалификация специалиста подтверждена 4 лицензиями, сертификатами и наградами. Для уточнения дополнительной информации о специалисте или записи на прием можно позвонить по телефону
+7 (980)Показать телефон
.
Где принимает:
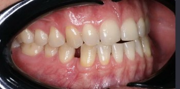
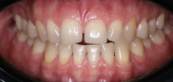
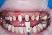
1 работа в портфолио
4 сертификата
Опыт 22 года
Отзывы о враче Куров Игорь Анатольевич
Каждый отзыв проходит тщательную проверку Если у нас есть сомнения в достоверности, мы проводим дополнительную проверку: связываемся с автором отзыва и запрашиваем документы, подтверждающие факт посещения клиники.
30% отзывов не проходят модерацию Мы не размещаем и не допускаем к публикации заказные отзывы.
Собираем отзывы после приёма Наш колл-центр получает отзывы у пациентов, записавшихся на приём через 32top.