Стоматолог Мусаева Айгюн Агиловна — цены, отзывы, стаж — Принимает в Москве

Мусаева Айгюн Агиловна

Мусаева Айгюн Агиловна - фотография
стоматолог-ортодонт
Стаж 8 лет
Мусаева Айгюн Агиловна принимает в «Медицинский центр НОВОМЕД» в Красногорске. Стаж 8 лет. Специализируется на ортодонтии, по которой клиника оказывает 14 услуг. Для уточнения дополнительной информации о специалисте или записи на прием можно позвонить по телефону
+7 (495)Показать телефон
.

Где принимает:

Опыт 8 лет
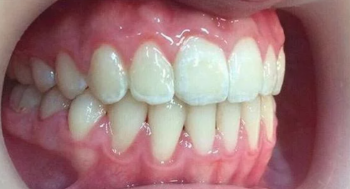
1 работа в портфолио

Мусаева Айгюн Агиловна: портфолио (1)

    Помогите другим сделать правильный выбор — оставьте свой отзыв о докторе
    Написать отзыв

    Услуги стоматолога в других клиниках

    Ортодонтия
    Установка брекетов от 10 000 ₽ до 400 000 ₽
    Снятие брекетов от 530 ₽ до 42 000 ₽
    Еще услуги