Стоматолог Павлов Михаил Алексеевич — цены, отзывы, стаж — Принимает в Москве

Павлов Михаил Алексеевич

Павлов Михаил Алексеевич - фотография
стоматолог-ортопед
Стаж 30 лет
Павлов Михаил Алексеевич принимает в «Медицинский центр ИНТЕРДЕНТОС» в Королёве. Стаж 30 лет. Специализируется на ортопедии, по которой клиника оказывает 20 услуг. Имеет 4 работы до/после в портфолио. Квалификация специалиста подтверждена 2 лицензиями, сертификатами и наградами. Для уточнения дополнительной информации о специалисте или записи на прием можно позвонить по телефону
+7 (495)Показать телефон
.

Где принимает:

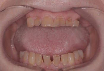
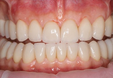
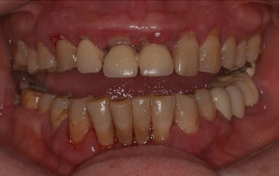
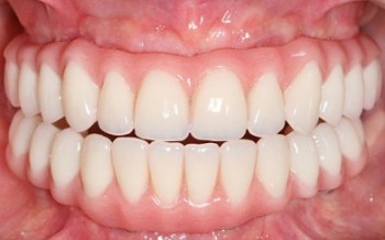
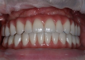
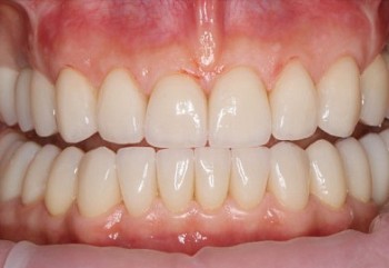
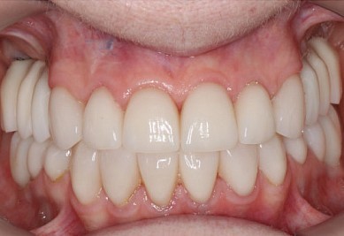
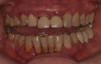
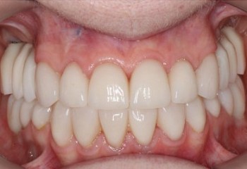
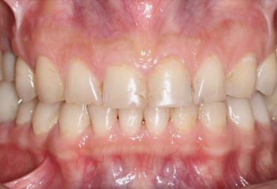
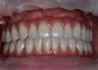
4 работы в портфолио
Опыт 30 лет
2 сертификата

Павлов Михаил Алексеевич: портфолио (4)

    Помогите другим сделать правильный выбор — оставьте свой отзыв о докторе
    Написать отзыв

    Услуги стоматолога в других клиниках

    Эстетическая стоматология
    Установка виниров от 29 000 ₽ до 82 600 ₽
    Протезирование зубов
    Установка коронки на зуб от 4 500 ₽ до 120 000 ₽
    Виды протезов
    Еще услуги