Стоматолог Зверева Анастасия Игоревна — цены, отзывы, стаж — Принимает в Москве

Зверева Анастасия Игоревна

Зверева Анастасия Игоревна - фотография

5.0
Рейтинг: 5.0
Отзывов: 3
Положительных: 3
Отрицательных: 0
Последний : 321 дн. назад
3 отзыва
стоматолог-ортодонт
детский стоматолог
Стаж 8 лет
Зверева Анастасия Игоревна принимает в «Клиника ортодонтии ОРТОЛАЙК» в Москве. Стаж 8 лет. Специализируется на ортодонтии и детской стоматологии, по которым клиника оказывает 12 услуг. Для уточнения дополнительной информации о специалисте или записи на прием можно позвонить по телефону
+7 (499)Показать телефон
.

Где принимает:

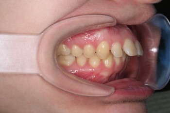
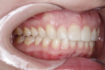
1 работа в портфолио
Опыт 8 лет

Зверева Анастасия Игоревна: портфолио (1)

Отзывы о враче Зверева Анастасия Игоревна

Рейтинг: 5
Отзывов: 3
Положительных: 3
Отрицательных: 0
Последний: 321 дн. назад
5.0
Почему нашим отзывам можно доверять?
20 июня 2025 г.
1 2 3 4 5
Прохожу лечение на брекет-системе у Анастасии, всем довольна! Очень комфортно проходит каждый прием. Доверилась Анастасии с первого визита и не пожалела.
5 марта 2025 г.
1 2 3 4 5
Прохожу сейчас лечение на брекетах у Анастасии Игоревны. Всем довольна, всегда комфортные приёмы, в процессе приёма предупреждает, чего ждать, как все будет проходить, отвечает на все вопросы, развивает все сомнения. Нет сомнений в профессионализме и компетентности врача. Жду великолепной улыбки, которая получится благодаря Анастасие Игоревне.
26 июля 2024 г.
1 2 3 4 5
Я посетила ортодонта Анастасию Игоревну, потому что у меня проблемы со скученностью зубов и глубоким прикусом. Она рассказала мне о разных типах брекетов, объяснила, как они работают и чем отличаются, а также сколько они стоят. Интересно, что она спросила про мой образ жизни — я даже не думала, что это важно для лечения. В итоге я выбрала металлические брекеты. Установку сделали на днях, теперь привыкаю к ним. Мне очень понравилась клиника и врач, оставила приятные впечатления!
    Помогите другим сделать правильный выбор — оставьте свой отзыв о докторе
    Написать отзыв

    Услуги стоматолога в других клиниках

    Ортодонтия
    Установка брекетов от 10 000 ₽ до 400 000 ₽
    Снятие брекетов от 530 ₽ до 42 000 ₽
    Еще услуги
    Детская стоматология
    Лечение молочных зубов от 500 ₽ до 10 000 ₽
    Удаление зубов у детей от 500 ₽ до 8 000 ₽
    Еще услуги