Стоматолог Аверьянов Игорь Алексеевич — цены, отзывы, стаж — Принимает в Москве

Аверьянов Игорь Алексеевич

Аверьянов Игорь Алексеевич - фотография

4.7
Рейтинг: 4.7
Отзывов: 20
Положительных: 17
Отрицательных: 3
Последний : 1555 дн. назад
20 отзывов
стоматолог-хирург
стоматолог-имплантолог
Стаж 31 год
Аверьянов Игорь Алексеевич принимает в «Стоматологическая клиника АКТИВСТОМ» в Москве. Стаж 31 год. Специализируется на хирургии и имплантологии, по которым клиника оказывает 9 услуг. Квалификация специалиста подтверждена 9 лицензиями, сертификатами и наградами, а опыт 20 отзывами пациентов, из которых 17 положительные. Для уточнения дополнительной информации о специалисте или записи на прием можно позвонить по телефону
+7 (495)Показать телефон
.

Где принимает:

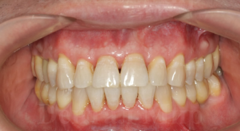
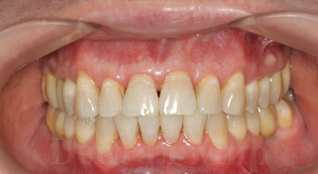
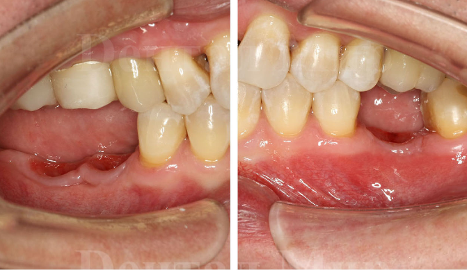
1 работа в портфолио
Опыт 31 год
9 сертификатов

Аверьянов Игорь Алексеевич: портфолио (1)

Отзывы о враче Аверьянов Игорь Алексеевич

Рейтинг: 4.665
Отзывов: 20
Положительных: 17
Отрицательных: 3
Последний: 1555 дн. назад
4.7
Почему нашим отзывам можно доверять?
4 февраля 2022 г.
1 2 3 4 5
Хотелось бы выразить огромную благодарность Аверьянову Игорю. Специально приезжала из другого города. Нужно было сделать сложное удаление зуба мудрости под наркозом. Все прошло хорошо, быстро заживает.
16 марта 2021 г.
1 2 3 4 5
Обратилась по страховке к данному врачу, хотела проконсультироваться по поводу удаления зубов мудрости. Он мне сказал, что всё у меня там ужасно стоит и нужно удалять через стационар, так просто удалить не получится. То есть мне нужно было лежать на операции, с полной анастезией, чтобы просто удалить зубы мудрости, хотя по снимку даже мне было видно, что ничего там ужасного нет. И еще насчитали, что это будет стоить тысяч 30 и лежать я в больнице буду неделю. В итоге пошла в обычную городскую стоматологию, мне сказали всё у тебя ок и удалили за 20 мин. один зуб и через некоторое время второй. Я даже после удаления работать еще и могла, так что не знаю даже, стоит ли обращаться к такому врачу. И еще общение со стороны врача проходило так себе, все как-то в спешке и неприятно.
21 ноября 2019 г.
1 2 3 4 5
Большое спасибо врачам клиники за профессионализм, очень внимательное отношение к пациентам, добросовестность. Доктор Аверьянов И.А. – ас своего дела. Огромное ему спасибо за работу со мной. Также огромное спасибо Воронкову С.С. У меня большие проблемы с лечением зубов из-за ярко выраженного рвотного рефлекса. Но эти специалисты справились очень тактично и профессионально с моей бедой. Импланты выросли как родные зубы. Отдельное спасибо девушкам на ресепшене за внимательность и доброе отношение.
4 сентября 2019 г.
1 2 3 4 5
Вот и наступил этот долгожданный момент. Теперь у меня красивые зубы. Я очень благодарна всем врачам клиники «Дентал Мир». Была проделана длительная и очень сложная работа по лечению и удалению зубов, наращиванию костной ткани, установки десяти имплантов, подготовлению красивых коронок. Я не буду подробно описывать все этапы протезирования моих зубов, но это поверьте, был колоссальный объем работы. От всего сердца хочу поблагодарить моего лечащего врача Вагапова Альберта Маратовича, с которым мы вместе прошли этот нелегкий путь. Альберт Маратович - настоящий профессионал , доктор с золотыми руками ,всегда знающий выход из любой сложной ситуации, внимательный и очень терпеливый, с хорошим чувством юмора. С лечащим врачом мне очень повезло. Альберт Маратович - Вы самый мой лучший врач - стоматолог! Огромное спасибо прекрасному врачу - терапевту Загуменникову Т.В. за лечение зубов , врачам хирургам Аверьянову И.А. и Нугманову Т.Р. за блестяще проведенные операции по имплантации, технику Денису за его работу. Отдельно хочу поблагодарить Алимова Фарруха Казимовича за чуткое отношение к проблемам пациентов. Желаю всему коллективу клиники профессиональных успехов и процветания.
23 июня 2019 г.
1 2 3 4 5
Хочу выразить огромную благодарность сотрудникам АКТИВСТОМ. И особую благодарность Федоровой Яне Валентиновне, за чуткость, профессионализм, индивидуальный подход. У меня с детства флюороз, эстетически это было некрасиво и улыбаться я совсем не могла. Яна Валентиновна вылечила от кариеса все зубы БЕЗБОЛЕЗНЕННО (меня удивило то, что я могла уснуть в кресле, человек, который панически боится стоматологов), поставила пломбы на передние зубы и теперь я улыбаюсь, красивой белоснежной улыбкой! Хочется ещё отметить Аверьянова Игоря Алексеевича, стоматолог хирург, удалял мне четыре восьмерки, все четко, безболезненно и без последствий. P.S. Особая благодарность администрации за подбор квалифицированных, добросовестных сотрудников!
12 января 2019 г.
1 2 3 4 5
Спасибо огромное профессионалам, докторам с большой буквы. Саиду Октаевичу и Игорю Алексеевичу за не легкий труд. Я сама врач, поэтому выражу еще раз огромную благодарность всему коллективу. Всегда очень доброжелательные ассистенты врачей (девочек было много, те которые принимали участие в моем лечении), всем спасибо. Спасибо четкой работе рецепции, Кате, Надежде за улыбки, доброжелательность, четкость в работе. Спасибо за чистоту и уют в клинике. Порекомендую ее всем знакомым и родственникам. Спасибо огромное и руководителю Алимову Ф.К. за его талант как организатора и главного врача. Врач- кардиолог. Зав. Отделением ГБУПВТ №9 Жигачева Е. А.
23 ноября 2018 г.
1 2 3 4 5
Я, Ольховская Татьяна Александровна, обратилась в вашу клинику, будучи уже хорошо знакомой с замечательным доктором и человеком Вагаповым Альбертом Маратовичем. Основная работа была связана с установкой имплантов. Работу начал высокопрофессиональный хирург, человек с юмором Аверьянов Игорь Алексеевич. Помимо установки имплантатов Игорь Алексеевич провел очень непростое удаление сложного зуба. Игорь Алексеевич, беспокоясь о моем здоровье даже звонил домой. Дальнейшую работу проводила терапевт Агабекян Анаит Севадовна. Это настолько мягкий, тонкий и душевный человек, что все встречи с ней приносили не только удовлетворение, но и радость. Да она к тому же просто красавица. И наконец, человек который проводил основную работу, Вагапов Альберт Маратович. Самое главное, что высококвалифицированный специалист. Вся работа заранее продумана, взвешена, не одного ненужного посещения. А сколько в нем душевной доброты и теплоты! При каждом посещении, перед началом работы, Альберт Маратович подробно объяснял, рассказывал и показывал все то, что предстояло делать. А какое чувство юмора! Такие люди, как он приносят пациентам не только хорошие зубы, но и тепло и доброту. Еще хочется сказать об общей благожелательной атмосфере в вашей клинике. Все тебе улыбаются, интересуются тобой, что кажется, они все нас знают и любят. Спасибо, что вы все такие! Оставайтесь всегда такими же, добрыми и внимательными!
20 июля 2018 г.
1 2 3 4 5
Благодарна и признательна всему коллективу «АктивСтом». 7 лет посещаю данную стоматологию. Очень приветливый коллектив, чистота. Красивый интерьер и дизайн. Особенно хочется выразить благодарность: Федоровой Яне Валентиновне и Аверьянову Игорю Алексеевичу. Поистине, чудеса творят их руки! С удовольствием порекомендую, при первой возможности, их друзьям и знакомым, отметив высокий профессионализм и мастерство. Спасибо!
30 мая 2018 г.
1 2 3 4 5
С детства с ужасом лечу и вырываю зубы, причем в разных клиниках. Пришла в клинику «АктивСтом» с жуткой болью и остатками зубов, которым требовалось и лечение и удаление. И, наконец, поняла, что можно лечить и удалять зубы совершенно безболезненно. Это лечение провела великолепный доктор Федорова Яна Валентиновна. Но то, что нужно было удалить – это было тяжело. Но только потрясающий хирург Аверьянов Игорь Алексеевич и анестезиолог Алексей Юрьевич помогли мне. Теперь я не боюсь лечить и удалять зубы. Спасибо моим любимым докторам клиники «АктивСтом».
16 мая 2018 г.
1 2 3 4 5
Я, Шумнов Михаил Ростиславович, впервые обратился в клинику «АктивСтом» более 6-ти лет назад. Со стоматологией у меня были большие проблемы с раннего детства. Очевидно, кроме др. причин, это было обосновано генетически (родители постоянно мучились с зубами). Обратившись в клинику я был принят Врачом (именно с большой буквы) Федоровой Яной Валентиновной, и был необычайно удивлен, что все проделанные процедуры не то, что не вызвали болей, но и неприятных ощущений. После диагностики, санации и рекомендаций мне было проведено хирургическое лечение хирургом Аверьяновым Игорем Алексеевичем. Операция заняла не более п.ч., и не вызвала какого-либо дискомфорта. Затем мне было произведено протезирование. В настоящий момент у меня нет никаких неприятных ощущений. Я живу полноценной жизнью.
    Помогите другим сделать правильный выбор — оставьте свой отзыв о докторе
    Написать отзыв

    Услуги стоматолога в других клиниках

    Хирургическая стоматология
    Удаление зубов от 1 150 ₽ до 25 000 ₽
    Удаление кисты и гранулемы зуба от 600 ₽ до 48 500 ₽
    Еще услуги