Стоматолог Рыбин Валерий Анатольевич — цены, отзывы, стаж — Принимает в Москве

Рыбин Валерий Анатольевич

Рыбин Валерий Анатольевич - фотография

5.0
Рейтинг: 5.0
Отзывов: 5
Положительных: 5
Отрицательных: 0
Последний : 160 дн. назад
5 отзывов
стоматолог-ортопед
стоматолог-ортодонт
Стаж 22 года
врач высшей категории
Рыбин Валерий Анатольевич принимает в «Сеть стоматологий КАРИЕСУ.НЕТ НА ШОКАЛЬСКОГО» в Москве. Врач высшей категории, стаж 22 года. Специализируется на ортопедии и ортодонтии, по которым клиника оказывает 28 услуг. Имеет 3 работы до/после в портфолио. Квалификация специалиста подтверждена 17 лицензиями, сертификатами и наградами. Также 32top представляет форму онлайн расписания, через которую можно записаться к специалисту на свободную дату и время.

Где принимает:

Опыт 22 года
Врач высшей категории
3 работы в портфолио
17 сертификатов

О стоматологе

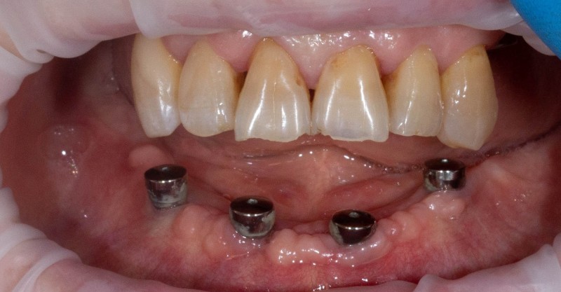
Проводит сложное ортодонтическое лечение с использованием мини-имплантов.

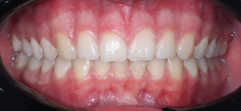
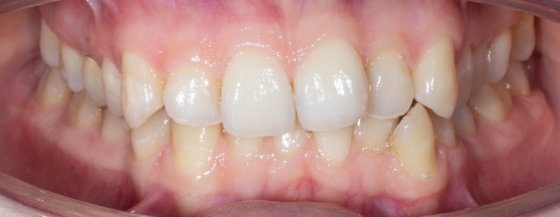
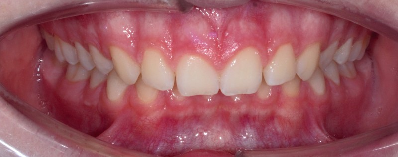
Рыбин Валерий Анатольевич: портфолио (3)

Отзывы о враче Рыбин Валерий Анатольевич

Рейтинг: 5
Отзывов: 5
Положительных: 5
Отрицательных: 0
Последний: 160 дн. назад
5.0
Почему нашим отзывам можно доверять?
28 ноября 2025 г.
1 2 3 4 5
Была на приеме у Валерия Анатольевича Рыбина с необходимостью восстановить зуб. Доктор предложил несколько вариантов и подробно объяснил плюсы и минусы каждого. Остановились на коронке цельно керамической. Хожу с ней уже больше 5 лет и все идеально! Хочу отметить высочайшую точность и аккуратность в работе. Валерий Анатольевич — настоящий перфекционист в своем деле. Он несколько раз перепроверял прикус, цвет и форму, чтобы результат был идеальным. Зуб выглядит абсолютно естественно и неотличимо от собственных. Отдельное спасибо за бережное отношение и комфорт во время всего приема. Никакой боли, только приятные впечатления от общения с первоклассным специалистом. Очень рекомендую!
Благодарим вас за такой развернутый и сердечный отзыв! Истории, подобные вашей, вдохновляют нас и подтверждают правильность нашего подхода к работе. Мы искренне рады, что вы остались довольны результатом, который служит вам уже более 5 лет, и высоко оценили скрупулёзность, профессионализм и бережное отношение доктора Рыбина Валерия Анатольевича. Стремление к идеалу в деталях — от подбора цвета до проверки прикуса — это именно то, что отличает качественную реставрацию. Спасибо, что доверили нам восстановление зуба и делитесь своим опытом. Для нас большая честь быть вашими докторами и получать такие рекомендации. Желаем вам здоровья и будем рады видеть вас на профилактических осмотрах! С уважением, команда клиник Кариесу.нет
10 ноября 2025 г.
1 2 3 4 5
Проходила ортодонтическое лечение у доктора Рыбина. Прошло 2 года, надумала оставить отзыв, так как до сих пор с восторгом понимаю, как я счастлива , что прошла это лечение, за два года ретенционного периода результат остался идеальным, все мои зубы в прикусе, я улыбаюсь и смеюсь во все 28 зубов (зубы мудрости пришлось удались). До сих пор посещаю клинику для чисток и периодически что-то подлечить.. Рада, что нашла их в свое время!
Конечно, вот вариант ответа, который немного подробнее предыдущего: Благодарим вас за такой душевный и подробный отзыв! Читать о вашей счастливой улыбке — лучшая награда для нашей команды. Мы безмерно рады, что вы остались довольны результатом ортодонтического лечения у доктора Рыбина и что за два года ретенционного периода результат сохранился идеально. Такие истории, как ваша, вдохновляют нас и подтверждают, что мы делаем важное и нужное дело. Огромное спасибо за ваше доверие и за то, что продолжаете выбирать нашу клинику для поддержания здоровья ваших зубов. Для нас большая честь быть вашими врачами. С уважением, команда «Кариесу.нет».
31 января 2015 г.
1 2 3 4 5
Внимательный, аккуратный, профессиональный врач-ювелир! Два (!!) очень проблемных зуба (которые другие врачи предлагали удалять) зачелены превосходно, и по мелочи там тоже много всего было - всё сделано превосходно! Спасибо Вам, Маэстро! Рекомендую и деткам, и таким трусихам, как я!
14 сентября 2014 г.
1 2 3 4 5
Прохожу лечение(протезирование) у этого врача и хочу сказать, что за свои 34 года повидал и полечился у многих стоматологов, в разных клиниках, за деньги и бесплатно, и смею думать, что профессионала от дилетанта отличить могу. Так вот, после первого знакомства (консультация и осмотр) Валерий Анатольевич честно и откровенно сказал что состояние полости рта требует немалой работы (из 32 у меня в наличии осталось лишь 23 зуба, и те "на ладан дышат"), и, естественно, капиталовложений. И сделано это было весьма профессионально, не как на рынке: Эй, купи у меня! У меня самый лучший товар! - Нет, было четко обозначено сколько и за что я буду платить если начну лечение. И я согласился. Более грамотного подхода к пациенту я не встречал, обращение (несмотря на то, что мы ровесники) исключительно на Вы, очень внятно объясняет порядок выполняемых работ, на все мои вопросы дает четкие и понятные мне ответы. Рабочим инструментом владеет просто виртуозно! На мой вопрос: любит ли он свою работу, он ответил: не любил бы - не работал! Одним словом Классный специалист знающий свое дело! Я очень доволен его работой. Рекомендую, не пожалеете.
11 апреля 2012 г.
1 2 3 4 5
Я сам проходл лечение у Данченко Оксаны Сергеевны а протезировала Ольга Владимировна Гонцова. Все удачно, благодарен. Дочь тоже лечилась у Данченко плюс проходит лечение у ортодонта Рыбина Валерия. дельно объяснил всё. Дочка совсем не боиться
    Помогите другим сделать правильный выбор — оставьте свой отзыв о докторе
    Написать отзыв

    Услуги стоматолога в других клиниках

    Эстетическая стоматология
    Установка виниров от 29 000 ₽ до 82 600 ₽
    Установка скайсов от 1 500 ₽ до 12 000 ₽
    Протезирование зубов
    Установка коронки на зуб от 4 500 ₽ до 120 000 ₽
    Виды протезов
    Еще услуги
    Ортодонтия
    Установка брекетов от 10 000 ₽ до 400 000 ₽