Стоматолог Полякова Екатерина Александровна — цены, отзывы, стаж — Принимает в Москве

Полякова Екатерина Александровна

Полякова Екатерина Александровна - фотография
стоматолог-терапевт
Полякова Екатерина Александровна принимает в «Современная стоматология ЗУБСЕРВИС» в Москве. Специализируется на терапии, по которой клиника оказывает 17 услуг. Имеет 9 работ до/после в портфолио. Для уточнения дополнительной информации о специалисте или записи на прием можно позвонить по телефону
+7 (495)Показать телефон
.

Где принимает:

Отзывы о враче Полякова Екатерина Александровна

Почему нашим отзывам можно доверять?
14 апреля 2017 г.
1 2 3 4 5
Хорошая клиника,лечусь давно,раньше они были у метро Каширская,в связи со сносом зданий у метро клиника переехала. Еле их нашла(((( Постоянный не меняющийся коллектив,прихожу уже как домой.Спасибо за приятную атмосферу и вашу качественную работу!И конечно огромное спасибо моему врачу Екатерине Александровне Поляковой- золотые руки!
Зубсервис
14 октября 2019 г.
Дорогая,Ирина Владимировна,спасибо,что нашли время и оставили отзыв о нашей работе!Ваши слова,мы обязательно передадим Поляковой Екатерине,Александровне!
27 октября 2015 г.
1 2 3 4 5
Хорошая врач, мне все понравилось, а главное не было ощущения, что тебе впаривают какую то ненужную услугу. Все по делу и по моему желанию, были рекомендации я послушал пока не делаю(
24 мая 2011 г.
1 2 3 4 5
Лечился у Поляковой Е.А.,ставил коронки, получилось быстро, качественно и красиво!!! Я очень доволен, отдельно хотелось бы отметить, что врач для дополнительных примерок(никак не могли подобрать цвет), приезжала под меня в свой выходной. Спасибо ей и низкий поклон за добросовестную и качественную работу!
10 августа 2010 г.
1 2 3 4 5
Мне все оч понравилось, лечился долго У Поляковой Екатерины Александровны_ ставил импланты плюс коронки. Качественно и красиво, а больше мне ничего не надо!
    Помогите другим сделать правильный выбор — оставьте свой отзыв о докторе
    Написать отзыв

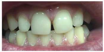
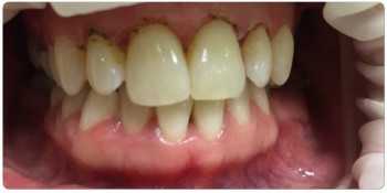
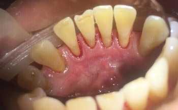
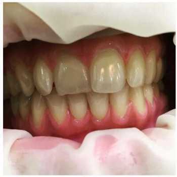
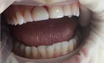
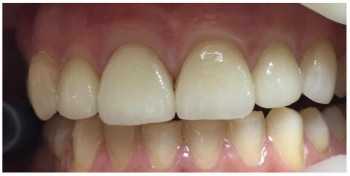
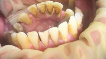
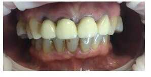
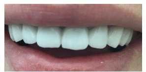
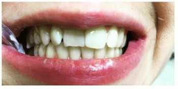
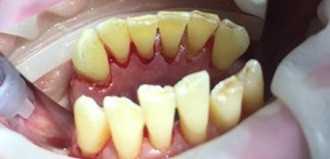
    Полякова Екатерина Александровна: портфолио (9)

    Услуги стоматолога в других клиниках

    Терапевтическая стоматология
    Лечение кариеса от 3 500 ₽ до 14 500 ₽
    Лечение пульпита от 5 000 ₽ до 35 000 ₽
    Еще услуги
    Профгигиена
    Чистка зубов Air-flow от 1 450 ₽ до 12 800 ₽
    Фторирование зубов от 50 ₽ до 7 500 ₽
    Еще услуги