Стоматолог Шамонов Дмитрий Ильич — цены, отзывы, стаж — Принимает в Москве

Шамонов Дмитрий Ильич

Шамонов Дмитрий Ильич - фотография
стоматолог-терапевт
стоматолог-ортопед
Стаж 18 лет
Шамонов Дмитрий Ильич принимает в «Клиника стоматологии РЕФОРМ КЛИНИК» в Москве. Стаж 18 лет. Специализируется на терапии и ортопедии, по которым клиника оказывает 10 услуг. Квалификация специалиста подтверждена 14 лицензиями, сертификатами и наградами. Для уточнения дополнительной информации о специалисте или записи на прием можно позвонить по телефону
+7 (495)Показать телефон
.

Где принимает:

14 сертификатов
1 работа в портфолио
Опыт 18 лет

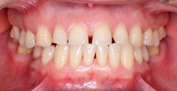
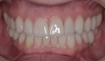
Шамонов Дмитрий Ильич: портфолио (1)

Отзывы о враче Шамонов Дмитрий Ильич

Почему нашим отзывам можно доверять?
4 марта 2025 г.
1 2 3 4 5
Отличная клиника , докторов знаем больше 10 лет , ездим за ними по все их местам работы , теперь всей семьей лечимся а Ре Форм , Спасибо докторам Шамоноау Д.И. и Расулову Р.Ш. , как отличным специалистам и внимательным и отзывчивым людям ,а также всем сотрудникам клиники .
    Помогите другим сделать правильный выбор — оставьте свой отзыв о докторе
    Написать отзыв

    Услуги стоматолога в других клиниках

    Протезирование зубов
    Установка коронки на зуб от 4 500 ₽ до 120 000 ₽
    Виды протезов
    Еще услуги