Стоматолог Арестанова Эльвира Алексеевна — цены, отзывы, стаж — Принимает в Москве

Арестанова Эльвира Алексеевна

Арестанова Эльвира Алексеевна - фотография
стоматолог-терапевт
детский стоматолог
Стаж 10 лет
Арестанова Эльвира Алексеевна принимает в «Стоматологическая клиника ДОКТОР ЛОПАТИН» в Москве. Стаж 10 лет. Специализируется на терапии и детской стоматологии, по которым клиника оказывает 24 услуги. Имеет 3 работы до/после в портфолио. Квалификация специалиста подтверждена 9 лицензиями, сертификатами и наградами. Для уточнения дополнительной информации о специалисте или записи на прием можно позвонить по телефону
+7 (495)Показать телефон
.

Где принимает:

9 сертификатов
Опыт 10 лет
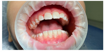
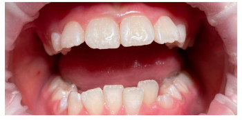
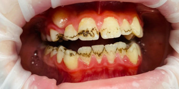
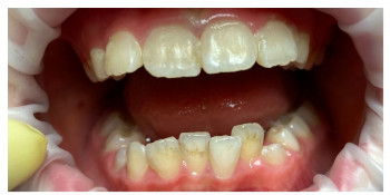
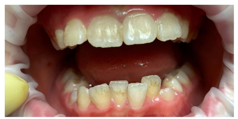
3 работы в портфолио

Арестанова Эльвира Алексеевна: портфолио (3)

Отзывы о враче Арестанова Эльвира Алексеевна

Почему нашим отзывам можно доверять?
22 ноября 2022 г.
1 2 3 4 5
Водила ребенка в эту клинику. Всё прошло волшебно! Эльвира Алексеевна прекрасный врач! Бережно и с душой к деткам.
    Помогите другим сделать правильный выбор — оставьте свой отзыв о докторе
    Написать отзыв

    Услуги стоматолога в других клиниках

    Терапевтическая стоматология
    Лечение кариеса от 3 500 ₽ до 14 500 ₽
    Лечение пульпита от 5 000 ₽ до 35 000 ₽
    Еще услуги
    Детская стоматология
    Лечение молочных зубов от 500 ₽ до 10 000 ₽
    Удаление зубов у детей от 500 ₽ до 8 000 ₽
    Еще услуги