Стоматолог Нагуманова Марина Аркадьевна — цены, отзывы, стаж — Принимает в Москве

Нагуманова Марина Аркадьевна

Нагуманова Марина Аркадьевна - фотография

5.0
Рейтинг: 5.0
Отзывов: 19
Положительных: 19
Отрицательных: 0
Последний : 17 дн. назад
19 отзывов
ТОП-30 в рейтинге
стоматолог-терапевт
Стаж 33 года
Нагуманова Марина Аркадьевна принимает в «Стоматологическая клиника НАУДЕНТ» в Москве. Стаж 33 года. Специализируется на терапии, по которой клиника оказывает 21 услугу. Имеет 33 работы до/после в портфолио. Квалификация специалиста подтверждена 12 лицензиями, сертификатами и наградами, а опыт 19 отзывами пациентов, из которых 19 положительные. Для уточнения дополнительной информации о специалисте или записи на прием можно позвонить по телефону
+7 (495)Показать телефон
. Занимает 11 место в рейтинге стоматологов-терапевтов 32top в вашем городе.

Где принимает:

12 сертификатов
Опыт 33 года
33 работы в портфолио
Топ 30 в рейтинге

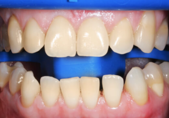
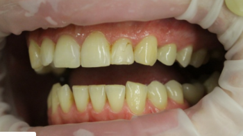
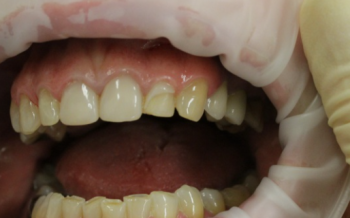
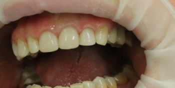
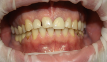
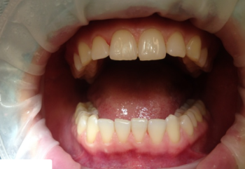
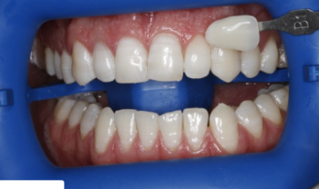
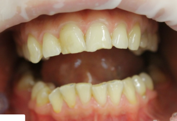
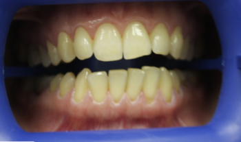
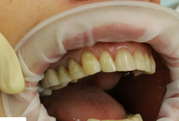
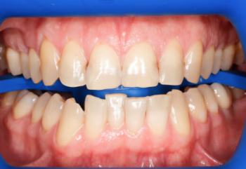
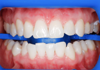
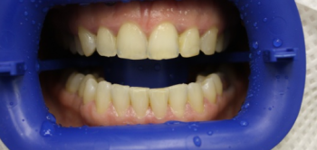
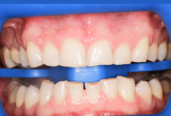
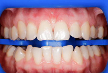
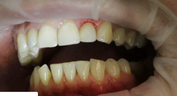
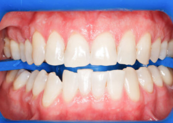
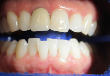
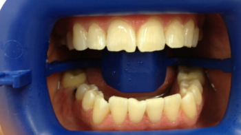
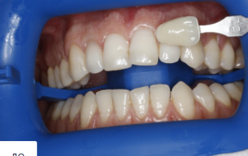
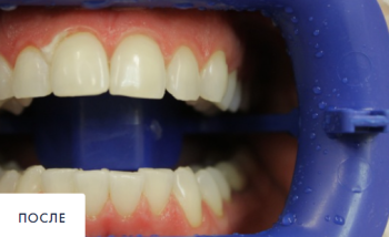
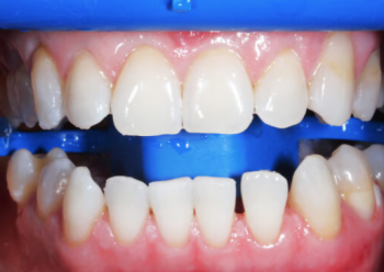
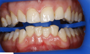
Нагуманова Марина Аркадьевна: портфолио (33)

Отзывы о враче Нагуманова Марина Аркадьевна

Рейтинг: 5
Отзывов: 19
Положительных: 19
Отрицательных: 0
Последний: 17 дн. назад
5.0
Почему нашим отзывам можно доверять?
21 апреля 2026 г.
1 2 3 4 5
Была сегодня на Пиресе 21.04.2026 у врача Нагумановой М.А. На гигиен чистке Очень хороший специалист все рассказывала о каждом своем действие Все сделала очень быстро,аккуратно и безболезненно Рекомендую этого специалиста
Благодарим Вас за положительный отзыв о работе нашей клиники. Желаем Вам здоровья и будем рады видеть Вас в нашей стоматологии. С уважением, Екатерина старший администратор научной стоматологии "Наудент"
9 января 2026 г.
1 2 3 4 5
Был на лечении у Нагумановой Марины Аркадьевны. Все прошло довольно комфортно, безболезненно, быстро, четко! Советую доктора !
4 июля 2025 г.
1 2 3 4 5
Пришел на прием по рекомендации коллеги в январе этого года. Прошел лечение, удаление, чистку и сейчас ношу брекеты. Все нравится, хороший персонал и врачи. Лучшая клиника! Врачи, ассистенты, администраторы, выполняют работу качественно! Спасибо!
Благодарим Вас за положительный отзыв о работе нашей клиники. Желаем Вам здоровья и будем рады видеть Вас в нашей стоматологии. С уважением, Екатерина, старший администратор научной стоматологии "Наудент"
17 июня 2025 г.
1 2 3 4 5
Прекрасный доктор Марина Аркадьевна Нагуманова! Всей семьей ходим к ней лечить зубы:) чудесная клиника, рекомендуем)
Благодарим Вас за положительный отзыв о работе нашей клиники и нашем стоматологе-терапевте Нагумановой Марине Аркадьевне. Желаем Вам здоровья и будем рады видеть Вас в нашей стоматологии. С уважением, Екатерина, старший администратор научной стоматологии "Наудент"
2 ноября 2024 г.
1 2 3 4 5
Почти всю свою жизнь посещаю эту клинику, лечусь у врача Нагумановой М.А. Нет ни малейшей мысли сменить учреждение или врача - и это уже показывает, насколько меня все устраивает. Врач вызывает большое доверие по части лечения зубов самой разной сложности. Уютно, приятно находиться внутри, прихожу также на чистку и осмотры. Советую всем.
Благодарим Вас за положительный отзыв о работе нашей клиники и нашем стоматологе-терапевте Нагумановой Марине Аркадьевне. Желаем Вам здоровья и будем рады видеть Вас в нашей стоматологии. С уважением, Екатерина, старший администратор научной стоматологии "Наудент"
2 ноября 2024 г.
1 2 3 4 5
Хорошая клиника, с 2017 года с мужем лечим здесь зубы, ставили импланты тоже без проблем. Врачи очень грамотные и компетентные ( лечусь у них: Нагуманова Марина Аркадьевна, Лучников Роман Владимирович и Поляков Кирилл Артурович). Рекомендую
Благодарим Вас за положительный отзыв о работе нашей клиники и нашем стоматологе-терапевте Нагумановой Марине Аркадьевне. Желаем Вам здоровья и будем рады видеть Вас в нашей стоматологии. С уважением, Екатерина, старший администратор научной стоматологии "Наудент"
24 сентября 2024 г.
1 2 3 4 5
Замечательная клиника, с профессиональными врачами! Посещаю уже 10 лет. Отличный врач Нагуманова Марина Аркадьевна, огромная ей благодарность за качественно вылеченные зубы! Рекомендую!
Благодарим Вас за положительный отзыв о работе нашей клиники и нашем стоматологе-терапевте Нагумановой Марине Аркадьевне. Желаем Вам здоровья и будем рады видеть Вас в нашей стоматологии. С уважением, Екатерина, старший администратор научной стоматологии "Наудент"
21 сентября 2024 г.
1 2 3 4 5
Все очень понравилось (делал гигиеническую чистку). Спасибо доктору Марине Аркадьевне Нагуманваой
Благодарим Вас за положительный отзыв о работе нашей клиники и нашем стоматологе-терапевте Нагумановой Марине Аркадьевне.. Желаем Вам здоровья и будем рады видеть Вас в нашей стоматологии. С уважением, Екатерина, старший администратор научной стоматологии "Наудент"
8 августа 2024 г.
1 2 3 4 5
Лечусь вместе с супругой в клинике Наудент почти всю жизнь у врача Нагумановой Марины Аркадьевны. Все нравится как в самой клинике, так и в приеме врача. Все вежливые, внимательные, профессионализм не вызывает сомнений - за 10 лет не было ни одного случая, чтобы что-то пришлось переделывать.
Нагуманова Марина Аркадьевна
5 сентября 2024 г.
Благодарим Вас за положительный отзыв о работе нашей клиники и нашем стоматологе-терапевте Нагумановой Марине Аркадьевне. Желаем Вам здоровья и будем рады видеть Вас в нашей стоматологии. С уважением, Екатерина, старший администратор научной стоматологии "Наудент" (ДентаСпа)
6 июля 2024 г.
1 2 3 4 5
Огромное спасибо врачам Нагумановой МА и Лучникову РВ, а также из ассистентам за профессионализм и чуткость в работе.
Благодарим Вас за положительный отзыв о работе нашей клиники. Желаем Вам здоровья и будем рады видеть Вас в нашей стоматологии. С уважением, Ольга, старший администратор научной стоматологии "Наудент" (ДентаСпа)
    Помогите другим сделать правильный выбор — оставьте свой отзыв о докторе
    Написать отзыв

    Услуги стоматолога в других клиниках

    Терапевтическая стоматология
    Лечение кариеса от 3 500 ₽ до 14 500 ₽
    Лечение пульпита от 5 000 ₽ до 35 000 ₽
    Еще услуги