Фото до и после по услуге Установка брекетов в клиниках Красноярска

Фотографии до и после: Установка брекетов

На странице представлено портфолио стоматологий Красноярска с фото работ до и после исправления прикуса брекетами. Мы публикуем результаты разных клинических случаев: от скученности зубов и диастем до сложных ортодонтических аномалий. В каждом случае показан реальный прогресс — от начального состояния зубов до финального результата после снятия брекетов и исправления прикуса. Поэтому вы можете наглядно увидеть, как меняется положение зубов и общая эстетика улыбки. Изучите результаты работ до после и выберите подходящую клинику в Красноярске.

Центр эстетической медицины РЕНОВАЦИО

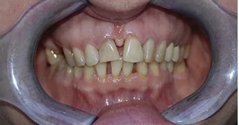
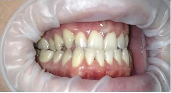
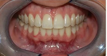
Установка брекетов Damon

Доктор: Нетесова Олеся Александровна

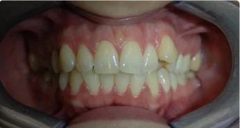
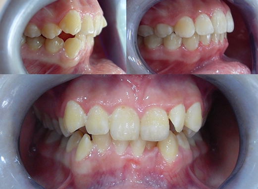
Установка брекетов Damon

Доктор: Забара Любовь Владимировна

Все работы клиники
Стоматология АЙДЕНТ (IDENT)

Установка брекетов

Лечение на брекет-системе

Все работы клиники
ЦЕНТР ФУНКЦИОНАЛЬНОЙ СТОМАТОЛОГИИ

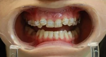
Установка брекетов

Установка брекетов

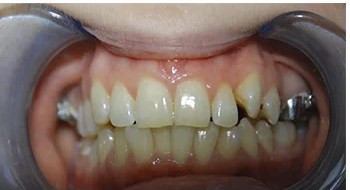
Установка металлических брекетов

Установка брекетов

Установка металлических брекетов

Установка металлических брекетов

Все работы клиники
Стоматология ДИАМАНТ

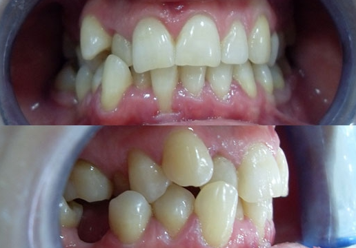
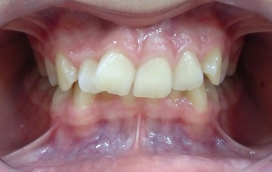
Установка брекетов

установка безлигатурной брекет-системы ORMCO DamonQ

Доктор: Абдылдаев Самат Тилекбекович

Все работы клиники