Фото до и после по услуге Профгигиена в клиниках Красноярска

Фотографии до и после: Профгигиена

На странице представлено портфолио стоматологий Красноярска с работами до и после профессиональной чистки зубов. В нашем портфолио собраны разные клинические случаи: от удаления незначительного налета до снятия массивного поддесневого камня. Здесь вы можете увидеть, как возвращается естественный цвет и внешний вид зубов после процедуры. Изучите результаты до и после чистки зубов, чтобы увидеть реальный эффект и выбрать клинику в Красноярске, где профессиональная гигиена поможет вернуть зубам здоровый вид.

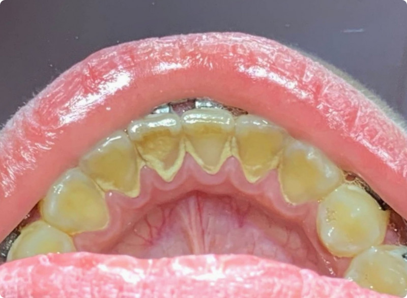
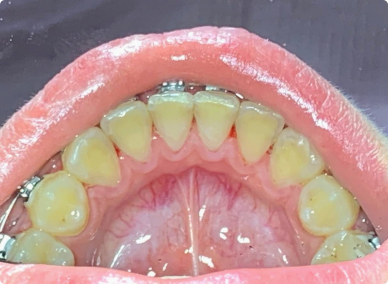
Стоматология ЭМПАТИО ДЕНТ

Профгигиена

Профгигиена

Профгигиена

Все работы клиники
Сеть стоматологических клиник ДЕНТАЛ КЛИНИК (DENTAL CLINIC)

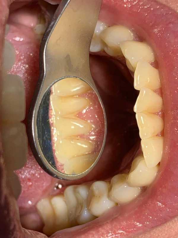
Чистка зубов Air-flow

Доктор: Трингорт Станислав Альбертович

Чистка зубов Air-flow

Доктор: Трингорт Станислав Альбертович

Чистка зубов Air-flow

Комплексная чистка зубов в 4 этапа: Ультразвуковая обработка, Air Flow, полировка с щеткой и пастой, капа с реминерализирующим гелем. Врач Трингорт С.А.

Доктор: Трингорт Станислав Альбертович

Все работы клиники
СЕТЬ СТОМАТОЛОГИЧЕСКИХ КЛИНИК ЯКОВЛЕВА

Чистка зубов Air-flow

Доктор: Трингорт Станислав Альбертович

Чистка зубов Air-flow

Доктор: Трингорт Станислав Альбертович

Чистка зубов Air-flow

Комплексная чистка зубов в 4 этапа: Ультразвуковая обработка, Air Flow, полировка с щеткой и пастой, капа с реминерализирующим гелем. Врач Трингорт С.А.

Доктор: Трингорт Станислав Альбертович

Все работы клиники
КРАСНОЯРСКАЯ ГОРОДСКАЯ ДЕТСКАЯ БОЛЬНИЦА №8

Чистка зубов Air-flow

Доктор: Пустошилова Александра Сергеевна

Все работы клиники
Авторская клиника Доктора Гуфрона ЛАБОРАТОРИЯ УЛЫБОК

Чистка зубов Air-flow

Доктор: Кароматуллоев Гуфрон Эхсонуллоевич

Все работы клиники