Фото до и после по услуге Имплантация в клиниках Красноярска

Фотографии до и после: Имплантация

На странице представлено портфолио стоматологий Красноярска с фото работ до и после имплантации зубов. Мы собрали разные клинические случаи: одиночные импланты, восстановление нескольких зубов и полная реконструкция зубного ряда. Здесь вы можете видеть, как выглядят восстановленные зубы, меняется форма улыбки после процедуры. Изучите результаты до и после имплантации зубов, чтобы оценить качество работы врачей и выбрать стоматологию в Красноярске, которая поможет вернуть функциональность и эстетику вашей улыбке.

Стоматология АЙДЕНТ (IDENT)

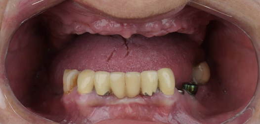
Имплантация Все-на-6 (All-on-6)

Имплантация All-on-6 + Установка циркониевых коронок.

Имплантация

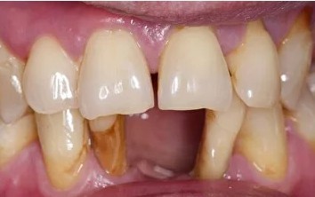
Врожденное отсутствие Зубов. Было выполнено временное восстановление, далее пациента ждет ортодонтическое лечение и имплантация

Все работы клиники
Стоматология СИБ ДЕНТАЛ КЛИНИК (SIB DENTAL CLINIC)

Имплантация

Имплантация

Имплантация

Имплантация

Все работы клиники