Фото до и после по услуге Установка виниров в клиниках Красноярска

Фотографии до и после: Установка виниров

На странице представлено портфолио стоматологий Красноярска с фото работ до и после установки виниров. Здесь вы можете видеть как процедура меняет цвет и форму зубов, скрывает сколы, щели между зубами и корректирует незначительные неровности. Изучите работы до и после установки виниров в стоматологиях Красноярска, чтобы оценить профессионализм специалистов и выбрать клинику, которой можно доверить свои зубы.

Центр семейной стоматологии ВЕРА ДЕНТ (VERA DENT)

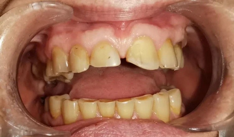
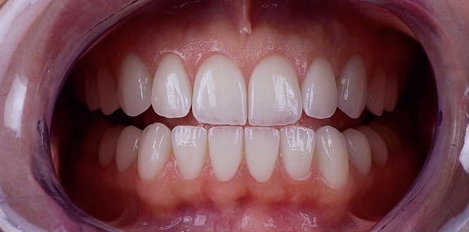
Установка композитных виниров

Восстановление скола переднего зуба после травмы

Доктор: Саетова Виктория Сергеевна

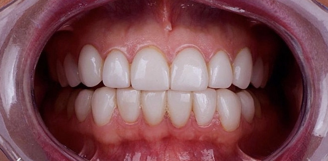
Установка композитных виниров

Восстановление эстетического состояния передних зубов

Доктор: Саетова Виктория Сергеевна

Все работы клиники
Стоматология АЙДЕНТ (IDENT)

Установка виниров

Устанвка виниров. Цвет А1

Доктор: Ямалов Антон Равкатович

Все работы клиники
Клиника эстетической стоматологии СТОМАТОЛОГИЯ.ДЕНТИСТ (СТОМАТОЛОГИЯ.DENTIST)

Установка виниров

Установка виниров

Установка виниров

Установка виниров

Установка виниров

Установка виниров

Все работы клиники
Стоматологическая клиника РИСУС (RISUS)

Установка керамических виниров

Мы поможем Вам улыбаться свободно! Используем только цельнокерамические материалы. Максимально сохраняем ткани зуба.

Доктор: Романова Елена Михайловна

Установка виниров

Тотальное эстетическое протезирование. Мы поможем Вам улыбаться свободно!

Доктор: Романова Елена Михайловна

Установка циркониевых виниров

Доктор: Романова Елена Михайловна

Установка виниров

Реконструкция и тотальное эстетическое протезирование. Поможем, даже в самых сложных случаях!

Доктор: Романова Елена Михайловна

Все работы клиники
Стоматологическая клиника ДОКТОР РОМАНОВ

Установка виниров

Установка виниров

Установка виниров

Установка виниров

Все работы клиники
Центр имплантации АЙТОТАЛ (ITOTAL)

Установка керамических виниров

Установка керамических виниров

Установка керамических виниров

Установка керамических виниров

Все работы клиники
Стоматологическая клиника КОЛИБРИ

Установка композитных виниров

Пациенке (73 года) выполнена реставрация нижних зубов. Работа выполнена винирами.

Установка виниров

Данной пациентке была произведена полная санация полости рта и установлены виниры на верхние зубы

Установка виниров

Доктор: Жиглов Дмитрий Николаевич

Все работы клиники
Стоматология СТОМАЛЮКС 21 ВЕК

Установка виниров E-max

Доктор: Николаева Марианна Гивиевна

Установка циркониевых виниров

Доктор: Николаева Марианна Гивиевна

Все работы клиники
Центр семейной стоматологии ВИОЛА

Установка керамических виниров

Установка виниров

Все работы клиники