Фото до и после по услуге Отбеливание зубов в клиниках Красноярска

Фотографии до и после: Отбеливание зубов

На странице представлено портфолио стоматологий Красноярска с фото работ до и после профессионального отбеливания зубов. Мы собрали разные клинические случаи, демонстрируя осветление на один или несколько тонов. Здесь вы можете видеть, как меняется цвет эмали и уменьшается интенсивность пигментации после процедуры. Изучите, каким может быть ваш собственный результат после отбеливания, и выберите подходящую клинику в Красноярске, чтобы безопасно и эффективно осветлить улыбку.

Центр стоматологии АНТАРА

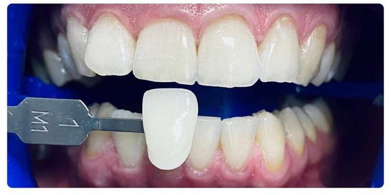
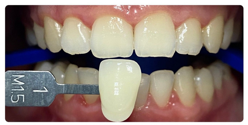
Отбеливание Zoom 4

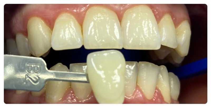
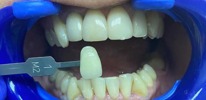
Отбеливание Zoom 4

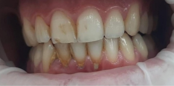
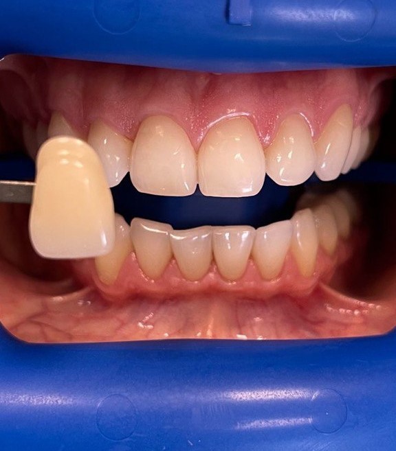
Отбеливание Zoom 4

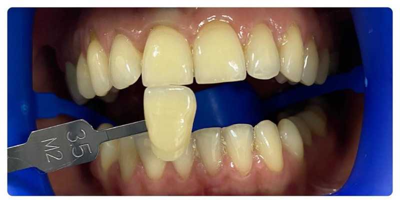
Отбеливание Zoom

Отбеливание зубов

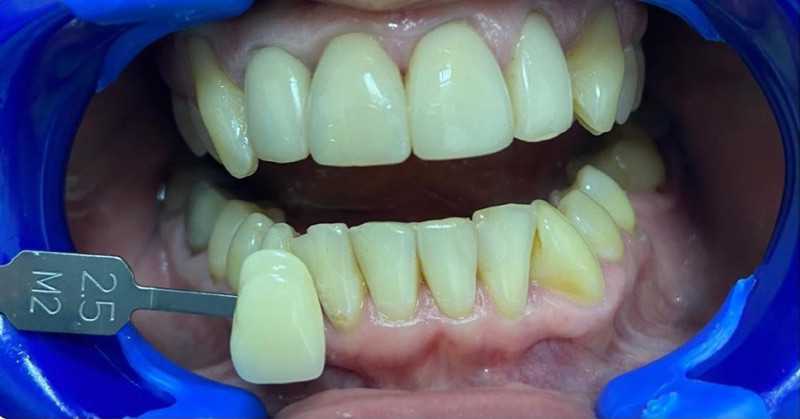
Отбеливание Zoom 4

Отбеливание Zoom

Все работы клиники
Стоматологическая клиника ПРИТЯЖЕНИЕ

Отбеливание зубов

Отбеливание зубов

Отбеливание зубов

Отбеливание зубов

Все работы клиники
Стоматологическая клиника РИСУС (RISUS)

Отбеливание Zoom 4

Бережное отбеливание Philips ZOOM White Speed! Только сертифицированные оригинальные материалы! Безопасно для зубов!

Доктор: Романова Елена Михайловна

Отбеливание Zoom 4

Бережное отбеливание Philips ZOOM White Speed! Только сертифицированные оригинальные материалы! Безопасно для зубов!

Доктор: Романова Елена Михайловна

Отбеливание Zoom 4

Бережное отбеливание Philips ZOOM White Speed! Только сертифицированные оригинальные материалы! Безопасно для зубов!

Доктор: Романова Елена Михайловна

Все работы клиники
Стоматология АПЕКС

Отбеливание зубов

Отбеливание зубов

Отбеливание зубов

Все работы клиники