Стоматолог Сунгурова Валерия Александровна — цены, отзывы, стаж — Принимает в Москве

Сунгурова Валерия Александровна

Сунгурова Валерия Александровна - фотография
стоматолог-ортопед
Стаж 36 лет
Сунгурова Валерия Александровна принимает в «Клиника ЗДОРОВЬЕ» в Королеве. Стаж 36 лет. Специализируется на ортопедии, по которой клиника оказывает 16 услуг. Имеет 2 работы до/после в портфолио. Для уточнения дополнительной информации о специалисте или записи на прием можно позвонить по телефону
+7 (495)Показать телефон
.

Где принимает:

Опыт 36 лет
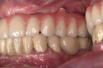
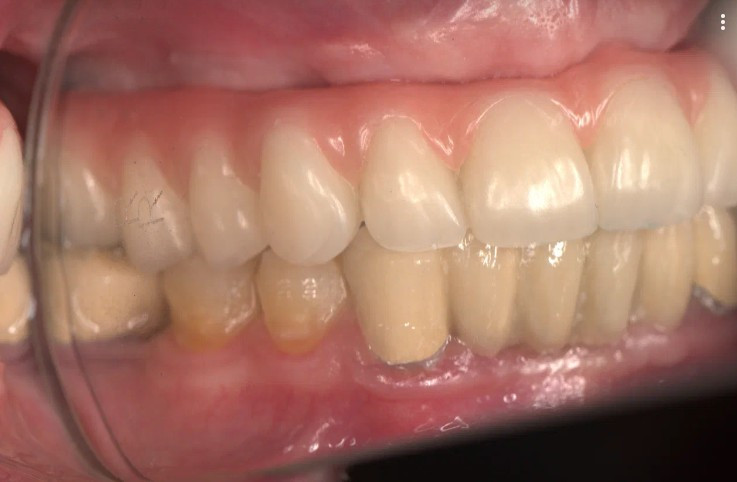
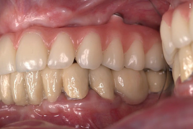
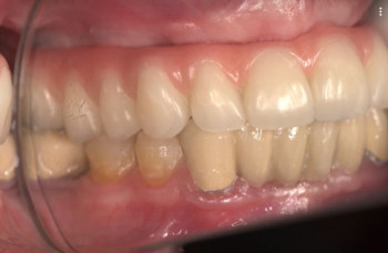
2 работы в портфолио

Сунгурова Валерия Александровна: портфолио (2)

    Помогите другим сделать правильный выбор — оставьте свой отзыв о докторе
    Написать отзыв

    Услуги стоматолога в других клиниках

    Эстетическая стоматология
    Установка виниров от 29 000 ₽ до 82 600 ₽
    Установка скайсов от 1 500 ₽ до 12 000 ₽
    Еще услуги
    Протезирование зубов
    Установка коронки на зуб от 4 500 ₽ до 120 000 ₽
    Установка протеза Акри Фри (Acry-Free) от 11 400 ₽ до 84 750 ₽
    Еще услуги