Стоматолог Лычко Юрий Анатольевич — цены, отзывы, стаж — Принимает в Москве

Лычко Юрий Анатольевич

Лычко Юрий Анатольевич - фотография
стоматолог-ортопед
Стаж 33 года
Лычко Юрий Анатольевич принимает в «ЦЕНТР СЕМЕЙНОЙ СТОМАТОЛОГИИ» в Москве. Стаж 33 года. Специализируется на ортопедии, по которой клиника оказывает 11 услуг. Имеет 4 работы до/после в портфолио. Квалификация специалиста подтверждена 11 лицензиями, сертификатами и наградами. Также 32top представляет форму онлайн расписания, через которую можно записаться к специалисту на свободную дату и время.

Где принимает:

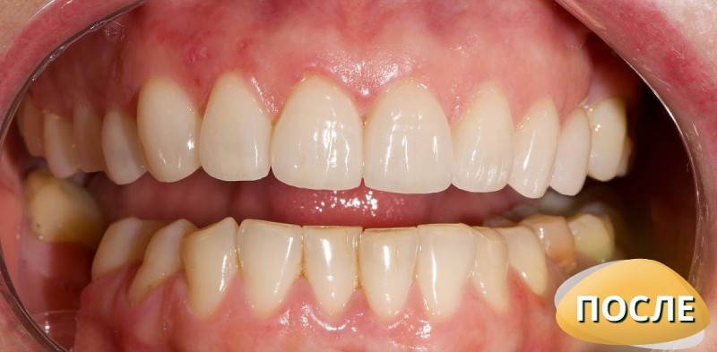
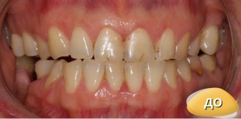
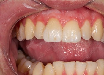
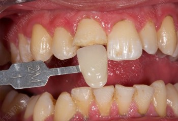
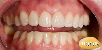
4 работы в портфолио
Опыт 33 года
11 сертификатов

О стоматологе

Специализация: виниры, несъемное протезирование зубов, ортопедическая стоматология, протезирование безметалловой керамикой, протезирование зубов, протезирование с использованием металлокерамики, съемное протезирование, условно-съемное протезирование.

Лычко Юрий Анатольевич: портфолио (4)

    Помогите другим сделать правильный выбор — оставьте свой отзыв о докторе
    Написать отзыв

    Услуги стоматолога в других клиниках

    Протезирование зубов
    Установка коронки на зуб от 4 500 ₽ до 120 000 ₽
    Установка протеза Акри Фри (Acry-Free) от 11 400 ₽ до 85 000 ₽
    Еще услуги