Стоматолог Грибачев Владислав Андреевич — цены, отзывы, стаж — Принимает в Москве

Грибачев Владислав Андреевич

Грибачев Владислав Андреевич - фотография
стоматолог-терапевт
стоматолог-ортопед
Стаж 6 лет
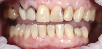
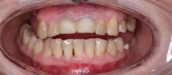
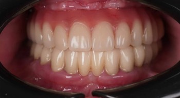
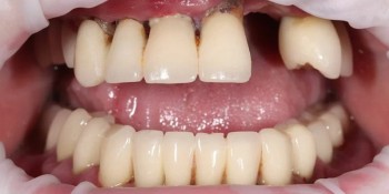
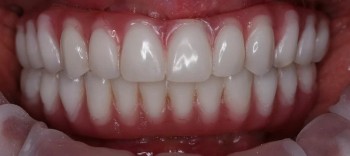
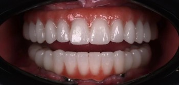
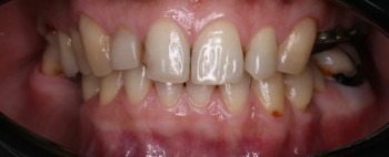
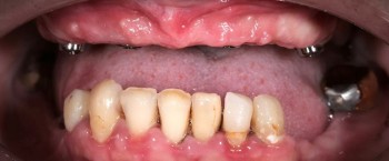
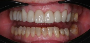
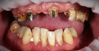
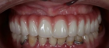
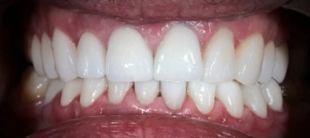
Грибачев Владислав Андреевич принимает в «КЛИНИКА ДОКТОРА МУССУРОВА» в Москве. Стаж 6 лет. Специализируется на терапии и ортопедии, по которым клиника оказывает 25 услуг. Имеет 12 работ до/после в портфолио. Для уточнения дополнительной информации о специалисте или записи на прием можно позвонить по телефону
+7 (495)Показать телефон
. Также 32top представляет форму онлайн расписания, через которую можно записаться к специалисту на свободную дату и время.

Где принимает:

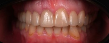
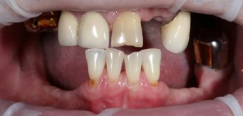
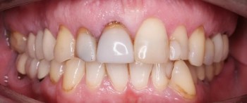
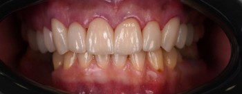
12 работ в портфолио
Опыт 6 лет

Отзывы о враче Грибачев Владислав Андреевич

Пациенты отмечают:
Тщательный осмотр
Лечение помогло
Почему нашим отзывам можно доверять?
9 ноября 2025 г.
1 2 3 4 5
Я лечусь у стоматолога Грибачева Владислава Андреевича. Хочу поблагодарить врача за большую кропотливую профессиональную работу. За внимательное отношение, за его терпение, за чуткость и индивидуальный подход к пациентам.
    Помогите другим сделать правильный выбор — оставьте свой отзыв о докторе
    Написать отзыв

    Услуги врача (72)

    Терапевтическая стоматология
    Лечение кариеса
    от 10 000 ₽ до 19 550 ₽ за 1 зуб
    Лечение кариеса ICON
    Лечение поверхностного кариеса
    Еще услуги
    Эстетическая стоматология
    Отбеливание зубов
    от 8 800 ₽ за 1 челюсть
    Наращивание зубов
    Установка виниров
    от 53 750 ₽ за 1 зуб
    Еще услуги
    Протезирование зубов
    Установка коронки на зуб
    от 53 750 ₽ за 1 зуб
    Установка протеза Акри Фри (Acry-Free)
    от 54 450 ₽ за 1 челюсть
    Ремонт зубных протезов
    Еще услуги
    Все цены носят ознакомительный характер. Точную цену вы сможете получить только после консультации специалиста.
    Звоните по телефону:
    +7 (495)Показать телефон

    Грибачев Владислав Андреевич: портфолио (12)

    Акции и скидки клиники КЛИНИКА ДОКТОРА МУССУРОВА (5)