Стоматолог Исламов Ровшан Надирович — цены, отзывы, стаж — Принимает в Москве

Исламов Ровшан Надирович

Исламов Ровшан Надирович - фотография
стоматолог-хирург
стоматолог-имплантолог
челюстно-лицевой хирург
Стаж 25 лет
к.м.н., врач высшей категории
Исламов Ровшан Надирович принимает в «Круглосуточная стоматология СПЕЦИАЛИСТ» в Москве. К.м.н., врач высшей категории, стаж 25 лет. Специализируется на хирургии, имплантологии и челюстно-лицевой хирургии, по которым клиника оказывает 19 услуг. Квалификация специалиста подтверждена 12 лицензиями, сертификатами и наградами. Для уточнения дополнительной информации о специалисте или записи на прием можно позвонить по телефону
+7 (495)Показать телефон
. Также 32top представляет форму онлайн расписания, через которую можно записаться к специалисту на свободную дату и время.

Где принимает:

Опыт 25 лет
Врач высшей категории
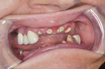
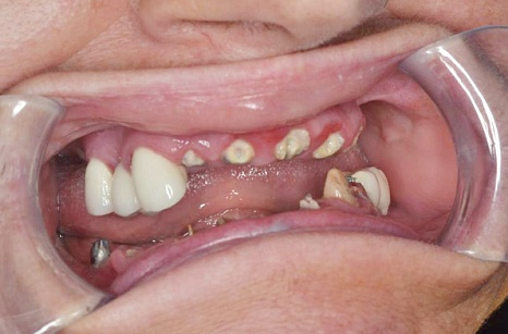
1 работа в портфолио
Кандидат мед.наук
12 сертификатов

Исламов Ровшан Надирович: портфолио (1)

    Помогите другим сделать правильный выбор — оставьте свой отзыв о докторе
    Написать отзыв

    Услуги стоматолога в других клиниках

    Хирургическая стоматология
    Удаление зубов от 1 150 ₽ до 25 000 ₽
    Удаление кисты и гранулемы зуба от 600 ₽ до 48 500 ₽
    Еще услуги
    Имплантация
    Установка мини-импланта от 3 000 ₽ до 35 000 ₽
    Методы имплантации
    Еще услуги