Стоматолог Палей Василий Игоревич — цены, отзывы, стаж — Принимает в Москве

Палей Василий Игоревич

Палей Василий Игоревич - фотография
стоматолог-ортопед
Стаж 30 лет
врач высшей категории
Палей Василий Игоревич принимает в «Стоматология МИРДЕНТ» в Москве. Врач высшей категории, стаж 30 лет. Специализируется на ортопедии, по которой клиника оказывает 8 услуг. Для уточнения дополнительной информации о специалисте или записи на прием можно позвонить по телефону
+7 (495)Показать телефон
.

Где принимает:

Опыт 30 лет
Врач высшей категории
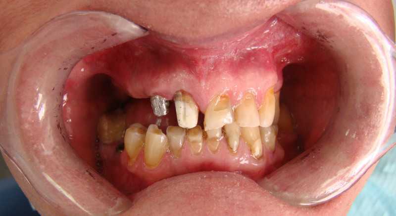
1 работа в портфолио

Палей Василий Игоревич: портфолио (1)

    Помогите другим сделать правильный выбор — оставьте свой отзыв о докторе
    Написать отзыв

    Услуги стоматолога в других клиниках

    Протезирование зубов
    Лечение адентии от 79 990 ₽ до 180 000 ₽
    Установка коронки на зуб от 4 500 ₽ до 120 000 ₽
    Еще услуги