Стоматолог Шмаков Артем Михайлович — цены, отзывы, стаж — Принимает в Москве

Шмаков Артем Михайлович

Шмаков Артем Михайлович - фотография

5.0
Рейтинг: 5.0
Отзывов: 6
Положительных: 6
Отрицательных: 0
Последний : 183 дн. назад
6 отзывов
стоматолог-терапевт
стоматолог-ортопед
стоматолог-хирург
стоматолог-имплантолог
Стаж 19 лет
Шмаков Артем Михайлович принимает в «Центр стоматологии СТАРС ДЕНТАЛ» в Москве. К.м.н., стаж 19 лет. Специализируется на терапии, ортопедии, хирургии и имплантологии, по которым клиника оказывает 88 услуг. Имеет 6 работ до/после в портфолио. Квалификация специалиста подтверждена 6 лицензиями, сертификатами и наградами. Также 32top представляет форму онлайн расписания, через которую можно записаться к специалисту на свободную дату и время.

Где принимает:

6 сертификатов
Кандидат мед.наук
Опыт 19 лет
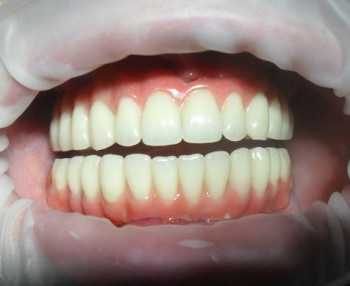
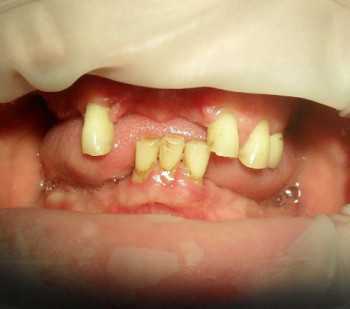
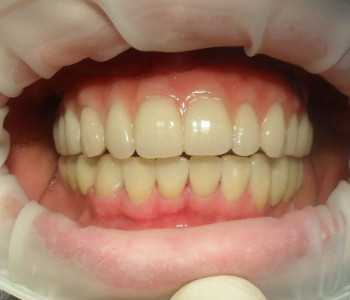
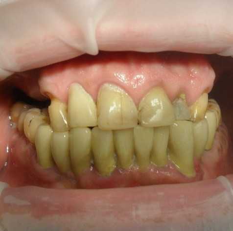
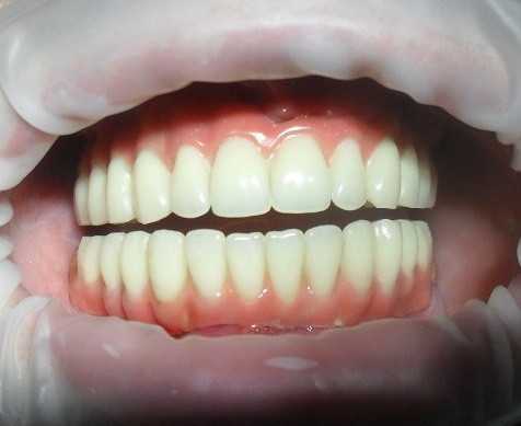
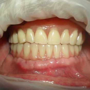
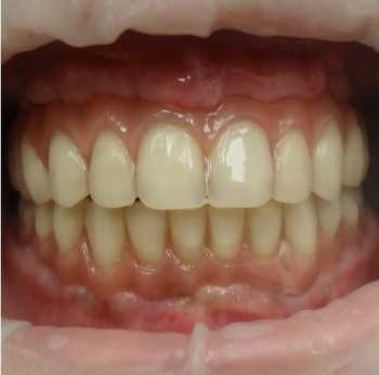
6 работ в портфолио

О стоматологе

Я очень люблю свою работу, то чем я занимаюсь. Мне приносит большое удовольствие наблюдать физическое и психологическое преображение моих пациентов. Люди приходят ко мне с проблемами, а уходят счастливые и здоровые. Приходите и Вы, буду рад видеть Вас на консультации!
Я проходил дополнительное обучение в Израиле, Франции, Черногории. Владею всеми существующими методиками в дентальнои? имплантации. Большая часть хирургических операции? связана с использованием базальнои? имплантации. Специализируюсь на имплантации в сложных случаях. Ко мне обращаются пациенты: ?? Которым нужны зубы быстро — за 3 ДНЯ! ?? По направлению от стоматологов ?? На базальную/стратегическую имплантацию ?? На все-на-6 (All-on-6) ?? На все-на-4 (All-on-4) ?? С недостатком/дефицитом костнои? ткани ?? С пародонтитом/пародонтозом ?? Со сгнившими под мостами зубами ?? Со старыми надоевшими, не держащимися съемными протезами ?? С сахарным диабетом и остеопорозом ?? С неудавшеи?ся костнои? пластикои? ?? С неприжившимися классическими имплантатами ?? С неудачнои? попыткои? установки имплантатов в других клиниках ?? С неудачным протезированием на имплантатах в других клиниках ?? С запросом/потребностью восстановления дикции (фонетики) после протезирования в других клиниках.

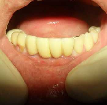
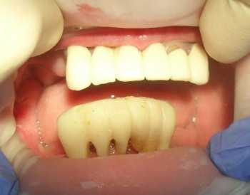
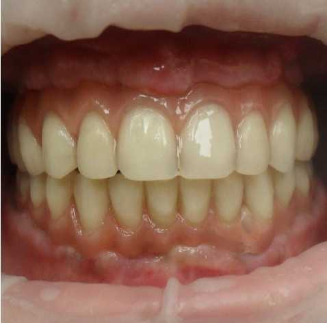
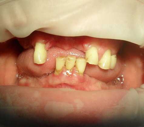
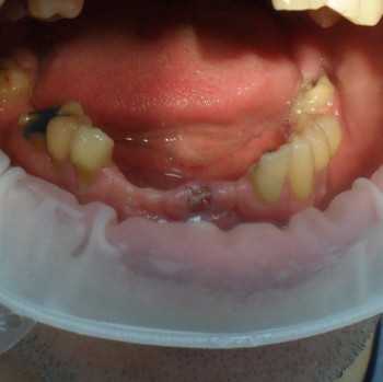
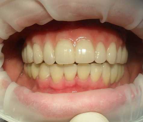
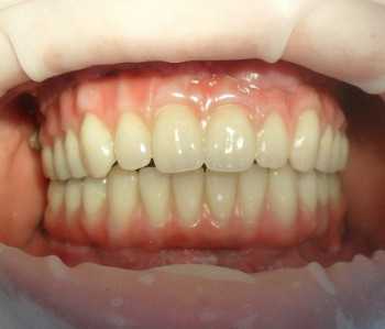
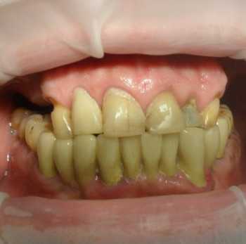
Шмаков Артем Михайлович: портфолио (6)

Отзывы о враче Шмаков Артем Михайлович

Рейтинг: 5
Отзывов: 6
Положительных: 6
Отрицательных: 0
Последний: 183 дн. назад
5.0
Почему нашим отзывам можно доверять?
11 ноября 2025 г.
1 2 3 4 5
Хочу рассказать пр свой случай а именно про Артема Михайловича Шмакова. После очередной попытке коротая обошлась мне в удаление еще 3-х зубов, я потеряла веру окончательна в том что есть хорошие врачи. Дальше все произошло как в сказке, появился Артем Михайлович, который взялся за мой случай. Долго он со мной возился... Но в результате, я улыбнулась и улыбаюсь уже 2 года. Отличный врач, работает на результат. Спасибо Вам Артем Михайлович и за Ваше терпение.
6 апреля 2022 г.
1 2 3 4 5
Клиника Митралаб очень удобно расположена возле метро, в центре. Делала инплантацию на 2 челюсти. Осталась очень довольна. Спасибо замечательному имплантологу Шмакову Артёму Мхайловичу и ортопеду Ии Вадимовне. Они просто волшебники! Спасибо их ассистентом и девочкам в регистраторе. Все очень вежливые, внимательные. Очень рекомендую эту клинику!
23 марта 2022 г.
1 2 3 4 5
Эту клинику мне посоветовал коллега по работе, когда возникли проблемы с зубами, и я начал искать, где бы можно было их пролечить. Конечно, хотелось каких-то рекомендаций, чтобы не играть в рулетку. Вот коллега и посоветовал, плюс, как оказалось, с работы там уже несколько человек лечили зубы, так же по его рекомендации, и все дали только положительные отзывы. После первичной консультации, которую провел Юрий Николаевич Митрущенков - был составлен план лечения, по которому я в данный момент посещаю клинику. Качеством работ, отношением сотрудников - очень доволен. Хочу выразить благодарность Зигерт Екатерине Андреевне за прекрасную работу и за то, что те, не сильно приятные ощущения от стоматологии, которые сидят с детства, развеялись за первые же посещения. В дальнейшем мне потребуется имплантация зуба, конечно же, делать это буду только тут. Так же благодарю всех сотрудников клиники, кого уже знаю, и кого еще не знаю, за их работу! UPD. Так же хочу отметить высочайший уровень работы хирурга Артёма Михайловича Шмакова - удаление старого корня зуба и установка на его места импланта прошла за один заход, все заняло минут 30, после того как закончилась анестезия, небыло никаких болезненных ощущений, и в последующие дни обошёлся без приёма обезболивающих, только следовал рекомендациям доктора - принимал антибиотик 5 дней. Все зажило замечательно! В общем я ни минуты не сожалею, что по рекомендации коллеги пошёл именно сюда. Теперь осень приду для установки коронки на имплант.
22 февраля 2022 г.
1 2 3 4 5
Прекрасное место с настоящими профессионалами! Проходила комплексное лечение и осталась довольна! Спасибо врачам-хирургам Шматовой Софье Олеговне и Шмакову Артёму Михайловичу. Удалили все 4 непрорезавшиеся и не самые простые зубы мудрости. После удаления без внимания врачей не осталась и было приятно почувствовать заботу о клиенте. Также проходила лечение у врача-терапевта Зигерт Екатерины Андреевны, которая заменила старые некрасивые пломбы на качественные и эстетически приятные, которые не отличить от своих зубов! Настоящий творец! А также уменьшилась чувствительность зубов. Спасибо ассистентам благодаря которым процесс лечения становится более быстрым и комфортным. Благодарю всех сотрудников и руководство за теплоту приёма и отличный результат!
22 января 2022 г.
1 2 3 4 5
Хочу выразить огромную благодарность за мою голливудскую улыбку всей команде МитроЛаб под чутким и умелым руководством Юрия Николаевича --профессионала своего дела! Отдельная благодарность хирургу Артёму Михайловичу Шмакову за внимательное и чуткое отношение, за терпение и высокий профессионализм. Удаление зубов двух челюстей и вставление шести имплантов было сделано быстро, качественно и без боли! Также я очень довольна результатом работы Ии Вадимовны. Она прекрасный ортопед, знающий толк в своём деле! Хочется отметить и умелую работу ассистентов, техника Ромы. Отдельное спасибо администраторам Алле, Насте и Ане. за своевременные звонки с напоминаниями, за приятную и комфортную атмосферу в зоне ожидания. Я всем рекомендую эту клинику и желаю дальнейшего её процветания!
3 июня 2017 г.
1 2 3 4 5
выражаю свою благодарность Шмакову Артёму Михайловичу врач имплантолог-ортопед, клиника Mitra-lab. То с чем я пришла - не описать словами - нарушение дикции, неправильный прикус после протезирования на импланты. И только высокий профессионализм Артема Михайловича, вернули меня к нормальной жизни - протезирование прошло отлично, были учтены все ньюансы, восстановлены дикция и прикус, а также соблюдена эстетика. Доктор, который любит свою работу, внимателен к пациентам, доброжелателен и высококвалифицирован. Благодарю Артема Михайловича за мое возвращение к полноценной жизни. С уважением Надежда Пантелеева
    Помогите другим сделать правильный выбор — оставьте свой отзыв о докторе
    Написать отзыв

    Услуги стоматолога в других клиниках

    Терапевтическая стоматология
    Лечение кариеса от 3 500 ₽ до 14 500 ₽
    Лечение пульпита от 5 000 ₽ до 35 000 ₽
    Еще услуги
    Эстетическая стоматология
    Установка виниров от 29 000 ₽ до 82 600 ₽
    Установка скайсов от 1 500 ₽ до 12 000 ₽
    Пародонтология
    Лечение пародонтита от 170 ₽ до 33 600 ₽
    Лечение пародонтоза от 170 ₽ до 24 800 ₽
    Еще услуги
    Хирургическая стоматология
    Удаление зубов от 1 150 ₽ до 25 000 ₽
    Удаление кисты и гранулемы зуба от 600 ₽ до 48 500 ₽
    Еще услуги
    Протезирование зубов
    Установка коронки на зуб от 4 500 ₽ до 120 000 ₽
    Виды протезов
    Еще услуги
    Ортодонтия
    Установка брекетов от 10 000 ₽ до 400 000 ₽