Стоматолог Бычков Андрей Анатольевич — цены, отзывы, стаж — Принимает в Москве

Бычков Андрей Анатольевич

Бычков Андрей Анатольевич - фотография
стоматолог-терапевт
стоматолог-ортопед
стоматолог-имплантолог
Стаж 20 лет
Бычков Андрей Анатольевич принимает в «Стоматологическая клиника СТОМОС» в Москве. Стаж 20 лет. Специализируется на терапии, ортопедии и имплантологии, по которым клиника оказывает 48 услуг. Имеет 5 работ до/после в портфолио. Для уточнения дополнительной информации о специалисте или записи на прием можно позвонить по телефону
+7 (495)Показать телефон
.

Где принимает:

Опыт 20 лет
5 работ в портфолио

Отзывы о враче Бычков Андрей Анатольевич

Почему нашим отзывам можно доверять?
24 ноября 2022 г.
1 2 3 4 5
К данному чудо врачу ходила в конце 2020 года на установку виниров и пары пломб. Все рекомендации были мной соблюдены. Итак! У данного Мега-профессионального умнейшего человека действует гарантия на работу два года. Собственно говоря, ровно два года спустя у меня начали скалываться виниры до основания, в тот же день отлетела пломба установленная им. Связаться с господином Андреем Анатольевичем Бычковым я пыталась целую неделю, пока ему по-мужски не написал муж :) Абсолютно магическим образом Андрей перезванивает мне в ту же секунду, что сообщение помечается прочитанным. Договорились о записи и переделке его работы. Через полчаса повторный звонок от него - Врач с большой буквы обвиняет и стыдит меня, своего клиента. Мол так и так уважаемый пациент вы ко мне не приходили каждые три секунды и пользовались зубами. Андрей, а вы ничего не попутали в жизни? Все два с лишним десятка лет моей жизни я была просто таки уверенна, что зубами человек откусывает и жует. Но видимо величайшего ума врач лучше знает за особенности человеческого организма. Так же ко мне поступает прекрасная информация, что я не одна оказалась с искалеченным Андреем ртом. Таких как я еще минимум человека три. Ах да, совсем забыла сказать что человек настолько честен перед собой, Господом богом и налоговой, что не дает ни чеков, ни договоров. Интересно, как часто к нему приходит налоговая проверка? И как часто будет? Кстати, немного про доступную информацию :) оказывается нашего уважаемого доктора как-то тут назначали главным врачом в очередной стоматологии, откуда он пробкой вылетел благодаря такому же пациенту как я и её молодому человеку, не оставившему эту ситуацию просто так. Занятно, правда? А знаете, что еще занятно? Что Андрей Анатольевич не отвечает АБСОЛЮТНО всем своим бывшим пациентам. Денежку то получил уже. Надо же как-то семью содержать благодаря чужому кошельку?
    Помогите другим сделать правильный выбор — оставьте свой отзыв о докторе
    Написать отзыв

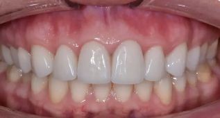
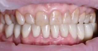
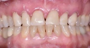
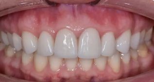
    Бычков Андрей Анатольевич: портфолио (5)

    Услуги стоматолога в других клиниках

    Эстетическая стоматология
    Установка виниров от 29 000 ₽ до 82 600 ₽
    Протезирование зубов
    Установка коронки на зуб от 4 500 ₽ до 120 000 ₽
    Виды протезов
    Еще услуги
    Имплантация
    Установка мини-импланта от 3 000 ₽ до 35 000 ₽
    Коронки на имплантах от 11 000 ₽ до 90 000 ₽
    Еще услуги