Стоматолог Тураев Насимджон Наимджонович — цены, отзывы, стаж — Принимает в Москве

Тураев Насимджон Наимджонович

Тураев Насимджон Наимджонович - фотография
стоматолог-ортопед
Стаж 16 лет
главный врач
Тураев Насимджон Наимджонович принимает в «Медицинская клиника ОРИА КЛИНИК» в Москве. Главный врач, стаж 16 лет. Специализируется на ортопедии, по которой клиника оказывает 23 услуги. Имеет 2 работы до/после в портфолио. Для уточнения дополнительной информации о специалисте или записи на прием можно позвонить по телефону
+7 (916)Показать телефон
.

Где принимает:

Главный врач
Опыт 16 лет
2 работы в портфолио
    Помогите другим сделать правильный выбор — оставьте свой отзыв о докторе
    Написать отзыв

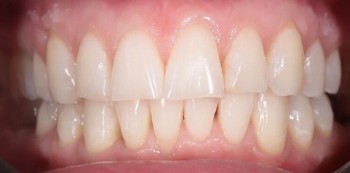
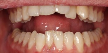
    Тураев Насимджон Наимджонович: портфолио (2)

    Услуги стоматолога в других клиниках

    Эстетическая стоматология
    Установка виниров от 29 000 ₽ до 82 600 ₽
    Установка скайсов от 1 500 ₽ до 12 000 ₽
    Еще услуги
    Протезирование зубов
    Установка коронки на зуб от 4 500 ₽ до 120 000 ₽
    Установка протеза Акри Фри (Acry-Free) от 11 400 ₽ до 84 750 ₽
    Еще услуги